Foram encontradas 1.138 questões.
Sobre as alterações do Interstício Pulmonar, , significa presença de fibrose pulmonar, ou seja, estádio final de uma doença crônica. Seu aspecto de imagem é caracterizado por opacidades mistas reticulares e císticas periféricas.
Assinale a alternativa que preenche, corretamente, a lacuna do texto:
Provas
Na doença fibrótica do pulmão:
I – O espessamento da membrana alveolar reduz a velocidade da difusão gasosa.
II – A destruição dos alvéolos reduz a área de superfície de troca gasosa.
III – A perda da complacência pulmonar pode diminuir a ventilação alveolar.
Está correto o que se afirma em:
Provas
Considere a alternativa que descreve, corretamente, o sinal radiológico, mais comum, sugestivo de tuberculose pulmonar:
Provas
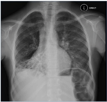
Considere a imagem radiológica abaixo:

http://www.residenciapediatrica.com.br/detalhes/285/leituras-de-radiografias-de-torax-em-criancas-suspeitas-de-possuir-tuberculose-pulmonar
A imagem acima, demonstra, perda de volume do lobo médio e inferior direito, com anéis de sinete típicos visíveis na região pulmonar afetada, altamente, sugestivo de:
Provas
A sintomatologia especial associada à Doença de Chagas Congênita é:
Provas
Para uma criança de 2 meses, que apresente diarreia com sangue, as condutas iniciais são:
I - Aconselhar a mãe que continue dando o peito, se possível.
II - Administrar uma dose de 1 mg de vitamina K por via intramuscular.
III - Administrar a primeira dose dos antibióticos recomendados via parenteral.
Está correto o que se afirma em:
Provas
A Leucemia Linfoide Aguda - LLA Burkitt-Like é descrita como subtipo:
Provas
É caracterizado por uma velocidade acelerada no crescimento, que ocorre após um período de crescimento lento ou ausente, o que permite que crianças pré-termo que apresentam peso, comprimento e perímetro cefálico abaixo do percentil mínimo de normalidade nas curvas de crescimento pós-natal consigam equiparar o seu crescimento ao de lactentes a termo nos primeiros anos de vida. Trata-se do crescimento:
Provas
Sobre os aspectos do desenvolvimento da criança, responda verdadeiro (V) ou falso (F) e assinale a alternativa que traz a sequência correta:
( ) Aos 15 dias de vida, observa-se rotação da cabeça para um lado, com consequente extensão do membro superior e inferior do lado facial e flexão dos membros contralaterais. A atividade é realizada bilateralmente e deve ser simétrica. Desaparece até o 3º mês.
( ) Entre 3 e 4 meses observa-se o sorriso social.
( ) A partir do 9º mês o bebê senta-se sem apoio.
Provas
O bebê reconhece-se no espelho e começa a brincar de faz de conta, atividade que deve ser estimulada, pois auxilia no desenvolvimento cognitivo e emocional, ajudando a criança a lidar com ansiedades e conflitos e a elaborar regras sociais. Observa-se essa reação a partir dos:
Provas
Caderno Container