Foram encontradas 534 questões.
Com base em conhecimentos microeconômicos a respeito do comportamento do consumidor, assinale a alternativa
correta.
Provas
Questão presente nas seguintes provas
Considerando os conhecimentos a respeito de macroeconomia, assinale a alternativa que apresenta conceito correto.
Provas
Questão presente nas seguintes provas
Considerando conhecimentos básicos a respeito de Economia do Setor Pública, relacione adequadamente as colunas
a seguir.
1. Déficit nominal.
2. Déficit operacional.
3. Déficit primário.
4. Descentralização de crédito.
5. Descentralização de recursos financeiros.
( ) Necessidade de Financiamento do Setor Público (NFSP) incluindo os efeitos da correção monetária e cambial nas
despesas e nas receitas.
( ) Necessidade de financiamento do setor público, excluindo-se os efeitos da correção monetária e cambial nas
despesas e nas receitas.
( ) Déficit operacional retirando-se os encargos financeiros embutidos no conjunto das despesas e das receitas.
( ) Transferência de uma unidade orçamentária ou administrativa para outra, do poder de utilizar créditos
orçamentários ou adicionais que estejam sob a sua supervisão, ou lhe tenham sido dotados ou transferidos. São
operações descentralizadoras de crédito: o destaque e a provisão.
( ) Movimentação de recursos financeiros entre as diversas unidades orçamentárias e administrativas,
compreendendo: Cota – crédito colocado à disposição do órgão ou Ministério, em conta, na instituição bancária
credenciada como o agente financeiro do Tesouro. Repasse – distribuição pelo órgão ou Ministério dos recursos
financeiros correspondentes ao seu crédito, para utilização pelas unidades orçamentárias. Sub-Repasse –
redistribuição, pelas unidades orçamentárias, às unidades administrativas ou a outras unidades orçamentárias
incumbidas de fazer os pagamentos necessários à realização de seus programas de trabalho.
A sequência está correta em
Provas
Questão presente nas seguintes provas
“Sempre que tentamos explicar o comportamento dos seres humanos, necessitamos ter uma estrutura na qual
possamos basear nossa análise. Em economia, utilizamos com frequência uma estrutura baseada em dois princípios
simples: Princípio de Otimização e Princípio de Equilíbrio.”
(Varian, Hal R. in Microeconomia: Princípios Básicos. Rio de Janeiro: Campus, 2000. Pág.: 3.)
Considerando o trecho anterior, apenas como motivador, analise as afirmativas, marque V para as verdadeiras e F para as falsas. ( ) O Princípio de Otimização considera que as pessoas tentam escolher o melhor padrão de consumo ao seu alcance. ( ) O Princípio de Equilíbrio considera que os preços ajustam-se até que o total que as pessoas demandam seja igual ao total ofertado. ( ) De acordo com o Princípio de Otimização, é razoável supor que, sendo livres para escolher, as pessoas escolherão as coisas que desejam, em vez das que não querem. A sequência está correta em
Considerando o trecho anterior, apenas como motivador, analise as afirmativas, marque V para as verdadeiras e F para as falsas. ( ) O Princípio de Otimização considera que as pessoas tentam escolher o melhor padrão de consumo ao seu alcance. ( ) O Princípio de Equilíbrio considera que os preços ajustam-se até que o total que as pessoas demandam seja igual ao total ofertado. ( ) De acordo com o Princípio de Otimização, é razoável supor que, sendo livres para escolher, as pessoas escolherão as coisas que desejam, em vez das que não querem. A sequência está correta em
Provas
Questão presente nas seguintes provas
É correto afirmar que a Ressonância Magnética Nuclear é um método de diagnóstico por imagem
Provas
Questão presente nas seguintes provas
A estenose hipertrófica do piloro acomete preferencialmente lactentes, durante os primeiros seis meses de vida. Sua
causa ainda permanece desconhecida. A respeito dos exames de imagem para diagnóstico dessa patologia, aquele
considerado de escolha tanto para seu diagnóstico quanto para sua exclusão é:
Provas
Questão presente nas seguintes provas
Dados estimados pelo Ministério da Saúde do Brasil para 2011 mostraram que o câncer de mama é o primeiro em
incidência, antecedendo o de pele, com uma taxa de 36,47 por 100 mil mulheres, ou 50.190 casos novos neste ano,
representando, na capital de São Paulo, 23,9% de todos os tipos de câncer em mulheres. “As recomendações atuais
para mamografia são: mulheres com baixo risco de câncer de mama, início aos _____ anos, repetir a cada _________
anos; mulheres com alto risco para câncer de mama, início aos _____ anos, repetir a cada _____ ano(s).” Assinale a
alternativa que completa correta e sequencialmente a afirmativa anterior.
Provas
Questão presente nas seguintes provas
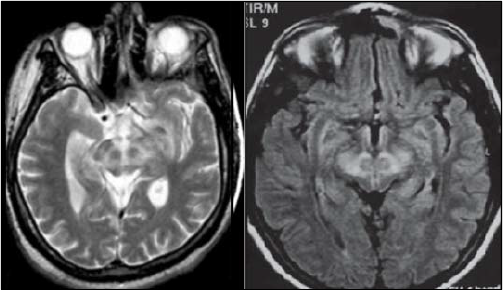
As imagens são tomografias computadorizadas no plano axial, em T2 e flair, com um achado característico que chama
a atenção; analise-as.

(Disponível em: https://cachorroidiota.files.wordpress.com/2012/08/2.png e Barra FR, Gonçalves FG, Matos VL, Jovem CL, Mendonça JLF, Amaral LLF, delCarpio-O’Donovan R. Sinais em neurorradiologia – Parte 2. Radiol Bras. 2011 Mar/Abr;44(2):129–133.)
Qual a patologia mais comumente relacionada ao achado nas imagens anteriores?

(Disponível em: https://cachorroidiota.files.wordpress.com/2012/08/2.png e Barra FR, Gonçalves FG, Matos VL, Jovem CL, Mendonça JLF, Amaral LLF, delCarpio-O’Donovan R. Sinais em neurorradiologia – Parte 2. Radiol Bras. 2011 Mar/Abr;44(2):129–133.)
Qual a patologia mais comumente relacionada ao achado nas imagens anteriores?
Provas
Questão presente nas seguintes provas
Sobre o uso de contrastes em radiologia, analise as afirmativas a seguir.
I. A sensibilidade da RM ao gadolínio é maior que a da tomografia computadorizada ao contraste iodado. Além disso, o volume médio de contraste administrado por via intravenosa nos exames de RM é cerca de 5 a 15 vezes menor do que o utilizado com os contrastes iodados na tomografia computadorizada.
II. Considera-se, em geral, que os contrastes à base de gadolínio são mais seguros que os contrastes à base de iodo.
Assinale a alternativa correta.
Provas
Questão presente nas seguintes provas
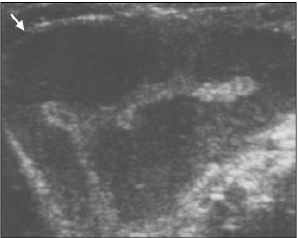
“Criança, dois anos, é submetida ao ultrassom para investigação de quadro de vômitos, fezes muco-sanguinolentas e
massa abdominal palpável.” O ultrassom abdominal chama atenção em determinado momento pelo achado a seguir
(seta branca):

(Disponível em: http://www.scielo.br/scielo.php?pid=S0100-39842005000300010&script=sci_arttext.)
Assinale a hipótese diagnóstica mais provável para este caso.

(Disponível em: http://www.scielo.br/scielo.php?pid=S0100-39842005000300010&script=sci_arttext.)
Assinale a hipótese diagnóstica mais provável para este caso.
Provas
Questão presente nas seguintes provas
Cadernos
Caderno Container