Magna Concursos

Foram encontradas 460 questões.

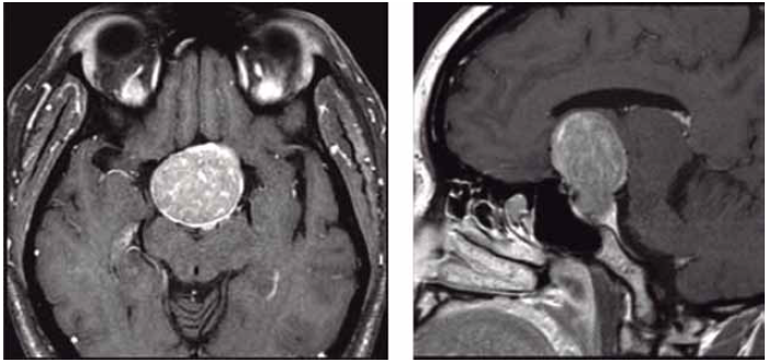
Mulher de 35 anos apresenta quadro de cefaleia e embaçamento visual. A ressonância magnética realizada é mostrada a seguir.

Enunciado 3518939-1

(Arquivo pessoal; imagem usada com autorização)

Qual o achado que, mais provavelmente, deve ser encontrado no exame físico?

 

Provas

Questão presente nas seguintes provas

Mulher de 36 anos refere quadro de 1 semana de diarreia, indigestão e leve dor abdominal. A cultura de fezes é negativa para patógenos bacterianos entéricos. O hemograma mostra eosinofilia (19%). No exame dos sedimentos concentrados para ovos e parasitas, vários ovos de helmintos amarelo-acastanhados, esféricos e de casca grossa medindo 30 a 40 micrometros de diâmetro foram vistos em cada espécime. Esses ovos eram caracterizados por estrias radiais. Oncosferas de seis ganchos estavam presentes nos ovos.

Considerando a principal hipótese diagnóstica, o tratamento correto é

 

Provas

Questão presente nas seguintes provas

Constitui uma doença e agravo de notificação compulsória semanal:

 

Provas

Questão presente nas seguintes provas

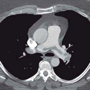
Considere um paciente hemodinamicamente estável com a seguinte tomografia de tórax.

Enunciado 3518936-1

(Arquivo pessoal; imagem usada com autorização)

Quanto ao manuseio terapêutico, a conduta inicial correta é

 

Provas

Questão presente nas seguintes provas

Homem de 34 anos portador de infecção pelo HIV que tem sexo com homens queixa-se de dor retal intensa, corrimento sanguinolento e tenesmo. Ele está em uso de terapia antirretroviral com contagem de CD4 de 636/mm3 e carga viral de HIV indetectável. A proctoscopia revela inflamação retal e mucopus visível.

A causa mais provável dessa apresentação é

 

Provas

Questão presente nas seguintes provas

Homem de 59 anos é avaliado após 3 meses de anticoagulação para um episódio de trombose venosa profunda (TVP) na perna esquerda que ocorreu sem nenhum fator de risco identificável. Ele tem histórico de hipertensão, etilismo e tabagismo. Nessa circunstância, qual é o fator de risco mais forte para prever a recorrência da TVP após a descontinuação do tratamento?

 

Provas

Questão presente nas seguintes provas

Homem de 47 anos é atendido com o relato de que tem bebido diariamente há algumas semanas. Ao ser questionado, ele diz que tem se sentido ansioso, e que tem sofrido muito e bebe para tentar esquecer um problema grave e muito estressante que ele está enfrentando nas últimas semanas. Considerando a principal hipótese diagnóstica, o medicamento inicial de escolha é

 

Provas

Questão presente nas seguintes provas

Paciente tem o histórico de hepatite C adquirida após uma transfusão de sangue muitos anos atrás. A doença hepática progrediu e ele agora tem uma doença hepática avançada. Nessa circunstância, qual é a causa mais provável de morte nesse paciente?

 

Provas

Questão presente nas seguintes provas

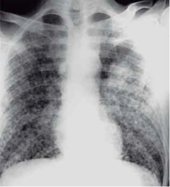
Homem de 59 anos, tabagista de longa data, desempregado e sem exposição ocupacional, é internado com quadro de tosse e dispneia progressiva. Ele não está bem há algum tempo e recebeu vários cursos de antibióticos para “bronquite”. Nos últimos 4 meses não teve acompanhamento médico, e perdeu cerca de 12% do peso corporal. Ao exame físico: queda do estado geral; afebril; roncos e crepitações difusas (tipo velcro). A gasometria arterial mostra PO2 de 68 mmHg com alcalose respiratória compensada leve. O escarro é negativo para tuberculose. A radiografia de tórax é mostrada a seguir.

Enunciado 3518931-1

(Arquivo pessoal; imagem usada com autorização)

Considerando a principal hipótese diagnóstica, constitui um achado que, mais provavelmente, é encontrado

 

Provas

Questão presente nas seguintes provas

Mulher jovem é atendida em consulta médica com o relato de que não está se alimentando bem e apresenta falta de interesse pela comida. Relata perda de peso significativa e não está crescendo adequadamente. Ela não está se alimentando o suficiente e está perdendo dias de aula porque se sente fisicamente doente. Ela não sofre perturbações na maneira como seu peso ou corpo é experimentado.

O diagnóstico mais provável é

 

Provas

Questão presente nas seguintes provas