Magna Concursos

Foram encontradas 120 questões.

542722 Ano: 2004
Disciplina: Medicina
Banca: CESPE / CEBRASPE
Orgão: Pref. Aracaju-SE
Provas:

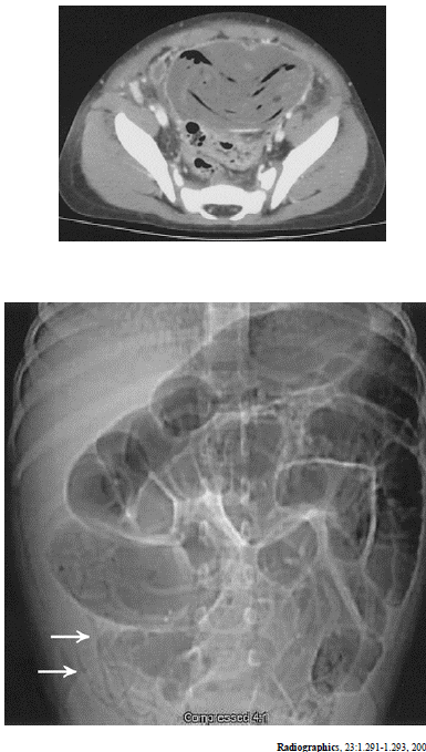
Enunciado 542722-1

As imagens acima são de um mesmo paciente. Considerando essa imagens e os achados por elas revelados, julgue os itens subseqüentes.

O músculo ilíaco direito apresenta aspecto normal, sem evidências de abscesso.

 

Provas

Questão presente nas seguintes provas
542721 Ano: 2004
Disciplina: Medicina
Banca: CESPE / CEBRASPE
Orgão: Pref. Aracaju-SE
Provas:

Enunciado 542721-1

As imagens acima são de um mesmo paciente. Considerando essa imagens e os achados por elas revelados, julgue os itens subseqüentes.

Existe grande dilatação do cólon sigmóide.

 

Provas

Questão presente nas seguintes provas
542720 Ano: 2004
Disciplina: Medicina
Banca: CESPE / CEBRASPE
Orgão: Pref. Aracaju-SE
Provas:

Enunciado 542720-1

As imagens acima são de um mesmo paciente. Considerando essa imagens e os achados por elas revelados, julgue os itens subseqüentes.

As setas indicam a presença de parasitas.

 

Provas

Questão presente nas seguintes provas
542719 Ano: 2004
Disciplina: Medicina
Banca: CESPE / CEBRASPE
Orgão: Pref. Aracaju-SE
Provas:

Enunciado 542719-1

As imagens acima são de um mesmo paciente. Considerando essa imagens e os achados por elas revelados, julgue os itens subseqüentes.

Há um grande abscesso pélvico.

 

Provas

Questão presente nas seguintes provas
542718 Ano: 2004
Disciplina: Medicina
Banca: CESPE / CEBRASPE
Orgão: Pref. Aracaju-SE
Provas:

Enunciado 542718-1

As imagens acima são de um mesmo paciente. Considerando essa imagens e os achados por elas revelados, julgue os itens subseqüentes.

Há sinais de semioclusão intestinal.

 

Provas

Questão presente nas seguintes provas
542717 Ano: 2004
Disciplina: Medicina
Banca: CESPE / CEBRASPE
Orgão: Pref. Aracaju-SE
Provas:

Enunciado 542717-1

As imagens acima são de um mesmo paciente. Considerando essa imagens e os achados por elas revelados, julgue os itens subseqüentes.

A tomografia foi realizada sem contraste venoso.

 

Provas

Questão presente nas seguintes provas
542716 Ano: 2004
Disciplina: Medicina
Banca: CESPE / CEBRASPE
Orgão: Pref. Aracaju-SE
Provas:

Enunciado 542716-1

A imagem acima é de uma paciente de 65 anos de idade, com hemiplegia direita há cinco horas. Com base nessa imagem, é correto afirmar que

a fissura de Sílvio esquerda está apagada.

 

Provas

Questão presente nas seguintes provas
542715 Ano: 2004
Disciplina: Medicina
Banca: CESPE / CEBRASPE
Orgão: Pref. Aracaju-SE
Provas:

Enunciado 542715-1

A imagem acima é de uma paciente de 65 anos de idade, com hemiplegia direita há cinco horas. Com base nessa imagem, é correto afirmar que

a lesão está no território da artéria cerebral principal esquerda.

 

Provas

Questão presente nas seguintes provas
542714 Ano: 2004
Disciplina: Medicina
Banca: CESPE / CEBRASPE
Orgão: Pref. Aracaju-SE
Provas:

Enunciado 542714-1

A imagem acima é de uma paciente de 65 anos de idade, com hemiplegia direita há cinco horas. Com base nessa imagem, é correto afirmar que

a flexa branca longa mostra o núcleo lenticular, levemente hipodenso.

 

Provas

Questão presente nas seguintes provas
542713 Ano: 2004
Disciplina: Medicina
Banca: CESPE / CEBRASPE
Orgão: Pref. Aracaju-SE
Provas:

Enunciado 542713-1

A imagem acima é de uma paciente de 65 anos de idade, com hemiplegia direita há cinco horas. Com base nessa imagem, é correto afirmar que

a flexa branca curta mostra a insula.

 

Provas

Questão presente nas seguintes provas