Foram encontradas 40 questões.
Um homem com 73 anos de idade procura atendimento odontológico com a queixa principal de que sua prótese total está folgada e desgastada e os dentes inferiores estão com mobilidade. No exame e abordagem clínica, detecta-se que os dentes 43, 42, 41, 31, 32 e 33 apresentam mobilidade grau 2. O cirurgião-dentista sugere uma prótese total convencional para o arco superior e uma prótese total imediata para o arco inferior, a fim de que o paciente não fique desdentado.
Avalie as afirmativas a seguir sobre a prótese imediata.
I- Elimina a humilhação que os pacientes sofrem ao se apresentarem sem os dentes. Reduz a maior parte dos transtornos e reajustes fon
II- éticos com a perda dos dentes. Dificulta a mastigação, necessita
III- de vários reajustes dietéticos e digestivos. Impede a perda imediata da DVO e minimiza as altera
IV- ções na ATM. V-justa-se perfeitamente eliminando a necessidade de reembasamento.
Estão CORRETAS as afirmativas
Provas
INSTRUÇÃO: Leia, com atenção, o texto 02 e, a seguir, responda às questões que a ele se referem.
Texto 02

Disponível em: https://cartunistasolda.com.br/esse-viking-e-uma-figura/. Acesso em: 22 maio 2024.
Analise as afirmativas a seguir, tendo em vista a estrutura de composição das falas presentes no texto.
I - Nas falas do primeiro e segundo quadros, predomina o emprego de verbos no imperativo afirmativo.
II - Na fala do terceiro quadro, verifica-se a presença de um único período, que é composto por três orações.
III - Na fala do segundo quadro, observa-se o emprego de uma conjunção coordenativa aditiva e uma conjunção coordenativa alternativa.
IV - Na primeira fala, constata-se que o verbo “sou” tem a função de ligar o sujeito ao seu predicativo.
V - Na fala do terceiro quadro, nota-se que a vírgula foi usada de acordo com a norma para separar o termo “rapazes”, que está exercendo a função de vocativo.
Estão CORRETAS as afirmativas
Provas
INSTRUÇÃO: Leia, com atenção, o texto 02 e, a seguir, responda às questões que a ele se referem.
Texto 02

Disponível em: https://cartunistasolda.com.br/esse-viking-e-uma-figura/. Acesso em: 22 maio 2024.
Analise as afirmativas a seguir, tendo em vista as ideias que se podem inferir do texto 02.
I - A fala proferida por Hagar, no primeiro quadro, apresenta-se contundente, porém não convincente.
II - A expressão “o horrível”, autodenominação feita por Hagar, em sua primeira fala, não surte o efeito pretendido por ele.
III - A fala do interlocutor de Hagar, no segundo quadro, mostra seu destemor em relação às estratégias argumentativas usadas por Hagar em sua fala, no primeiro quadro.
IV - Hagar mostra-se destemido, pois, já no segundo quadro, percebe que seu interlocutor é uma mulher.
V - Hagar, ante a reação de fragilidade demonstrada por seu interlocutor, conclui que prefere enfrentar um homem a uma mulher.
Estão CORRETAS as afirmativas
Provas
INSTRUÇÃO: Leia, com atenção, o texto 02 e, a seguir, responda às questões que a ele se referem.
Texto 02

Disponível em: https://cartunistasolda.com.br/esse-viking-e-uma-figura/. Acesso em: 22 maio 2024.
A fala de Hagar, no último quadro, mostra o seu comportamento
I - temeroso.
II - narcisista.
III - misógino.
IV - machista.
V - prudente.
Estão CORRETOS os itens
Provas
INSTRUÇÃO: Leia, com atenção, o texto 03 e, a seguir, responda à questão que a ele se referem.
Texto 03

Disponível em: https://www.facebook.com/fernandopessoasocitacoes/. Acesso em: 22 maio 2024.
Analise as afirmativas a seguir, tendo em vista o texto 03.
I - A citação permite inferir que, na vida, a felicidade está ligada à capacidade de resiliência.
II - O termo “espontaneamente”, funciona, no texto, como um operador argumentativo e expressa uma circunstância de modo.
III - O termo “que”, na oração “que buscam o Sol” apresenta-se como um elemento de coesão, pois retoma o termo “gato”, referido anteriormente.
IV - O pronome “se” usado em “guiando-se” acrescenta ideia de reflexividade à ação expressa pelo verbo o qual acompanha.
V - O fenômeno linguístico elipse se faz presente no trecho “e quando não há Sol, o calor onde quer que esteja”.
Estão CORRETAS as afirmativas
Provas
Um homem de 65 anos de idade, desdentado total, busca atendimento em um consultório odontológico para reabilitação por meio de prótese total convencional em ambas as arcadas. Durante a prova clínica dos dentes montados em cera, o cirurgião-dentista deve observar:
Provas
O sucesso do tratamento com PPR envolve duas etapas essenciais: o delineamento do modelo de estudo, que fundamenta o planejamento do caso, e o delineamento do modelo de trabalho ou mestre, que permite obter a estrutura metálica adequadamente aliviada e retentiva. O delineamento é realizado com o delineador.
Avalie as afirmativas sobre os objetivos do uso do delineador em PPR.
I- Estabelecer o eixo de inserção e remoção da prótese.
II- Quantificar as interferências de tecidos duros e/ou moles que facilitam a inserção e a remoção da prótese parcial fixa (PPF). III- Estabelecer o paralelismo relativo entre as superfícies duras e moles da boca representadas no modelo de estudo.
IV- Quantificar a retenção dos dentes suportes, determinando a melhor área para a localização da ponta do grampo de retenção.
V- Confeccionar planos oclusais em superfícies dentais expulsivas ou em coroas de prótese fixa associadas à PPR.
Estão CORRETAS as afirmativas
Provas
Para que possam repor com sucesso os dentes perdidos, os elementos constituintes das PPR devem atuar da forma correta, de acordo com os princípios biomecânicos, devolvendo a estética e a função de maneira a preservar os dentes remanescentes. Sobre as funções dos elementos constituintes das PPR, associe a segunda coluna de acordo com a primeira.
1. Conector maior
2. Sela
3. Apoio
4. Grampo de retenção
5. Grampo de oposição
( ) Impede que a prótese se desloque no sentido ocluso-cervical e comprima os tecidos moles e duros.
( ) Resiste às forças que tendem a deslocar a prótese no sentido cérvicooclusal/incisal.
( ) Recebe as forças oclusais funcionais e as transfere para os tecidos subjacentes de suporte.
( ) Une direta ou indiretamente todos os elementos da prótese localizados em ambos os hemiarcos.
( ) Estabiliza e controla as forças nocivas sofridas pelo dente pilar.
A associação CORRETA, considerando-se a associação de cima para baixo, é:
Provas
O adequado planejamento dos retentores diretos extracoronários é essencial tanto para promover a retenção das PPR quanto para a sua estabilidade. A escolha de quais retentores devem ser utilizados, bem como sua localização, é de responsabilidade do cirurgião-dentista, que deve conhecer detalhadamente os tipos de grampos de retenção e de oposição, suas características, indicações e funções.
Sobre os retentores extracoronários, assinale a alternativa CORRETA.
Provas
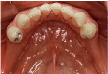
Paciente DMDV com 73 anos de idade, leucoderma, sexo feminino, compareceu à clínica odontológica para confecção de prótese total superior e uma prótese parcial inferior. O cirurgião-dentista fotografou o caso clínico para facilitar o planejamento da estrutura metálica. Observe a imagem ao lado.

Fonte: VERGANI, Carlos E.; PAVARINA, Ana C.; JORGE, Janaina H. et al. Reabilitação oral com prótese parcial removível convencional: guia prático. Barueri: Editora Manole, 2021.
Avalie as afirmativas a seguir, considerando o caso clínico apresentado.
Provas
Caderno Container