Magna Concursos

Foram encontradas 224 questões.

A Comissão Nacional de Incorporação de Tecnologias no SUS (CONITEC) assessora o Ministério da Saúde nas atribuições de incorporação, exclusão ou alteração de novos medicamentos, produtos e procedimentos. Assinale a alternativa correta.
 

Provas

Questão presente nas seguintes provas
601336 Ano: 2019
Disciplina: Medicina
Banca: VUNESP
Orgão: Pref. Campinas-SP
Provas:
Criança de 8 anos de idade com história de 2 dias de febre (38 ºC), cefaleia, mialgia, dor articular e hoje com aparecimento de manchas vermelhas pelo corpo e prurido. Ao exame físico, está em regular estado geral, afebril, com adenomegalia cervical, hiperemia conjuntival sem secreção e exantema maculopapular disseminado. Entre as alternativas abaixo, a principal hipótese diagnóstica é:
 

Provas

Questão presente nas seguintes provas
601335 Ano: 2019
Disciplina: Medicina
Banca: VUNESP
Orgão: Pref. Campinas-SP
Provas:
Menina de 6 anos, com quadro de disúria e polaciúria, sem febre, foi levada em pronto atendimento, onde realizou o exame de urina tipo I, com o seguinte resultado: pH = 5,5, densidade = 1020, nitrito positivo, leucócitos = 40000/mm3 e eritrócitos = 5000/mm3 , sendo diagnosticada cistite, e tratada com amoxicilina por 10 dias. Uma semana após terminar o tratamento, estava assintomática e colheu exames de controle solicitados pelo médico da UBS. Ao exame de urina tipo I: pH = 5,0, densidade = 1015, nitrito negativo, leucócitos = 12000/mm3 e eritrócitos = 2000/mm3 e urocultura (jato médio): 30000 UFC de E. coli. O diagnóstico e conduta são, correta e respectivamente,
 

Provas

Questão presente nas seguintes provas
601334 Ano: 2019
Disciplina: Medicina
Banca: VUNESP
Orgão: Pref. Campinas-SP
Provas:
Paciente adulto em tratamento para asma é avaliado em consulta de rotina. Ele relata que, nas últimas 4 semanas: não teve qualquer limitação às atividades pela asma; não apresentou exacerbação noturna; cerca de 1 vez por semana teve sintomas no período diurno, necessitando usar β2-agonista de curta ação para o alívio. Em relação ao controle da doença, a asma é classificada como
 

Provas

Questão presente nas seguintes provas
601331 Ano: 2019
Disciplina: Medicina
Banca: VUNESP
Orgão: Pref. Campinas-SP
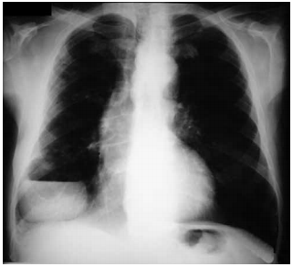
Paciente de 66 anos, sexo masculino, chega ao ambulatório relatando quadro de tosse, expectoração amarelada e febre (39 ºC) há 2 dias, acompanhada de dor torácica. Ele também refere etilismo e tem dentes em mal estado de conservação. Ele satura 91% em ar ambiente e a frequência respiratória encontra-se em 28 ipm. A seguir o raio X de tórax.

enunciado 601331-1
Neste momento, a conduta correta a ser instituída é
 

Provas

Questão presente nas seguintes provas
601330 Ano: 2019
Disciplina: Medicina
Banca: VUNESP
Orgão: Pref. Campinas-SP

Homem, 64 anos, tabagista de um maço de cigarros ao dia, compareceu à consulta médica ambulatorial por insistência da esposa, que relatou ao médico que seu marido não obedece às orientações para o tratamento de hipertensão, que permanece mal controlada. Refere que não faz medidas habituais da pressão arterial e não pratica atividade física, mas encontra-se assintomático. Exame físico: valores de pressão arterial = 160 x 100 mmHg a 170 x 110 mmHg. Exames laboratoriais: creatinina sérica = 2,10 mEq/L; taxa de filtração glomerular estimada = 45 mL/min/1,73 m2 ; hipercolesterolemia com LDL = 180 mEq/L; triglicerídeos = 245 mg/dL; HDL = 29 mg/dL. Em uma amostra de urina a relação albumina/creatinina foi de 100 mg/g. Foram evidenciados, ainda, os seguintes resultados: paratormônio = 180 pg/mL (VR 18,5 a 88,0 pg/mL); fósforo sérico = 5,6 mg/dL (VR = 2,5 – 4,5 mg/dL).

Em relação ao caso apresentado, assinale a alternativa correta.

 

Provas

Questão presente nas seguintes provas
601329 Ano: 2019
Disciplina: Medicina
Banca: VUNESP
Orgão: Pref. Campinas-SP
Paciente de 65 anos, sexo masculino, apresenta valores de pressão arterial repetidamente em 159 x 99 mmHg e um risco cardiovascular considerado moderado. Neste momento, recomenda-se, além de mudanças no estilo de vida a introdução de
 

Provas

Questão presente nas seguintes provas
601327 Ano: 2019
Disciplina: Medicina
Banca: VUNESP
Orgão: Pref. Campinas-SP
Provas:

Mulher de 22 anos de idade, solteira, sexualmente ativa, apresenta corrimento vaginal amarelado há 4 dias. Exame físico: sinais vitais normais. Exame ginecológico: aparência normal de área vulvar e de mucosa vaginal; colo uterino inflamado e friável; secreção cervical mucopurulenta; não há dor à movimentação cervical, uterina ou de anexos. Exame da secreção vaginal: numerosos leucócitos; pH: 5,0; teste das aminas negativo; não são observados elementos fúngicos.

O tratamento inicial correto é

 

Provas

Questão presente nas seguintes provas
601326 Ano: 2019
Disciplina: Medicina
Banca: VUNESP
Orgão: Pref. Campinas-SP
Gestante, II gesta, I para (cesárea anterior), com 40 semanas e 2 dias, confirmados por ultrassonografia precoce, procura o pronto atendimento com PA de 140 x 90 mmHg. Ao exame, a AU é de 33, FCF 132 bpm, colo posteriorizado, grosso e impérvio. Frente a esses dados, é correto:
 

Provas

Questão presente nas seguintes provas
601325 Ano: 2019
Disciplina: Medicina
Banca: VUNESP
Orgão: Pref. Campinas-SP
Provas:

Homem de 31 anos de idade apresenta quadro de dor abdominal e diarreia sanguinolenta intermitente há 2 meses, sem urgência, tenesmo ou febre. O sangramento ocorre com e sem movimentos intestinais. Nega febre, calafrios, suores noturnos, artralgia, dor ocular ou erupção cutânea. Nega viagem recente, uso de antibióticos ou doenças prévias. Exame físico: sinais vitais normais; abdome: sensibilidade moderada à palpação do quadrante inferior esquerdo. A colonoscopia mostra eritema e ulceração não contínuos no cólon ascendente, descendente e sigmoide; reto e o cólon transverso normais. O histopatológico de biópsias das áreas afetadas revela criptas distorcidas e ramificadas, com formação de granulomas.

O diagnóstico mais provável é

 

Provas

Questão presente nas seguintes provas