Foram encontradas 293 questões.
A síndrome HELLP é uma das mais relevantes
emergências obstétricas. Esse acrônimo significa
hemólise, aumento de enzimas hepáticas e
plaquetopenia. Desenvolve-se em 10% a 20% das
gestantes com pré-eclâmpsia grave/eclâmpsia e
requer condutas específicas afim de assegurar o
bem-estar materno-fetal. Assinale a conduta
adequada mediante essa emergência.
Provas
Questão presente nas seguintes provas
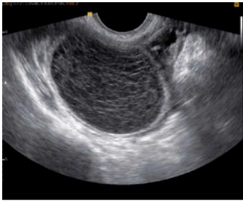
Paciente de 24 anos, comparece ao pronto socorro
com queixa de dor em região suprapúbica e na fossa
ilíaca à direita, com início há cerca de 2 dias e piora
progressiva. Nega queixas urinárias ou
gastrointestinais. Menarca aos 12 anos, sexarca aos
18 anos, vida sexual ativa com parceiro único, com
uso de preservativo masculino. Método
contraceptivo: DIU de cobre. A data da última
menstruação foi há 2 semanas e 5 dias. Ao exame
físico, bom estado geral, estável
hemodinamicamente, mucosas coradas; dor à
palpação profunda da fossa ilíaca direita, sem sinais
de peritonite. Ao toque vaginal, identifica-se massa
palpável na mesma topografia.
A USG-TV veio com o seguinte achado:
Frente a essas informações, qual a melhor hipótese diagnóstica?
A USG-TV veio com o seguinte achado:
Frente a essas informações, qual a melhor hipótese diagnóstica?
Provas
Questão presente nas seguintes provas
No Brasil, a hemorragia pós-parto (HPP) é a segunda
causa de morte materna, estando apenas atrás dos
distúrbios hipertensivos na gravidez. Para reduzir
esses casos, é de suma importância que a equipe
assistencial saiba identificar os fatores de risco para
tal condição. Assinale a alternativa que apresenta
fatores de risco para HPP relacionados à atonia
uterina.
Provas
Questão presente nas seguintes provas
Termo que se refere às respostas particulares e
únicas de um paciente a um medicamento ou a um
estímulo externo. Na homeopatia, esse conceito é
importante porque um mesmo medicamento pode
provocar reações diferentes em pacientes diferentes.
Essas respostas peculiares podem ser relacionadas
à constituição física, emocional e psicológica do
paciente, que deve ser considerada ao escolher o
remédio homeopático mais adequado. Essa definição
corresponde à:
Provas
Questão presente nas seguintes provas
Em relação às abordagens terapêuticas em
homeopatia, considere as seguintes afirmações.
I. O unicismo defende a escolha de um único medicamento que seja capaz de tratar o paciente de forma holística, considerando suas dimensões físicas, emocionais e mentais, com base na totalidade dos sintomas.
II. O pluralismo envolve a utilização de múltiplos medicamentos simultaneamente, de acordo com a variedade de sintomas apresentados pelo paciente, sem considerar a necessidade de um remédio único.
III. A isopatia utiliza medicamentos derivados de substâncias que causaram a doença no paciente, visando tratar condições através da mesma substância que gerou o quadro patológico.
IV. A enentiopatia é a prática de tratamento com medicamentos que causam efeitos opostos aos sintomas apresentados, utilizando substâncias que geram reações antagônicas no organismo.
Qual das alternativas abaixo está corretamente relacionada aos princípios homeopáticos?
I. O unicismo defende a escolha de um único medicamento que seja capaz de tratar o paciente de forma holística, considerando suas dimensões físicas, emocionais e mentais, com base na totalidade dos sintomas.
II. O pluralismo envolve a utilização de múltiplos medicamentos simultaneamente, de acordo com a variedade de sintomas apresentados pelo paciente, sem considerar a necessidade de um remédio único.
III. A isopatia utiliza medicamentos derivados de substâncias que causaram a doença no paciente, visando tratar condições através da mesma substância que gerou o quadro patológico.
IV. A enentiopatia é a prática de tratamento com medicamentos que causam efeitos opostos aos sintomas apresentados, utilizando substâncias que geram reações antagônicas no organismo.
Qual das alternativas abaixo está corretamente relacionada aos princípios homeopáticos?
Provas
Questão presente nas seguintes provas
Quanto maior a segurança, em relação a similitude
do medicamento selecionado para terapêutica, mais
alta deve ser a potência do mesmo. Ainda que o
simillimum seja capaz de atuar em qualquer
potência, a cura se processará de um modo melhor
se for utilizado em potência elevada. Já um
medicamento similar atuará apenas em uma ou duas
potências, e logo os sintomas mudarão, indicando a
necessidade de mudança do medicamento. Essa
filosofia refere-se a qual médico?
Provas
Questão presente nas seguintes provas
A matéria médica homeopática é a base de estudo
que reúne as substâncias usadas na homeopatia e
seus efeitos sobre o organismo, bem como os
sintomas que podem ser tratados por cada remédio.
Assinale a alternativa que corresponde corretamente
à descrição dos medicamentos.
Provas
Questão presente nas seguintes provas
A interação entre a medicina alopática e a
homeopática é um tema que gera discussões e,
muitas vezes, controvérsias no campo da saúde.
Ambas as abordagens têm suas filosofias e métodos
distintos, mas há situações em que podem ser
utilizadas de forma complementar. Qual das
alternativas abaixo descreve corretamente uma
possível interação entre essas duas abordagens
terapêuticas?
Provas
Questão presente nas seguintes provas
A anamnese homeopática é a primeira etapa de uma
consulta médica e tem como objetivo coletar
informações sobre o paciente de forma integral.
Assinale a única alternativa incorreta sobre os
princípios da anamnese.
Provas
Questão presente nas seguintes provas
Os conceitos de miasmas foram introduzidos por
Samuel Hahnemann na homeopatia para explicar a
origem e a evolução das doenças crônicas. Segundo
essa teoria, os miasmas são condições ou
tendências mórbidas que predispõem o organismo a
desenvolver determinadas doenças, influenciando a
constituição do indivíduo e o curso das
enfermidades. Hahnemann identificou três miasmas
principais: Psora, Sicose e Sífilis. Assinale a
alternativa que corresponde corretamente o conceito
de "Psora".
Provas
Questão presente nas seguintes provas
Cadernos
Caderno Container