Foram encontradas 120 questões.

A figura acima mostra um corte de tomografia computadorizada de um homem com 47 anos de idade. Considerando essa imagem e as patologias a ela associadas, julgue os seguintes itens.
A melhor fase do contraste para avaliação de lesões parenquimatosas renais é a excretora.
Provas

A figura acima mostra um corte de tomografia computadorizada de um homem com 47 anos de idade. Considerando essa imagem e as patologias a ela associadas, julgue os seguintes itens.
O exame foi realizado com contraste venoso.
Provas

A figura acima mostra um corte de tomografia computadorizada de um homem com 47 anos de idade. Considerando essa imagem e as patologias a ela associadas, julgue os seguintes itens.
No rim esquerdo, há um cisto cortical com comportamento exofítico.
Provas

A figura acima mostra um corte de tomografia computadorizada de um homem com 47 anos de idade. Considerando essa imagem e as patologias a ela associadas, julgue os seguintes itens.
São visíveis adenomegalias para aórticas.
Provas

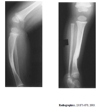
As radiografias acima são de um paciente do sexo feminino com um ano de idade. Com base nessas radiografias, é correto afirmar que
a porção identificada do fêmur tem aspecto normal.
Provas

As radiografias acima são de um paciente do sexo feminino com um ano de idade. Com base nessas radiografias, é correto afirmar que
as imagens revelam esclerose cortical no terço inferior da tíbia.
Provas

As radiografias acima são de um paciente do sexo feminino com um ano de idade. Com base nessas radiografias, é correto afirmar que
o raquitismo pode apresentar alterações semelhantes.
Provas

As radiografias acima são de um paciente do sexo feminino com um ano de idade. Com base nessas radiografias, é correto afirmar que
o principal diagnóstico é tibia vara (doença de Blount).
Provas

As radiografias acima são de um paciente do sexo feminino com um ano de idade. Com base nessas radiografias, é correto afirmar que
esse quadro radiológico pode ser justicado por neurofibromatose.
Provas

As radiografias acima são de um paciente do sexo feminino com um ano de idade. Com base nessas radiografias, é correto afirmar que
o paciente não possui a patela.
Provas
Caderno Container