Magna Concursos

Foram encontradas 534 questões.

974418 Ano: 2015
Disciplina: Radiologia
Banca: Consulplan
Orgão: Pref. Patos Minas-MG

“Estima-se que 10-18% das mulheres menopausadas assintomáticas tenham cistos ovarianos simples, e que 3% destas tenham cistos ovarianos complexos. Face à alta prevalência de cistos e à relativa baixa incidência (1 a cada 2.500 mulheres/ano) com câncer de ovário na população, há inúmeros estudos tentando identificar pacientes de maior risco.”

(Disponível em: http://www.hospitalperola.com.br/manual.pdf.)


Assinale o método de escolha para avaliação de pacientes sintomáticas em que se suspeita de câncer ovariano.

 

Provas

Questão presente nas seguintes provas
974417 Ano: 2015
Disciplina: Radiologia
Banca: Consulplan
Orgão: Pref. Patos Minas-MG
Fibrose Sistêmica Nefrogênica (FSN), também conhecida como Dermopatia Fibrosante Nefrogênica (DFN), é uma condição que ocorre apenas em pacientes com disfunção renal. Além das lesões cutâneas, esta síndrome inclui fibrose de músculo esquelético, articulações, fígado, pulmão e coração, podendo ser fatal. A Fibrose Sistêmica Nefrogênica está ligada à exposição a um meio de contraste. Assinale a alternativa que apresenta tal substância.
 

Provas

Questão presente nas seguintes provas
974416 Ano: 2015
Disciplina: Radiologia
Banca: Consulplan
Orgão: Pref. Patos Minas-MG
Infecção do trato urinário complicada é aquela associada com condições que aumentam o risco para infecção ou para falência do tratamento. Estas infecções estão comumente associadas a alterações anatômicas e/ou funcionais do trato urinário, ou doenças que interferem com os mecanismos de defesa do paciente. Assinale o exame mais indicado para pesquisa de abscesso renal e perinéfrico.
 

Provas

Questão presente nas seguintes provas
974415 Ano: 2015
Disciplina: Radiologia
Banca: Consulplan
Orgão: Pref. Patos Minas-MG
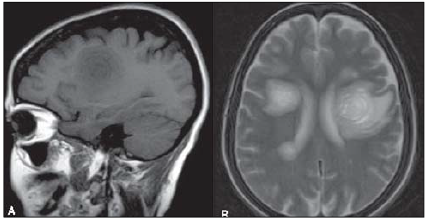
Avalie o seguinte achado radiográfico de uma ressonância magnética, plano sagital ponderada em T1 (A) e axial ponderada em T2 (B). enunciado 974415-1 (Disponível em: http://www.rb.org.br/imagens/v44n2a13-fig11.jpg.)
O achado radiográfico trata-se de:
 

Provas

Questão presente nas seguintes provas
974414 Ano: 2015
Disciplina: Radiologia
Banca: Consulplan
Orgão: Pref. Patos Minas-MG
Provas:
Qual das alternativas NÃO é composta apenas por radiações eletromagnéticas?
 

Provas

Questão presente nas seguintes provas
974413 Ano: 2015
Disciplina: Radiologia
Banca: Consulplan
Orgão: Pref. Patos Minas-MG
Provas:
São princípios básicos de radioproteção:
 

Provas

Questão presente nas seguintes provas
974412 Ano: 2015
Disciplina: Radiologia
Banca: Consulplan
Orgão: Pref. Patos Minas-MG
Provas:
Em mamografia, existem as técnicas de rotina que são: oblíqua, média lateral e crânio caudal. Quando é necessário utilizar a técnica de Eklund?
 

Provas

Questão presente nas seguintes provas
974411 Ano: 2015
Disciplina: Radiologia
Banca: Consulplan
Orgão: Pref. Patos Minas-MG
Provas:
Com relação à câmara escura para revelação manual, de acordo com as normas da Portaria nº 453, assinale a alternativa INCORRETA.
 

Provas

Questão presente nas seguintes provas
974410 Ano: 2015
Disciplina: Radiologia
Banca: Consulplan
Orgão: Pref. Patos Minas-MG
Provas:
Quando ocorre a interação dos elétrons dos átomos de brometo de prata com a radiação, alguns átomos são sensibilizados, transformando íons Ag+ em Ag metálico, formando que tipo de imagem?
 

Provas

Questão presente nas seguintes provas
974409 Ano: 2015
Disciplina: Radiologia
Banca: Consulplan
Orgão: Pref. Patos Minas-MG
Provas:
A solução reveladora, em seu processo em uma emulsão fotográfica convencional, tem como função:
 

Provas

Questão presente nas seguintes provas