Foram encontradas 210 questões.
Em uma viagem, um carro gasta 27 horas para ir de uma cidade A para a cidade B. Sabe-se que a distância entre essas cidades é 2.160 km e que, mantendo-se a mesma velocidade média e partindo da cidade B, esse carro chega à cidade C em 4,7 horas. Logo, a distância entre as cidades B e C é, em km:
Provas
Questão presente nas seguintes provas
Atualmente, o trabalho de assistentes sociais, psicólogos e pedagogos constitui as principais profissões atuantes no SUAS e requer interface com as políticas da saúde, previdência, educação, trabalho, lazer, meio ambiente, comunicação social, segurança e habitação. Assinale a alternativa que descreve, de forma correta, a perspectiva de resultado da interface de trabalho discorrida no contexto anterior.
Provas
Questão presente nas seguintes provas
2504747
Ano: 2015
Disciplina: Atualidades e Conhecimentos Gerais
Banca: Consulplan
Orgão: Pref. Juatuba-MG
Disciplina: Atualidades e Conhecimentos Gerais
Banca: Consulplan
Orgão: Pref. Juatuba-MG
Provas:
“Banco criado em 1964 com sede em Brasília, que possui autarquia federal e faz parte do Sistema Financeiro Nacional sendo a principal entidade monetária do país, com extrema importância política e econômica. Suas competências vão desde a emissão de moedas, até a normatização e fiscalização das instituições financeiras do país.” O contexto anterior trata-se de:
Provas
Questão presente nas seguintes provas
Na conta bancária de Júlio foram feitas quatro movimentações: primeiramente três depósitos e, por fim, um saque. Sabe-se que os depósitos formam, na ordem de sua ocorrência, uma progressão aritmética crescente e que, após o saque, sua conta ficou com R$ 200,00 a mais do que havia inicialmente. Considerando que o valor do saque foi R$ 700,00, então o valor do segundo depósito foi
Provas
Questão presente nas seguintes provas
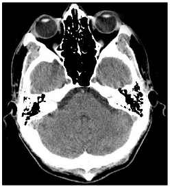
Analise a imagem de crânio a seguir.

É correto afirmar que a imagem anterior trata-se de uma:
Provas
Questão presente nas seguintes provas
Sobre a conservação de documentos e arquivos, marque V para as afirmativas verdadeiras e F para as falsas.
( ) O local ideal para construção de um arquivo é elevado e com o mínimo de umidade.
( ) Ao se construir um arquivo deve-se pensar em possibilidade de ampliação.
( ) A área de armazenamento dos arquivos deve receber bastante luz solar, a fim de evitar mofo.
( ) A temperatura ideal para conservação de documentos é entre 27° e 30°C.
( ) A fumigação é o método de combate a insetos mais eficiente e consiste na inserção do documento em uma câmara, onde é feito o vácuo e aplica-se o produto químico.
A sequência está correta em
Provas
Questão presente nas seguintes provas
2504682
Ano: 2015
Disciplina: Atualidades e Conhecimentos Gerais
Banca: Consulplan
Orgão: Pref. Juatuba-MG
Disciplina: Atualidades e Conhecimentos Gerais
Banca: Consulplan
Orgão: Pref. Juatuba-MG
Provas:
“Movimento ocorrido na província do Grão-Pará (atual estado do Pará) e que envolveu a população pobre que vivia em condições muito precárias às margens dos rios da região. Estendeu-se de 1835 a 1840, expressou a revolta popular contra as precárias condições de vida nos povoados paraenses.” A citação anterior trata-se de:
Provas
Questão presente nas seguintes provas
A Portaria SVS/MS nº 453/1998 estabelece as diretrizes básicas de proteção radiológica em radiodiagnóstico médico e odontológico. Nela estão definidos os princípios básicos de radioproteção. Sobres estes princípios, assinale a alternativa correta.
Provas
Questão presente nas seguintes provas
Quando solicitado um exame de fêmur, com incidência em perfil, a cabeça do paciente deve ficar na extremidade onde está o catodo do tubo de radiação. Este posicionamento é necessário devido à(ao)
Provas
Questão presente nas seguintes provas
Três amigas Giovana, Ana e Olívia foram a uma festa à fantasia usando máscaras de leoa, coelha e gata de cores preta, branca e azul, não necessariamente nessa ordem. Sabe-se que:
• a máscara de Ana era preta;
• Giovana ou foi com a máscara de gata ou com a máscara de coelha;
• a máscara de leoa era azul; e,
• a máscara de gato não era branca.
• Giovana ou foi com a máscara de gata ou com a máscara de coelha;
• a máscara de leoa era azul; e,
• a máscara de gato não era branca.
As garotas que foram com máscaras de coelha, preta, azul, de gata, de leoa e branca foram, respectivamente:
Provas
Questão presente nas seguintes provas
Cadernos
Caderno Container