Magna Concursos

Foram encontradas 1.348 questões.

3401035 Ano: 2024
Disciplina: Odontologia
Banca: COTEC
Orgão: Pref. Montes Claros-MG
Provas:

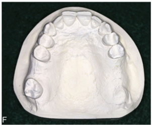
Um paciente do sexo masculino, 54 anos de idade, procura atendimento odontológico com a intenção de colocar uma prótese no arco superior. No exame clínico, o cirurgião-dentista verifica a ausência de alguns dentes conforme imagem ao lado.

Enunciado 3892258-1

Fonte: CARR, Alan B. McCracken prótese parcial removível. Rio de Janeiro: Grupo GEN, 2017.

Analise o caso clínico descrito e assinale a alternativa que apresenta os elementos dentários que são considerados pilares diretos.

 

Provas

Questão presente nas seguintes provas
3401034 Ano: 2024
Disciplina: Odontologia
Banca: COTEC
Orgão: Pref. Montes Claros-MG
Provas:

Uma mulher com 52 anos apresenta ausência dos dentes 36, 37, 38, 46, 47 e 48. O cirurgião-dentista propõe uma PPR. Considerando o caso apresentado, assinale a alternativa que apresenta, respectivamente, a classificação do arco desdentado e o local mais indicado para a instalação dos apoios.

 

Provas

Questão presente nas seguintes provas
3401033 Ano: 2024
Disciplina: Odontologia
Banca: COTEC
Orgão: Pref. Montes Claros-MG
Provas:

Um paciente do sexo masculino, 40 anos de idade, relata estar insatisfeito com seu sorriso devido à falta de alguns dentes. Ao exame clínico, o cirurgião-dentista identifica a ausência dos dentes 13,14, 16, 18, 25, 26, 27, 28 e propõe uma prótese parcial removível (PPR). Assinale a alternativa que apresenta a classificação da arcada superior parcialmente desdentada, sabendo que os dentes 18 e 28 não serão substituídos.

 

Provas

Questão presente nas seguintes provas
3401032 Ano: 2024
Disciplina: Odontologia
Banca: COTEC
Orgão: Pref. Montes Claros-MG
Provas:

Os planos de orientação em cera ajustados e relacionados à boca vão orientar todos os passos de confecção das próteses a partir de então, funcionando como um verdadeiro projeto, quase um protótipo, pois sua presença na boca promove a recuperação de parte significativa das características estéticas perdidas. A linha alta do sorriso, a linha média e a linha dos caninos orientam a montagem dos dentes. Sobre os planos de orientação, assinale a alternativa CORRETA.

 

Provas

Questão presente nas seguintes provas
3401031 Ano: 2024
Disciplina: Odontologia
Banca: COTEC
Orgão: Pref. Montes Claros-MG
Provas:

O sucesso de uma prótese total convencional a longo prazo é aferido pela integridade e saúde dos tecidos com os quais ela mantém um contato mais direto. Por conseguinte, tal sucesso depende principalmente das orientações sobre os cuidados de higienização e manutenção dessas próteses.

Sobre as orientações que o cirurgião-dentista deve passar ao paciente, selecione a alternativa CORRETA.

 

Provas

Questão presente nas seguintes provas
3401030 Ano: 2024
Disciplina: Odontologia
Banca: COTEC
Orgão: Pref. Montes Claros-MG
Provas:

Avalie as afirmativas a seguir sobre moldagem em prótese total convencional.

I- A moldagem funcional deve ser dividida em duas fases distintas, mas que se complementam: o vedamento periférico e a moldagem funcional propriamente dita.

II- A moldagem anatômica é realizada utilizando-se uma moldeira individual confeccionada em resina acrílica autopolimerizável.

III- A borda da moldeira individual superior deve guardar uma distância do fundo de vestíbulo de 2 a 3 mm em toda a periferia, com exceção da região do término posterior.

IV- O alginato é o material de escolha para moldagem anatômica por ser fácil de manipular, produzir menores deformações aos tecidos e apresentar boa fidelidade de cópia.

V- Após a moldagem, a godiva deve apresentar-se com contorno arredondado, superfície fosca e com dobras ou rugosidades, demonstrando que copiou os tecidos.

Estão CORRETAS as afirmativas

 

Provas

Questão presente nas seguintes provas
3401029 Ano: 2024
Disciplina: Odontologia
Banca: COTEC
Orgão: Pref. Montes Claros-MG
Provas:

Para a confecção de uma prótese total, o dentista realiza a moldagem funcional para a obtenção do modelo de trabalho.

Assinale a alternativa que apresenta, respectivamente, o tipo de moldeira e os materiais de moldagem empregados para essa técnica.

 

Provas

Questão presente nas seguintes provas
3401028 Ano: 2024
Disciplina: Odontologia
Banca: COTEC
Orgão: Pref. Montes Claros-MG
Provas:

Compreender as relações maxilomandibulares são de grande importância para a reabilitação protética de paciente com prótese total. Os ajustes no plano de orientação inferior estão essencialmente relacionados ao restabelecimento da posição da mandíbula em relação à maxila nos planos vertical e horizontal.

Avalie as afirmativas a seguir e assinale a alternativa CORRETA.

 

Provas

Questão presente nas seguintes provas
3401027 Ano: 2024
Disciplina: Odontologia
Banca: COTEC
Orgão: Pref. Montes Claros-MG
Provas:

O sistema mastigatório é a unidade funcional do corpo, principal responsável pela mastigação, fala e deglutição. O sistema é composto por ossos, articulação temporomandibular, ligamentos, dentes e músculos. Além disso, um complexo sistema de controle neurológico regula e coordena todos esses componentes estruturais. A área onde a mandíbula se articula com o osso temporal do crânio é chamada de articulação temporomandibular (ATM) – certamente uma das articulações mais complexas do corpo.

Avalie as afirmativas a seguir sobre a articulação temporomandibular:

I- O disco articular é composto por tecido conjuntivo fibroso denso, na maior parte desprovido de vasos sanguíneos e fibras nervosas.

II- O tecido retrodiscal é composto por tecido conjuntivo frouxo, altamente vascularizado e inervado, inserido na região anterior do disco articular.

III- A cápsula articular envolve os ossos e limita uma cavidade articular, além de reter o líquido sinovial no seu interior.

IV- A ATM é inervada pelo mesmo nervo que fornece inervação motora e sensitiva aos músculos que a controlam (o nervo facial).

V- A ATM pode ser definida como uma articulação ginglimoartrodial devido aos movimentos de dobradiça e deslizamento que executa.

Estão CORRETAS as afirmativas

 

Provas

Questão presente nas seguintes provas
3401026 Ano: 2024
Disciplina: Pedagogia
Banca: COTEC
Orgão: Pref. Montes Claros-MG
Provas:

A interdisciplinaridade se constitui como uma abordagem teórico-prática que orienta tanto pesquisadores quanto docentes a analisarem os fenômenos a partir de diferentes perspectivas. Isso não significa, contudo, acreditar que “tudo tem relação com tudo”, mas ter consciência de que há uma imensa rede de conexões entre diferentes disciplinas que precisam ser consideradas para o sucesso de uma análise mais profunda e integral.

A partir das explicações apresentadas no enunciado, marque a alternativa que apresenta a ideia das ações interdisciplinares.

 

Provas

Questão presente nas seguintes provas