Foram encontradas 697 questões.
“Direitos sociais são aqueles que se direcionam à inserção das pessoas na vida social, tendo acesso aos bens que satisfaçam suas necessidades básicas” (Motta, 2021). São considerados direito sociais previstos na Constituição Federal de 1988, EXCETO:
Provas
- Organização e Administração de ArquivosArquivamento e Ordenação de DocumentosMétodos de Arquivamento (Ordenação de Documentos)Método alfabético de ordenação
O método alfabético faz parte do sistema direto de arquivamento, uma vez que a consulta é efetuada diretamente no arquivo, sem a necessidade de recurso auxiliar. Contudo, o seu perfeito funcionamento está condicionado ao emprego de Regras de Alfabetização. Não é uma das regras do método da alfabetização o que se afirma em:
Provas
A forma de tratamento utilizada para os cargos de Presidente da República, Presidente da Câmara dos Deputados, Presidente do Senado e Presidente do Supremo Tribunal Federal é "Vossa Excelência", logo, a abreviatura do tratamento utilizada para esses cargos é o que se afirma em:
Provas
- Documentos OficiaisAta
- Documentos OficiaisMemorando
- Documentos OficiaisPortaria
- Documentos OficiaisRequerimento
Analise a figura abaixo:

(Fonte: https://educapes.capes.gov.br/bitstream/capes/401192/1/RedacaoOficial-3ed-web-atualizado.pdf )
A figura apresentada é um modelo de:
Provas
De acordo com Batista (2017), para que o sistema de arquivamento seja eficiente é necessário que o profissional administrativo conheça todos os tipos de documentos. Sendo assim, referente à variedade dos documentos em uma organização, é correto afirmar que:
Provas
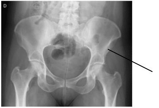
No exame abaixo podemos visualizar um detalhe anatômico ósseo denominado:

Fonte: https://anatomia-papel-e-caneta.com/posicionamento-radiologico-mmii-bacia-quadril/
Provas
A imagem radiológica abaixo aponta pela seta a estrutura anatômica denominada:

Fonte: http://anatpat.unicamp.br/rpgcraniofar2.html
Provas
Sobre os princípios básicos da proteção radiológica, marque (V) para verdadeiro ou (F) para falso:
( ) A justificação é o princípio básico de proteção radiológica que estabelece que nenhuma prática ou fonte adscrita a uma prática deve ser autorizada a menos que produza suficiente benefício para o indivíduo exposto ou para a sociedade, de modo a compensar o detrimento que possa ser causado.
( ) O princípio da justificação em medicina e odontologia deve ser aplicado considerando a eficácia, os benefícios e riscos de técnicas alternativas disponíveis com o mesmo objetivo, mas que envolvam no máximo duas exposições a radiações ionizantes.
( ) A otimização da proteção deve ser aplicada em dois níveis, nos projetos e construções de equipamentos e instalações, e nos procedimentos de trabalho.
( ) Os limites de doses individuais são valores de dose efetiva ou de dose equivalente, estabelecidos para exposição ocupacional e exposição do público, decorrentes de práticas controladas, cujas magnitudes não devem ser excedidas.
Marque a alternativa que apresenta a sequência CORRETA:
Provas
De acordo com a imagem abaixo podemos visualizar os ductos biliares com base na imagem responda o que se pede:

https://www.sbp.org.br/manual-de-laudos-histopatologicos/figado-vias-biliares-tumores-ductos-biliares-extra-hepaticos/
Provas
A imagem radiográfica abaixo demonstra qual detalhe anatômico:

https://www.cintramedica.pt/exame/raio-x-coluna-lombar
Provas
Caderno Container