Foram encontradas 50 questões.
Estudante de medicina de 21 anos apresenta quadro de diarreia e desidratação. Refere que voltou de viagem no interior da África há 2 dias, onde realizava trabalho missionário. Não há febre ou calafrios, mas relata 15 a 20 evacuações aquosas nas últimas 24 horas. Exames fecais mostram sódio de 104 e potássio de 30; calprotectina e leucócitos fecais são negativos.
Nessa situação, o mecanismo mais provável para a diarreia do paciente é
Provas
Homem de 24 anos é atendido com quadro de sangramento espontâneo do nariz e gengivas. Fora isso, refere se sentir bem e diz ter tido uma infecção do trato respiratório superior 3 semanas antes, para a qual tomou anti-inflamatórios não hormonais por 3 dias. Ele nunca teve sintomas semelhantes no passado e não há história familiar de qualquer diátese hemorrágica. Ao exame físico: nota-se petéquias na mucosa oral. Hemograma mostra: hemoglobina: 14 g/dL; leucócitos: 7.000/mm3; plaquetas 4000/mm3. Os exames de sangue restantes, incluindo testes de função renal e hepática, estão dentro dos limites normais. O esfregaço de sangue periférico mostra hemácias e glóbulos brancos normais e plaquetas diminuídas, embora de tamanho aumentado.
A principal hipótese diagnóstica é
Provas
Mulher de 32 anos de idade apresenta quadro de fadiga e dispneia aos esforços. Ela iniciou sulfametoxazol-trimetoprima para uma infecção do trato urinário há 5 dias. Ao exame físico: hipocorada (3+/4); pressão arterial: 115 x 72 mmHg; frequência cardíaca: 112 bpm. O hemograma revela hemoglobina de 6,0 g/dL e hematócrito de 19%.
O exame com maior chance de revelar o diagnóstico dessa paciente é
Provas
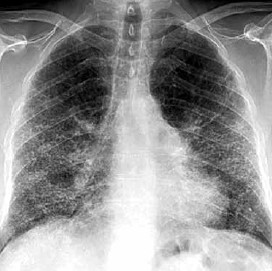
Mulher de 63 anos de idade apresenta quadro de tosse progressiva e dispneia. Ela nega qualquer história de artrite, lesões cutâneas ou queixas oculares. Não há tabagismo ou exposição ocupacional. Ao exame físico: queda do estado geral; afebril; pulso: 90 bpm; frequência respiratória: 32/min; pressão arterial: 119 x 76 mmHg; baqueteamento digital; ausculta pulmonar com crepitações bilaterais (tipo “velcro”). Gasometria arterial em ar ambiente: pH 7,47; PCO2: 32 mmHg; PO2: 60 mmHg. Há queda da saturação arterial de oxigênio ao esforço leve. A pesquisa de tuberculose no escarro é negativa. A radiografia de tórax é mostrada abaixo.

(Arquivo pessoal; imagem usada com autorização)
Nessa paciente, o diagnóstico mais provável é
Provas
Mulher de 65 anos, com pancreatite crônica grave, é atendida em consulta de retorno. Ela sofre de dor abdominal diária e recentemente notou que suas fezes ficaram oleosas, com cheiro fétido e flutuam no vaso. O médico da atenção primária recentemente detectou deficiência moderada de vitamina D e ela está tomando suplementação diária.
Em relação ao quadro clínico descrito, é correto afirmar que
Provas
Mulher de 30 anos, com nefrite lúpica recentemente diagnosticada, apresenta quadro de perda abrupta da visão em ambos os olhos ao longo de várias horas. Ela teve dificuldade em controlar a hipertensão nas últimas semanas com piora da função renal e tem tomado vários anti- -hipertensivos orais. Ao exame físico: afebril; ela está referindo dor de cabeça e tem aparência cushingoide; não há rigidez de nuca; pressão arterial: 212 x 105 mmHg; neurológico: ela está acordada, segue os comandos, a acuidade visual é diminuída globalmente, mas não há déficit focal. A creatinina é 2,4 mg/dL. A ressonância magnética mostra edema vasogênico parieto-occipital bilateral com sinal T2 hiperintenso, mas sem evidência de acidente vascular cerebral agudo ou dissecção arterial.
O diagnóstico mais provável é
Provas
O odor de um paciente vítima de intoxicação exógena pode fornecer pistas sobre a substância causadora do envenenamento. No paciente com odor de alho, a etiologia mais provável é
Provas
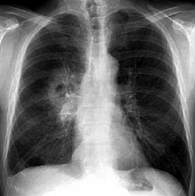
Considerando um homem de 51 anos com a radiografia de tórax mostrada a seguir, é correto afirmar que

(Arquivo pessoal; imagem usada com autorização)
Provas
Mulher de 46 anos, com dor abdominal intermitente no quadrante superior direito, apresenta cálculos biliares, sendo então submetida à colecistectomia. Dois anos após, ela persiste com episódios de dor em andar superior do abdome que duram de 1 a 2 horas. Na última ocasião, os exames séricos mostraram: aspartato aminotransferase: 77 U/L; alanina aminotransferase: 99 U/L; fosfatase alcalina: normal.
O ultrassom mostra ducto biliar comum de 5 mm. Nessa paciente, o manejo mais adequado é
Provas
Mulher de 20 anos, previamente saudável, apresenta quadro de febre, cefaleia e erupção cutânea. Ela é babá e recentemente assumiu um cargo no verão para cuidar de crianças pequenas, ambas com diarreia. Ao exame físico: consciente, orientada; temperatura de 38,4 ºC; rigidez de nuca 1+/4; não há papiledema; nota-se erupção macular esbranquiçada no tronco e nas costas, bem como nas mãos. A punção lombar mostra: leucócitos: 150/mm3 (90% de linfócitos); hemácias: 2/mm3; proteínas 40 mg/dL; glicose: 80 mg/dL; coloração de Gram sem bactérias.
A etiologia mais provável nessa paciente é
Provas
Caderno Container