Foram encontradas 500 questões.
Paciente do sexo masculino, 55 anos, em uso crônico de corticoesteroide ,foi submetido a exame de densitometria óssea e o resultado está representado abaixo.

Assinale a alternativa que contém o correto diagnóstico deste paciente.
Provas
Paciente de 60 anos, sexo masculino, hipertenso, apresentou quadro de desorientação temporal e espacial de início súbito, acompanhado de cefaleia leve, sem perda de consciência, com duração de 12 horas. Foi submetido a exame de ressonância magnética do encéfalo dois dias após o início do quadro, estando disponíveis as seguintes imagens: A - T2; B - FLAIR; C - difusão; D - mapa de ADC.


Assinale a alternativa correta, que contém o diagnóstico para o quadro apresentado acima.
Provas
Baseando-se nas recomendações da última edição do Atlas BI-RADS do American College of Radiology, analise as afirmativas abaixo e assinale a alternativa correta.
I. São calcifcações com morfologia suspeita para malignidade: amorfas, distróficas, heterogêneas grosseiras e pleomórficas finas.
II. Assimetria em desenvolvimento é uma assimetria focal nova, maior ou mais evidente do que em um exame anterior.
III. Três achados específicos são validados como sendo provavelmente benignos em exame mamográfico: nódulo sólido circunscrito não calcificado, assimetria focal e agrupamento isolado de calcificações puntiformes.
IV. Em exame ultrassonográfico, o achado de múltiplos agrupamentos de microcistos não é suspeito para malignidade, porém recomenda-se controle ecográfico em 6 meses (BI-RADS categoria 3).
Provas
O padrão apontado pelas setas pretas na imagem de tomografia computadorizada (sem contraste venoso) abaixo é comumente observado em bronquiolite infamatória, inclusive infecciosa, como em casos de disseminação endobrônquica de micobacterioses.

Assinale a alternativa correta, que contém o padrão representado acima.
Provas
A Artrite Reumatoide (AR) é uma doença que afeta homens e mulheres de todas as idades, com início mais comumente entre 35 e 50 anos, e apresenta curso clínico caracterizado por acometimento insidioso das articulações sinoviais dos esqueletos apendicular e axial, podendo evoluir para deformidades, marco importante da doença.
Em relação aos exames de imagem na avaliação da AR, analise as afirmativas abaixo e assinale a alternativa correta.
I. As articulações interfalangeanas distais das mãos são comumente afetadas e os achados de imagem incluem na maioria das vezes sinais de osteoartrite secundária.
II. As lesões da AR são tipicamente bilaterais e simétricas nas mãos, em especial nas articulações metacarpofalangeanas e interfalangeanas proximais, podendo ser observadas nas radiografas rarefação óssea, erosões ósseas marginais, deformidades e anquilose.
III. No esqueleto axial, pode haver diástase C1-C2 ou ainda subluxação rotatória de C1-C2 secundária à ruptura do ligamento transverso.
IV. São achados ultrassonográficos comuns na AR: tenossinovite, nódulos reumatoides e erosões ósseas.
Provas
Os exames de imagem são fundamentais na avaliação dos tumores ósseos. A radiografa simples ainda tem papel importante na semiologia, e os exames de tomografia computadorizada e de ressonância magnética apresentam-se como ferramentas essenciais para a avaliação precisa da extensão dessas lesões, com ótima correlação com as peças anatomopatológicas.
Em relação aos tumores ósseos, analise as afirmativas abaixo e dê os valores Verdadeiro (V) ou Falso (F).
( ) Dentre as lesões benignas com localização diafisária, deve-se incluir no diagnóstico diferencial encondroma, osteoblastoma e displasia fibrosa.
( ) O padrão de destruição óssea permeativo sugere agressividade local.
( ) O padrão geográfico sugere agressividade em área extensa, em que se observa indefinição das margens entre o tumor e o osso normal.
( ) A cortical óssea pode representar uma barreira natural ao crescimento dos tumores. Quando ocorre o rompimento desta barreira, a lesão contida na medula óssea se estende para as partes moles adjacentes, sendo o Sarcoma de Ewing o principal exemplo deste tipo de alteração.
Assinale a alternativa que apresenta a sequência correta de cima para baixo.
Provas
Mulher de 45 anos, sem história pessoal de câncer, foi submetida a exame de ressonância magnética do abdome superior com contraste venoso hepatoespecífico após achado de nódulo hepático incidental em ultrassonografia. Nas sequências pré-contraste, o nódulo apresentava discreto baixo sinal na ponderação T1 e discreto alto sinal na ponderação T2, ambas com supressão de gordura. Abaixo temos imagens nas sequências T1 em fase, T1 fora de fase, T1 pós-contraste (fase arterial) e T1 pós-contraste (fase hepatobiliar). As sequências pós-contraste mostram que o nódulo apresenta intenso realce arterial e hipossinal em relação ao parênquima na fase hepatobiliar.


Diante do exposto acima, analise as afirmativas abaixo e assinale a alternativa correta.
I. Há queda de sinal na ponderação T1 fora de fase tanto no parênquima hepático como no nódulo do segmento IV hepático em relação à ponderação T1 em fase, sugerindo quantidade significativa de gordura intracelular no parênquima e no nódulo.
II. O nódulo do segmento IV hepático tem características compatíveis com hiperplasia nodular focal.
III. O nódulo do segmento IV hepático tem características compatíveis com adenoma esteatótico.
IV. O meio de contraste hepatoespecífico auxilia no diagnóstico diferencial entre hiperplasia nodular focal e adenoma, uma vez que a hiperplasia nodular focal não capta contraste significativamente ou exibe apenas halo captante na fase hepatobiliar, enquanto o adenoma apresenta realce igual ou maior que o do parênquima hepático na mesma fase.
Provas
Mulher de 55 anos, submetida à cirurgia bariátrica há 6 meses sob técnica de bypass gástrico em Y de Roux, queixa-se de desconforto epigástrico e de dores intermitentes no abdome superior há 3 meses, sendo solicitado pelo médico cirurgião exame contrastado do esôfago-estômago-duodeno, representado pelas duas imagens abaixo. Obs.: contraste administrado por via oral.


Diante do exposto acima, analise as afirmativas abaixo e assinale a alternativa correta.
I. Há refluxo de contraste da via alimentar para a via biliopancreática por incompetência da anastomose terminolateral jejuno-jejunal.
II. Os achados evidenciam a presença de fístula entre a anastomose bolsa gástrica-alça jejunal e o estômago excluído.
III. Observa-se extravasamento de meio de contraste para a cavidade abdominal, achado suspeito para deiscência da anastomose bolsa gástrica-alça jejunal.
Provas
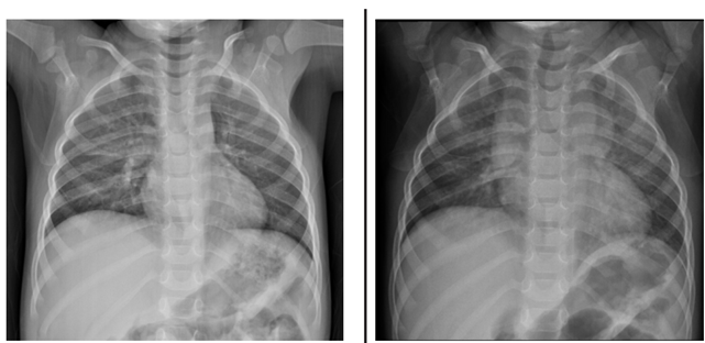
Menino de 2 anos e 6 meses, com história de tosse, dispneia, choro, inapetência e febre há 4 dias, realizou radiografa de tórax (primeira imagem). Após o exame, a mãe recebeu receita médica com medicações para a criança tomar durante 2 semanas, com orientação de repetir a radiografa (segunda imagem) 1 semana após o término do tratamento.

Considerando os dados clínicos e as radiografas acima, analise as afirmativas abaixo e dê os valores Verdadeiro (V) ou Falso (F).
( ) O diagnóstico inicial mais provável é pneumonia, tanto pelos dados clínicos como pela presença de opacidades pulmonares no terço médio à direita na primeira imagem, porém o achado de massa mediastinal na segunda imagem torna a hipótese de pneumonia menos provável.
( ) No exame de controle evolutivo realizado 3 semanas após o primeiro atendimento houve o aparecimento de consolidações pulmonares supra-hilares bilaterais, indicando piora radiológica.
( ) Após a análise das duas radiografas, pode-se chegar à conclusão de que trata-se de um quadro de hiperplasia tímica rebote em criança em processo de recuperação de pneumonia.
Assinale a alternativa que apresenta a sequência correta de cima para baixo.
Provas
A exposição à radiação ionizante, externa ou interna, sempre causa dano às células. Não existe um valor de dose de radiação que seja considerado seguro. Alguns dos danos somáticos causados por exposição podem ser reversíveis, porém os danos genéticos são cumulativos e irreversíveis. Por essa razão, deve-se procurar reduzir ao máximo a exposição do indivíduo e da população. Nesse sentido, analise as afirmativas abaixo e assinale a alternativa correta.
I. Princípio da justificação: qualquer atividade envolvendo radiação ou exposição deve ser justificada em relação a outras alternativas disponíveis, e ainda produzir um benefício significativo para a sociedade.
II. Para se proteger contra as radiações ionizantes é necessário que se considere distância, blindagem e tempo.
III. A exposição é diretamente proporcional ao quadrado da distância, ou seja, dobrando-se a distância, diminui-se a exposição para a quarta parte.
Provas
Caderno Container