Foram encontradas 490 questões.
O exame de urina de rotina está entre os exames
mais solicitados no laboratório clínico, pois auxilia no
diagnóstico de várias doenças e no acompanhamento
do tratamento dos pacientes. Nesse caso, a fase
préanalítica é fundamental, uma vez que a qualidade da
amostra influencia diretamente a análise e a interpretação
do resultado.
SARAMELA, M. M.; FERNANDES, T. R. L. Avaliação da fase pré-analítica do exame de urina de rotina em laboratório privado da cidade de Maringá, Paraná, Brasil. J. Bras. Patol. Med. Lab. 57. 2021
Nesse sentido, alguns cuidados devem ser tomados para garantir um resultado fidedigno ao quadro clínico apresentado pelo paciente.
Qual dos critérios de aceitabilidade é fundamental para realização do exame de urina?
SARAMELA, M. M.; FERNANDES, T. R. L. Avaliação da fase pré-analítica do exame de urina de rotina em laboratório privado da cidade de Maringá, Paraná, Brasil. J. Bras. Patol. Med. Lab. 57. 2021
Nesse sentido, alguns cuidados devem ser tomados para garantir um resultado fidedigno ao quadro clínico apresentado pelo paciente.
Qual dos critérios de aceitabilidade é fundamental para realização do exame de urina?
Provas
Questão presente nas seguintes provas
Durante a análise microscópica de sedimento de um
exame parasitológico de fezes humanas, o analista clínico
visualizou alguns ovos do parasito indicado na imagem
a seguir.
ATLAS Virtual de Parasitologia do Departamento de Microbiologia e Parasitologia da Universidade Federal Fluminense. Disponível em: http://atlasparasitologia.sites.uff.br/wp-content/uploads/ sites/41/2016/08/EV-ovo.png. Acesso em: 8 out. 2024.
Finalizada a análise do material, não foi visualizada mais nenhuma estrutura que indicasse a presença de outro parasita além da identificada anteriormente. Portanto, no laudo dessa amostra o analista clínico deverá laudar:
ATLAS Virtual de Parasitologia do Departamento de Microbiologia e Parasitologia da Universidade Federal Fluminense. Disponível em: http://atlasparasitologia.sites.uff.br/wp-content/uploads/ sites/41/2016/08/EV-ovo.png. Acesso em: 8 out. 2024.
Finalizada a análise do material, não foi visualizada mais nenhuma estrutura que indicasse a presença de outro parasita além da identificada anteriormente. Portanto, no laudo dessa amostra o analista clínico deverá laudar:
Provas
Questão presente nas seguintes provas
A RDC 786234 da ANVISA é um documento normativo e
norteador relacionado ao armazenamento e destino final
dos resíduos de serviços de saúde. A partir dos conceitos
e fatores de segregação desse lixo, o serviço de saúde
deve se adaptar e direcionar adequadamente os resíduos
gerados durante o atendimento ao paciente.
Assinale a alternativa que apresenta um tipo de resíduo de serviço de saúde comumente produzido por um laboratório de análises clínicas.
Assinale a alternativa que apresenta um tipo de resíduo de serviço de saúde comumente produzido por um laboratório de análises clínicas.
Provas
Questão presente nas seguintes provas
O gráfico a seguir apresenta a avaliação, em dois níveis,
do controle de qualidade interno de um analito durante
o período de 16 dias. O controle mantinhase adequado
até o 10º dia de corrida, quando começou a se comportar
de forma diferente do seu histórico anterior. Entretanto,
no 13º dia de corrida, o gráfico apresentou um erro no
seu sistema analítico, com violação de um uma regra de
Westgard para os dois níveis.
REGRAS múltiplas de controle interno: Descrição e interpretação das Regras de Westgard - QualiChart. Disponível em: https:// www.qualichart.com.br/wp-content/uploads/2023/04/Regrasmultiplas-westgard-V2.pdf. Acesso em: 8 out. 2024.
Qual regra de Westgard foi violada no 13º dia de corrida?
REGRAS múltiplas de controle interno: Descrição e interpretação das Regras de Westgard - QualiChart. Disponível em: https:// www.qualichart.com.br/wp-content/uploads/2023/04/Regrasmultiplas-westgard-V2.pdf. Acesso em: 8 out. 2024.
Qual regra de Westgard foi violada no 13º dia de corrida?
Provas
Questão presente nas seguintes provas
3521969
Ano: 2024
Disciplina: Técnicas em Laboratório
Banca: FUNDEP
Orgão: Pref. Manhuaçu-MG
Disciplina: Técnicas em Laboratório
Banca: FUNDEP
Orgão: Pref. Manhuaçu-MG
Provas:
A disbetalipoproteinemia é uma doença, de condição
genética importante, que promove um distúrbio no
metabolismo lipídico, no qual o paciente apresenta valores
de colesterol total e triglicérides aumentados. Essa
condição ocorre pela falta de produção da apolipoproteína
E nas lipoproteínas dos indivíduos afetados, o que pode
favorecer o desenvolvimento de aterosclerose, doenças
cardíacas e até infarto.
Qual exame diferencial é utilizado para o diagnóstico dessa doença?
Qual exame diferencial é utilizado para o diagnóstico dessa doença?
Provas
Questão presente nas seguintes provas
O diabetes mellitus (DM) continua sendo objeto de
pesquisa, dadas as constantes informações que os
estudos clínicos e os novos recursos laboratoriais
incorporam à prática médica a cada dia e com maiores
rapidez e eficiência. Para o acompanhamento do portador
de DM, a hemoglobina glicada (A1C) tem se firmado como
ferramenta útil depois de ter sido validada por estudos
clínicos importantes sobre a avaliação do impacto do rígido
controle glicêmico sobre a incidência e a progressão das
complicações do diabetes. Essas pesquisas demonstraram
que manter o nível de A1C abaixo de 7% reduz o risco de
desenvolvimento das complicações dessa doença.
SUMITA, N, M.; ADRIOLO, A.: Importância da hemoglobina glicada no controle do diabetes mellitus e na avaliação de risco das complicações crônicas. Medicina Laboratorial. J. Bras. Patol. Med. Lab. 44 (3). Jun. 2008 (adaptado).
Sendo um importante exame clínico na avaliação de pacientes com diabetes mellitus, os critérios pré-analíticos para a dosagem de hemoglobina glicada são extremamente importantes na confiabilidade dos resultados emitidos pelo laboratório clínico.
Assinale a alternativa que apresenta um critério préanalítico de rejeição da amostra para a realização do exame hemoglobina glicada.
SUMITA, N, M.; ADRIOLO, A.: Importância da hemoglobina glicada no controle do diabetes mellitus e na avaliação de risco das complicações crônicas. Medicina Laboratorial. J. Bras. Patol. Med. Lab. 44 (3). Jun. 2008 (adaptado).
Sendo um importante exame clínico na avaliação de pacientes com diabetes mellitus, os critérios pré-analíticos para a dosagem de hemoglobina glicada são extremamente importantes na confiabilidade dos resultados emitidos pelo laboratório clínico.
Assinale a alternativa que apresenta um critério préanalítico de rejeição da amostra para a realização do exame hemoglobina glicada.
Provas
Questão presente nas seguintes provas
A gasometria arterial é um exame multiparamétrico muito
importante na avaliação clínica de distúrbios respiratórios e
metabólicos em pacientes clinicamente graves. Esse exame
pode ser utilizado tanto para pacientes em condições
agudas quanto em condições crônicas e possibilita a
identificação da origem de quadros de acidose ou alcalose.
A utilização de outros exames complementares auxilia o
diagnóstico clínico e possibilita o tratamento terapêutico
adequado a cada paciente. Na situação de um paciente de
longa permanência na unidade de terapia intensiva de um
hospital, alterações da gasometria indicam a presença de
um quadro de acidemia desse paciente.
Qual é o exame mais adequado para indicação de uma situação clínica de acidemia crônica?
Qual é o exame mais adequado para indicação de uma situação clínica de acidemia crônica?
Provas
Questão presente nas seguintes provas
A sepse, também chamada de infecção generalizada,
é uma enfermidade que se não tratada de forma precoce
e imediata, se espalha rapidamente pelo corpo e afeta
o sistema imunológico, dificultando o funcionamento dos
órgãos. Em resposta, o organismo provoca mudanças
na temperatura, pressão arterial, frequência cardíaca,
contagem de células brancas do sangue e respiração.
Sem o tratamento adequado, pode haver parada
cardíaca e falência múltipla dos órgãos levando ao óbito.
O diagnóstico da sepse é feito com base na identificação
do foco infeccioso e na presença de sinais de mau
funcionamento de órgãos. Não há exames específicos,
mas há exames voltados para a identificação da presença
de infecção, além de hemograma para a identificação do
foco, radiografia de tórax e exames de urina.
Disponível em: https://www.gov.br/pt-br/noticias/saudee-vigilancia-sanitaria/2022/09/diagnostico-precoce-e-fundamental-para-tratar-a-sepse-conhecida-como-infeccao-generalizada. Acesso em: 8 out. 2024.
A avaliação de um paciente internado em uma terapia intensiva apresenta suspeita de sepse, e alguns exames são solicitados para investigação no quadro. Na avaliação microscópica do hemograma do referido paciente, são encontrados dois achados morfológicos importantes: “Presença de vacúolo citoplasmático em monócitos” e “Presença de vacúolos citoplasmático em neutrófilos”.
Levando em consideração o quadro clínico do paciente, analise as afirmativas a seguir e a relação proposta entre elas.
I. Os dois achados microscópicos têm impactos diferentes no diagnóstico clínico do paciente.
PORQUE
II. Vacúolos citoplasmáticos em neutrófilos periféricos, na microscopia hematológica, estão intimamente ligadas ao quadro de sepse e em monócitos periféricos não há essa relação.
Assinale a alternativa correta.
Disponível em: https://www.gov.br/pt-br/noticias/saudee-vigilancia-sanitaria/2022/09/diagnostico-precoce-e-fundamental-para-tratar-a-sepse-conhecida-como-infeccao-generalizada. Acesso em: 8 out. 2024.
A avaliação de um paciente internado em uma terapia intensiva apresenta suspeita de sepse, e alguns exames são solicitados para investigação no quadro. Na avaliação microscópica do hemograma do referido paciente, são encontrados dois achados morfológicos importantes: “Presença de vacúolo citoplasmático em monócitos” e “Presença de vacúolos citoplasmático em neutrófilos”.
Levando em consideração o quadro clínico do paciente, analise as afirmativas a seguir e a relação proposta entre elas.
I. Os dois achados microscópicos têm impactos diferentes no diagnóstico clínico do paciente.
PORQUE
II. Vacúolos citoplasmáticos em neutrófilos periféricos, na microscopia hematológica, estão intimamente ligadas ao quadro de sepse e em monócitos periféricos não há essa relação.
Assinale a alternativa correta.
Provas
Questão presente nas seguintes provas
Os anticoagulantes são recursos importantíssimos para a
manutenção da estabilidade da analitos no processo de
coleta de sangue.
Embora possa ser utilizado soro para dosagem de glicose sanguínea, o plasma obtido usando fluoreto de sódio é melhor porque
Embora possa ser utilizado soro para dosagem de glicose sanguínea, o plasma obtido usando fluoreto de sódio é melhor porque
Provas
Questão presente nas seguintes provas
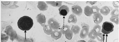
A contagem de reticulócitos no sangue periférico é uma
determinação valiosa no laboratório de hematologia por
ser um indicador sensível da atividade eritropoiética da
medula óssea, tanto no diagnóstico e acompanhamento
de anemias (de origem medular ou extramedular) quanto
no monitoramento de terapias e de transplante de
medula óssea.
LEONART, M. S. S.: Editorial e Comentários. Rev. Bras. Hematol. Hemoter. 31 (5). 2009.
A imagem a seguir remete a um exame de contagem de reticulócitos, no qual foi observada a presença de três diferentes tipos de eritroblastos em fases de maturação diferentes.
Disponível em: https://laces.icb.ufg.br/p/20104-alteracoes-patologicasserie-vermelha-sangue-periferico. Acesso em: 8 out. 2024.
Quais tipos de eritroblastos (indicados pela seta contínua, seta tracejada e as duas setas contínuas, respectivamente) deverão constar no laudo desse exame?
LEONART, M. S. S.: Editorial e Comentários. Rev. Bras. Hematol. Hemoter. 31 (5). 2009.
A imagem a seguir remete a um exame de contagem de reticulócitos, no qual foi observada a presença de três diferentes tipos de eritroblastos em fases de maturação diferentes.
Disponível em: https://laces.icb.ufg.br/p/20104-alteracoes-patologicasserie-vermelha-sangue-periferico. Acesso em: 8 out. 2024.
Quais tipos de eritroblastos (indicados pela seta contínua, seta tracejada e as duas setas contínuas, respectivamente) deverão constar no laudo desse exame?
Provas
Questão presente nas seguintes provas
Cadernos
Caderno Container