Foram encontradas 1.314 questões.
Durante um plantão na emergência pediátrica, o médico atende um escolar de seis anos, com febre, coriza e
irritabilidade há 48 horas, sem histórico doenças anteriores relevantes. Ao exame físico, apresenta: estatura e IMC
entre 0 e +1 escore-z, estado geral regular, corado, eupneico. A orofaringe está hiperemiada, e a otoscopia demonstra a
membrana timpânica direita de aspecto normal e a esquerda hiperemiada
Qual o manejo mais apropriado para essa criança?
Qual o manejo mais apropriado para essa criança?
Provas
Questão presente nas seguintes provas
O pediatra plantonista da UPA atende um lactente de 15 meses. A mãe refere que há dois dias ele estava com febre,
tosse discreta e coriza nasal hialina, mas que vem apresentando rouquidão e “tosse de cachorro” há 12 horas e nas
últimas 4 horas está mais irritado e chorando. Ao exame: estado geral bom, corado, acianótico e hidratado. FR=
26ipm; FC= 80bpm; AR: MV rude com roncos de transmissão em AHT.
Qual é o agente etiológico mais provável do caso acima?
Qual é o agente etiológico mais provável do caso acima?
Provas
Questão presente nas seguintes provas
Mãe leva seu filho de 7 meses, saúdavel, para atualizar cartão vacinal em UBS. É informada pelo médico que menor
também deve realizar vacinação para Covid-19.
Segundo orientação atual do Ministério da Saúde, assinale a alternativa CORRETA.
Segundo orientação atual do Ministério da Saúde, assinale a alternativa CORRETA.
Provas
Questão presente nas seguintes provas
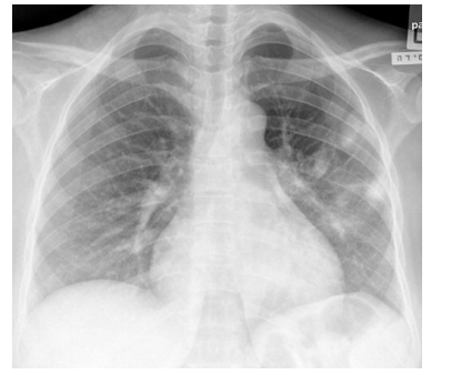
Escolar de 7 anos, acompanhado no ambulatório, foi levado à emergência por dispneia. Mãe relatou que filho estava há
2 dias com mialgia, febre e coriza, evoluindo nas últimas 12 horas com piora da febre e dispneia progressiva. Ao exame,
estava febril (39ºC), taquidispneico, PA no percentil 90 e com SpO2 = 88% em ar ambiente. Realizada radiografia de
tórax (abaixo). O resultado de RT-PCR foi positivo para influenza A e negativo para Covid-19. Os exames laboratoriais
mostraram leucocitose com linfopenia, PCR elevada, e pró-calcitonina baixa.
Diante do caso, qual a principal suspeita diagnóstica e a conduta adequada?
Diante do caso, qual a principal suspeita diagnóstica e a conduta adequada?
Provas
Questão presente nas seguintes provas
No plantão da emergência, é recebida uma criança de 5 anos de idade com quadro de sepse com foco pulmonar e
insuficiência respiratória.
Em relação ao quadro de insuficiência respiratória e choque séptico pediátrico, é INCORRETO afirmar que
Em relação ao quadro de insuficiência respiratória e choque séptico pediátrico, é INCORRETO afirmar que
Provas
Questão presente nas seguintes provas
Leia o texto a seguir:
[...]um conjunto de processos, instituições e práticas, através das quais os cidadãos e os diferentes grupos sociais – locais, nacionais e internacionais – articulam seus interesses e posições, formando um complexo sistema de elaboração de políticas e de tomada de decisões mais vasto que a arena estatal.
Disponível em:<https://biblat.unam.mx/hevila/CENAInternacional/2005/vol7/no2/6.pdf Acesso em: 5 de out. 2024.
As ideias apresentadas no texto se referem ao conceito de
[...]um conjunto de processos, instituições e práticas, através das quais os cidadãos e os diferentes grupos sociais – locais, nacionais e internacionais – articulam seus interesses e posições, formando um complexo sistema de elaboração de políticas e de tomada de decisões mais vasto que a arena estatal.
Disponível em:<https://biblat.unam.mx/hevila/CENAInternacional/2005/vol7/no2/6.pdf Acesso em: 5 de out. 2024.
As ideias apresentadas no texto se referem ao conceito de
Provas
Questão presente nas seguintes provas
Leia o texto a seguir:
Cada derrota do imperialismo, como na Síria e Iraque (menor na Líbia e Palestina) é um passo concreto na direção da libertação do Oriente Médio. As forças populares, democráticas e de esquerda devem ampliar sua capacidade organizativa entre as massas e construir as condições para edificar uma nova sociedade. E o Oriente também anseia por grandes mudanças, afinal, foi onde a Revolução Russa ocorreu há 100 anos.
BUZETTO, Marcelo. As lutas sociais e políticas no Grande oriente Médio: entre as guerras imperialistas e a resistência popular. Lutas Sociais, São Paulo, vol. 20, n.37, p.181, jul./dez. 2016.
A perspectiva apresentada no texto impulsiona sociologicamente a
Cada derrota do imperialismo, como na Síria e Iraque (menor na Líbia e Palestina) é um passo concreto na direção da libertação do Oriente Médio. As forças populares, democráticas e de esquerda devem ampliar sua capacidade organizativa entre as massas e construir as condições para edificar uma nova sociedade. E o Oriente também anseia por grandes mudanças, afinal, foi onde a Revolução Russa ocorreu há 100 anos.
BUZETTO, Marcelo. As lutas sociais e políticas no Grande oriente Médio: entre as guerras imperialistas e a resistência popular. Lutas Sociais, São Paulo, vol. 20, n.37, p.181, jul./dez. 2016.
A perspectiva apresentada no texto impulsiona sociologicamente a
Provas
Questão presente nas seguintes provas
Um sociólogo foi contratado para apresentar um relatório analítico sobre um grupo urbano de ocupação visando
contribuir para a elaboração de políticas públicas e de assistência social conforme suas demandas e pautas. Nessa
perspectiva, o profissional elaborou um projeto para nortear suas atividades investigativas.
Como ele necessita elaborar um perfil socioeconômico desse grupo, na sua metodologia de pesquisa, ele recorre aos métodos de abordagem
Como ele necessita elaborar um perfil socioeconômico desse grupo, na sua metodologia de pesquisa, ele recorre aos métodos de abordagem
Provas
Questão presente nas seguintes provas
- Estratificação e desigualdade social
- Desigualdades de raça, classe e gênero
- Formas de estratificação social
Leia o texto a seguir:
Num certo sentido, a sociedade brasileira criou o melhor dos dois mundos. Ao mesmo tempo que mantém a estrutura de privilégio branco e a subordinação não branca, evita a constituição da raça como princípio de identidade coletiva e ação política. A eficácia da ideologia racial dominante manifesta-se na ausência de conflito racial aberto e na desmobilização política dos negros, fazendo com que os componentes racistas do sistema permaneçam incontestados, sem necessidade de recorrer a um alto grau de coerção.
NOGUEIRA, Oracy. Tanto preto quanto branco: estudos de relações raciais. São Paulo: T. A. Queiroz.1979, p. 246.
Diante da perspectiva abordada pelo texto, a Sociologia pode contribuir para desconstruir as ideias apresentadas por meio da(do)
Num certo sentido, a sociedade brasileira criou o melhor dos dois mundos. Ao mesmo tempo que mantém a estrutura de privilégio branco e a subordinação não branca, evita a constituição da raça como princípio de identidade coletiva e ação política. A eficácia da ideologia racial dominante manifesta-se na ausência de conflito racial aberto e na desmobilização política dos negros, fazendo com que os componentes racistas do sistema permaneçam incontestados, sem necessidade de recorrer a um alto grau de coerção.
NOGUEIRA, Oracy. Tanto preto quanto branco: estudos de relações raciais. São Paulo: T. A. Queiroz.1979, p. 246.
Diante da perspectiva abordada pelo texto, a Sociologia pode contribuir para desconstruir as ideias apresentadas por meio da(do)
Provas
Questão presente nas seguintes provas
Leia o texto a seguir:
Chamo ação comunicativa aquela forma de interação social em que os planos de ação dos diversos atores ficam coordenados pelo intercâmbio de atos comunicativos, fazendo, para isso, uma utilização da linguagem (ou das correspondentes manifestações extraverbais) orientada ao entendimento. À medida que a comunicação serve ao entendimento (e não só ao exercício das influências recíprocas) pode adotar para as interações o papel de um mecanismo de coordenação da ação e com isso fazer possível a ação comunicativa.
HABERMAS, J. Teoría de la acción comunicativa: complementos y estudios previos. Madrid: Cátedra, 1997, p. 418.
Segundo as ideias desenvolvidas pelo autor, a compreensão das relações sociais é possível pela
Chamo ação comunicativa aquela forma de interação social em que os planos de ação dos diversos atores ficam coordenados pelo intercâmbio de atos comunicativos, fazendo, para isso, uma utilização da linguagem (ou das correspondentes manifestações extraverbais) orientada ao entendimento. À medida que a comunicação serve ao entendimento (e não só ao exercício das influências recíprocas) pode adotar para as interações o papel de um mecanismo de coordenação da ação e com isso fazer possível a ação comunicativa.
HABERMAS, J. Teoría de la acción comunicativa: complementos y estudios previos. Madrid: Cátedra, 1997, p. 418.
Segundo as ideias desenvolvidas pelo autor, a compreensão das relações sociais é possível pela
Provas
Questão presente nas seguintes provas
Cadernos
Caderno Container