Foram encontradas 50 questões.
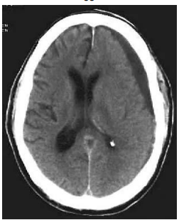
Senhor Liberato Tavares, 77 anos, comparece à emergência médica, trazido por
filho. Evoluindo nas últimas semanas com letargia e confusão mental. Portador de
hipertensão arterial sistêmica, hipotireoidismo e diabetes mellitus tipo 2, em uso
regular de medicações e acompanhamento com clínico assistente. Há relato do
filho de episódios prévios de tontura ao se levantar e TCE (traumatismo crânio
encefálico) repetidos nos últimos meses, tendo último evento conhecido de ocorrência há 30 dias. Realizada tomografia em urgência abaixo:
FONTE: https://emedicine.medscape.com/article/247472-overview?form=fpf, acesso em: jun. 2024
Baseado na história clínica e na imagem:
FONTE: https://emedicine.medscape.com/article/247472-overview?form=fpf, acesso em: jun. 2024
Baseado na história clínica e na imagem:
Provas
Questão presente nas seguintes provas
Sobre a imunização de adultos, assinale a afirmativa CORRETA:
Provas
Questão presente nas seguintes provas
A artrite reumatoide (AR) é uma doença inflamatória crônica de etiologia desconhecida, podendo causar destruição articular irreversível após estímulo possivelmente autoimune ou infeccioso. Além das manifestações articulares, a AR pode
cursar com alterações de múltiplos órgãos e reduzir a expectativa de vida. As consequências da AR são: piora da qualidade de vida, incapacidade funcional, perda
de produtividade e altos custos para a sociedade.
Considerando conhecimento sobre a doença, assinale a afirmativa CORRETA:
Considerando conhecimento sobre a doença, assinale a afirmativa CORRETA:
Provas
Questão presente nas seguintes provas
Carlos, homem de 32 anos, possui asma desde a infância, sendo referenciado
para centro especializado em doenças pulmonares. Segundo relatório anexado a
encaminhamento, ele tem sido atendido em crises de asma nos últimos 4 meses,
em média de 1 a 2 vezes ao mês, com relato de uso frequente de corticoide oral e
Salbutamol inalatório. Nas últimas 4 semanas, apresentou sintomas de asma durante o dia em torno de 2 vezes por semana, acordou à noite com sintomas de
asma 1 vez por semana e informa limitação de suas atividades habituais. Nega
tabagismo ou outras comorbidades. Trabalha como vendedor em loja de eletrônicos.
Sobre o caso clínico, considerando o manejo de asma preconizado pelo GINA 2023 (GLOBAL INITIATIVE FOR ASTHMA), assinale a alternativa contendo a conduta mais adequada para o paciente em questão:
Sobre o caso clínico, considerando o manejo de asma preconizado pelo GINA 2023 (GLOBAL INITIATIVE FOR ASTHMA), assinale a alternativa contendo a conduta mais adequada para o paciente em questão:
Provas
Questão presente nas seguintes provas
Ana Maria, mulher de 26 anos, juntamente com sua filha, Luíza, criança de 8 anos,
moradoras de comunidade são atendidas em Pronto Atendimento com relato de
diarreia líquida, explosiva, volumosa, fétida, esverdeada e com presença de restos
alimentares nos últimos 3 meses. Episódios de diarreia são recorrentes e não
acompanhados de febre. Já foram avaliados em Pronto Atendimento por diversas
vezes, sendo prescrito hidratação, sintomáticos e já tendo sido solicitados exames
eletivos, contudo, mãe alega ter perdido os pedidos de exames. A criança tem
apresentado emagrecimento, comprometimento escolar e piora de crises que se
tornam mais intensas e acompanhadas de dor abdominal ao ingerir leite.
Diante da história clínica, assinale a afirmativa CORRETA:
Diante da história clínica, assinale a afirmativa CORRETA:
Provas
Questão presente nas seguintes provas
Júlia Miranda, mulher de 32 anos, sem comorbidades conhecidas, iniciou formação
militar após aprovação em concurso em fase de treinamento intensivo. Há quatro
dias, durante atividade física coletiva, sofreu trauma corto-contuso em região de
panturrilha esquerda, com pequeno sangramento, sem atendimento médico, dada
pequena extensão de lesão, sem necessidade de sutura. Vacina antitetânica atualizada. Cinco dias após evento, observa aumento de área de hiperemia perilesional e cursa com pico febril de 37.9°C. Procurou Pronto Atendimento, sendo iniciado
Amoxicilina com Clavulanato. Após três dias do uso de antimicrobiano, cursou com
piora importante de dor e picos febris intermitentes. Ao exame observado coleção
flutuante em lesão, frequência cardíaca 111 bpm, pressão arterial: 104/62 mmHg,
temperatura axilar: 38,4ºC.
Considerando o caso clínico descrito, assinale a mais ADEQUADA.
Considerando o caso clínico descrito, assinale a mais ADEQUADA.
Provas
Questão presente nas seguintes provas
A Organização Mundial de Saúde estima que um quarto da população mundial
tenha Infecção latente pelo M. tuberculosis (ILTB). Tais indivíduos não apresentam
nenhum sintoma e não transmitem a doença, mas são reconhecidos por testes que
detectam a imunidade contra o bacilo.
Sobre a ILTB, é CORRETO afirmar:
Sobre a ILTB, é CORRETO afirmar:
Provas
Questão presente nas seguintes provas
Paciente Joaquim Felício, 47 anos, admitido em um Pronto Atendimento com
queixa de dor em flanco direito intensa no curso das últimas 6 horas. Informa que
dor tem períodos de intensificação associados a náusea e sudorese. Sabidamente
hipertenso, sem outras comorbidades. Informa etilismo social. À admissão,
FC 91bpm, SpO2 ar ambiente 98%, PA: 140X100 mmHg, abdome plano, normotimpânico, dor espontânea em flanco direito, não piorada à palpação. Realizados
exames laboratoriais com hemograma evidenciando global de leucócitos de
11.500, sem bastonemia, creatinina de 0,79 mg/dl e proteína C reativa de 7 mg/L,
além de tomografia computadorizada sem contraste onde se viu borramento de
gordura perirrenal à direita e cálculo de 6 mm em ureter proximal direito.
Mediante o quadro descrito, qual a terapia analgésica de primeira escolha e manejo subsequente?
Mediante o quadro descrito, qual a terapia analgésica de primeira escolha e manejo subsequente?
Provas
Questão presente nas seguintes provas
Paciente João Ramos, 71 anos, tabagista ativo com carga tabágica de 80 maços/ano, portador de doença pulmonar obstrutiva crônica, iniciando acompanhamento ambulatorial em centro de referência em pneumologia, encaminhado via
UBS de seu bairro. Refere necessidade de parar para respirar e recuperar o fôlego
após poucos minutos caminhando em local plano. Menciona acessos de tosse frequentes, sensação de aperto no peito e falta de disposição durante o dia. No último
ano esteve internado por 14 dias, com passagem pelo Centro de Terapia Intensiva.
Trouxe exame feitos recentemente:
- Radiografia torácica em PA e perfil: aumento dos espaços intercostais, retificação de cúpulas diafragmáticas;
- Hemograma: Hemoglobina 14,1, Hematócrito 47%, Leucócitos 8990 (Segmentados: 79%, Linfócitos 12%, Monócitos 7%, Eosinófilos 2%);
- Espirometria: VEF1: 44% pós-broncodilatador; relação VEF1/CVF: 0,49 pós-broncodilatador
Considerando a história clínica e os dados fornecidos e de acordo com o GOLD 2023 (Global Initiative for Chronic Obstructive Lung Disease), marque a alternativa que apresenta a classificação e o tratamento inicial CORRETOS para este paciente:
- Radiografia torácica em PA e perfil: aumento dos espaços intercostais, retificação de cúpulas diafragmáticas;
- Hemograma: Hemoglobina 14,1, Hematócrito 47%, Leucócitos 8990 (Segmentados: 79%, Linfócitos 12%, Monócitos 7%, Eosinófilos 2%);
- Espirometria: VEF1: 44% pós-broncodilatador; relação VEF1/CVF: 0,49 pós-broncodilatador
Considerando a história clínica e os dados fornecidos e de acordo com o GOLD 2023 (Global Initiative for Chronic Obstructive Lung Disease), marque a alternativa que apresenta a classificação e o tratamento inicial CORRETOS para este paciente:
Provas
Questão presente nas seguintes provas
Considerando o Código de Ética Médica, é CORRETO afirmar:
Provas
Questão presente nas seguintes provas
Cadernos
Caderno Container