Foram encontradas 620 questões.
LFRM, sexo masculino, 33 anos, portador de colelitíase, comparece à UPA com
relato que na última noite participou de uma festa para comemorar sua formatura
e houve grande quantidade de ingestão de bebida alcóolica. No momento se
queixa de dor abdominal em andar superior e vômitos, exames mostrando importante elevação de enzimas pancreáticas. No momento, se apresenta hemodinamicamente estável.
Diante do quadro apresentado, qual das alternativas abaixo NÃO contém um item indicado no tratamento da pancreatite aguda inicial para este paciente?
Diante do quadro apresentado, qual das alternativas abaixo NÃO contém um item indicado no tratamento da pancreatite aguda inicial para este paciente?
Provas
Questão presente nas seguintes provas
RAG, sexo masculino, 35 anos, sem comorbidades prévias, história de alergia
grave à amoxicilina, relata que há 16 dias iniciou quadro de coriza, congestão nasal, tosse seca, odinofagia leve e foi tratado com dipirona, ibuprofeno e SF nasal.
Entretanto, apresentou piora progressiva dos sintomas, atualmente com cefaleia
frontal em peso, coriza mucopurulenta, febre de 38,5°C e prostração.
Considerando o diagnóstico clínico do quadro em questão, dentre as opções abaixo, qual a conduta mais adequada para o caso?
Considerando o diagnóstico clínico do quadro em questão, dentre as opções abaixo, qual a conduta mais adequada para o caso?
Provas
Questão presente nas seguintes provas
AGA, 30 anos, sem comorbidades prévias, gestante de primeiro trimestre comparece à UBS para apresentar os seguintes exames solicitados por seu médico de
referência.
Hemoglobina 12,0 g/dL; Tipo sanguíneo: A positivo; Teste rápido para sífilis negativo; Teste rápido para HIV negativo; Glicemia jejum 96 mg/dL; Toxoplasmose IgG positivo IgM negativo; HBSaG negativo; Hepatite C negativo; Urina rotina sem alterações; TSH 1.4 mU/L (VR 0.1 à 2.5 mU/L);
Diante dos achados apresentados, qual o diagnóstico e a conduta a ser seguida?
Hemoglobina 12,0 g/dL; Tipo sanguíneo: A positivo; Teste rápido para sífilis negativo; Teste rápido para HIV negativo; Glicemia jejum 96 mg/dL; Toxoplasmose IgG positivo IgM negativo; HBSaG negativo; Hepatite C negativo; Urina rotina sem alterações; TSH 1.4 mU/L (VR 0.1 à 2.5 mU/L);
Diante dos achados apresentados, qual o diagnóstico e a conduta a ser seguida?
Provas
Questão presente nas seguintes provas
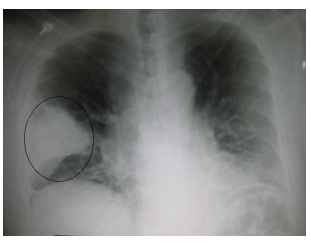
AFC, sexo feminino, 50 anos, portadora de diabetes mellitus não insulino dependente e etilista social, procura atendimento médico se queixando que há 4 dias
iniciou quadro de tosse produtiva, febre de 39,0°C, prostração e dispneia aos médios esforços. Em seu exame físico completo, você verifica crepitações finas em
hemitórax esquerdo e uma taquipneia de 28 IRPM, sem outras alterações relevantes no exame físico. Você solicita uma radiografia de tórax.
Diante do quadro e considerando as principais evidências atuais, entre as alternativas abaixo, qual a MELHOR conduta terapêutica?
Diante do quadro e considerando as principais evidências atuais, entre as alternativas abaixo, qual a MELHOR conduta terapêutica?
Provas
Questão presente nas seguintes provas
RAB, sexo masculino, portador de rinite e asma, 30 anos, relata que hoje iniciou
quadro de hiperemia ocular à esquerda e rinorreia hialina à esquerda associada à
intensa cefaleia pulsátil em região frontal e hemicraniana à esquerda. Relata que
já apresentou quadros similares durante a vida e que os episódios duram em torno
de 2 horas, sendo de forte intensidade. Nega quaisquer outros sintomas.
Diante da principal hipótese diagnóstica, qual o tratamento mais adequado para este momento?
Diante da principal hipótese diagnóstica, qual o tratamento mais adequado para este momento?
Provas
Questão presente nas seguintes provas
Qual das alternativas abaixo indica APENAS doenças, agravos ou eventos de saúde pública de notificação compulsória de acordo com a Lista Nacional de Notificação Compulsória (LNNC)?
Provas
Questão presente nas seguintes provas
MAR, sexo masculino, 88 anos, portadora de hipertensão arterial sistêmica, diabetes mellitus, doença de Alzheimer inicial acompanhada por médico de referência
de sua região da Estratégia de Saúde da Família é levada pelo SAMU para o hospital de referência após queda de escada.
Em atendimento de urgência é identificada fratura de fêmur à esquerda, procedido com cirurgia para fixação de fêmur. Paciente evolui em 14º pós-operatório com internação prolongada devido pneumonia nosocomial, culminando em sepse de foco pulmonar refratário a medidas clínicas e óbito, o qual é assistido por equipe do CTI.
Diante do hipotético caso clínico, qual médico é responsável por preencher a Declaração de Óbito?
Em atendimento de urgência é identificada fratura de fêmur à esquerda, procedido com cirurgia para fixação de fêmur. Paciente evolui em 14º pós-operatório com internação prolongada devido pneumonia nosocomial, culminando em sepse de foco pulmonar refratário a medidas clínicas e óbito, o qual é assistido por equipe do CTI.
Diante do hipotético caso clínico, qual médico é responsável por preencher a Declaração de Óbito?
Provas
Questão presente nas seguintes provas
De acordo com a Política Nacional de Atenção Básica, instituída através da Portaria nº 2.436, de 21 de setembro de 2017, são DIRETRIZES a serem operacionalizadas na Atenção Básica, EXCETO:
Provas
Questão presente nas seguintes provas
A fisioterapia respiratória baseia-se na fisiologia das vias aéreas e do parênquima
pulmonar. É um processo dinâmico, com aplicação terapêutica de intervenções
mecânicas, podendo ser empregada de modo isolado ou em associação a outras
técnicas.
Adaptado de: MACHADO, Maria da Glória R. Bases da Fisioterapia Respiratória - Terapia Intensiva e Reabilitação. Grupo GEN, 2018.
Considerando o texto apresentado, avalie as afirmações a seguir:
I. Com o objetivo de aumentar os volumes/capacidades pulmonares e melhorar a estabilidade alveolar, recomenda-se que as inspirações sejam realizadas de maneira lenta (para garantir um fluxo laminar) e profunda (para aumentar a pressão transpulmonar e a expansão pulmonar).
II. A escolha do decúbito lateral para a realização da técnica de expiração lenta total com a glote aberta em decúbito infralateral (ELTGOL) tem como finalidade obter uma melhor desinsuflação no pulmão infralateral e, com isso, a mobilização contragravitacional de secreção de vias aéreas intermediárias e periféricas.
III. As técnicas de aumento do fluxo expiratório (AFE) e tosse assistida e provocada são técnicas de expiração forçada cujos objetivos são de mobilizar, carrear e eliminar as secreções traqueobrônquicas.
IV. Quando há fraqueza dos músculos expiratórios, a tosse manualmente assistida pode ser usada como recurso terapêutico, já que reproduz, pela compressão manual na fase expiratória, o aumento de pressão intratorácica da tosse normal e contribui para a produção de um fluxo de tosse eficaz.
É CORRETO o que se afirma em:
Adaptado de: MACHADO, Maria da Glória R. Bases da Fisioterapia Respiratória - Terapia Intensiva e Reabilitação. Grupo GEN, 2018.
Considerando o texto apresentado, avalie as afirmações a seguir:
I. Com o objetivo de aumentar os volumes/capacidades pulmonares e melhorar a estabilidade alveolar, recomenda-se que as inspirações sejam realizadas de maneira lenta (para garantir um fluxo laminar) e profunda (para aumentar a pressão transpulmonar e a expansão pulmonar).
II. A escolha do decúbito lateral para a realização da técnica de expiração lenta total com a glote aberta em decúbito infralateral (ELTGOL) tem como finalidade obter uma melhor desinsuflação no pulmão infralateral e, com isso, a mobilização contragravitacional de secreção de vias aéreas intermediárias e periféricas.
III. As técnicas de aumento do fluxo expiratório (AFE) e tosse assistida e provocada são técnicas de expiração forçada cujos objetivos são de mobilizar, carrear e eliminar as secreções traqueobrônquicas.
IV. Quando há fraqueza dos músculos expiratórios, a tosse manualmente assistida pode ser usada como recurso terapêutico, já que reproduz, pela compressão manual na fase expiratória, o aumento de pressão intratorácica da tosse normal e contribui para a produção de um fluxo de tosse eficaz.
É CORRETO o que se afirma em:
Provas
Questão presente nas seguintes provas
Sobre os programas de exercícios físicos aplicados em indivíduos com insuficiência cardíaca (IC), analise as sentenças abaixo:
I. Como adaptação ao treinamento físico aeróbico, constata-se redução da atividade nervosa simpática muscular, o que proporciona melhoria do aporte de sangue à musculatura dos membros e diminuição do remodelamento cardíaco.
II. O treinamento aeróbico promove aumento do tônus parassimpático cardíaco, o que reduz a possibilidade de arritmias, devido à diminuição da frequência cardíaca de repouso e da frequência cardíaca intrínseca.
III. Devido à incapacidade de bombeamento do ventrículo esquerdo, o tipo de exercício físico predominante a ser aplicado é o exercício resistido, cujo objetivo é o de promover o ganho de força e do tônus muscular para melhorar o desempenho do paciente em suas atividades de vida diária.
É CORRETO o que se afirma em:
I. Como adaptação ao treinamento físico aeróbico, constata-se redução da atividade nervosa simpática muscular, o que proporciona melhoria do aporte de sangue à musculatura dos membros e diminuição do remodelamento cardíaco.
II. O treinamento aeróbico promove aumento do tônus parassimpático cardíaco, o que reduz a possibilidade de arritmias, devido à diminuição da frequência cardíaca de repouso e da frequência cardíaca intrínseca.
III. Devido à incapacidade de bombeamento do ventrículo esquerdo, o tipo de exercício físico predominante a ser aplicado é o exercício resistido, cujo objetivo é o de promover o ganho de força e do tônus muscular para melhorar o desempenho do paciente em suas atividades de vida diária.
É CORRETO o que se afirma em:
Provas
Questão presente nas seguintes provas
Cadernos
Caderno Container