Foram encontradas 1.138 questões.
São broncodilatadores β2-agonistas, de ação prolongada:
Provas
Na década de 1950, quando a cirurgia cardíaca iniciava-se como perspectiva real de tratamento dos defeitos cardíacos congênitos, Donald Heath e Jesse Edwards propuseram um sistema de classificação qualitativa das lesões morfológicas de hipertensão pulmonar. Por essa classificação, a presença de lesões plexiformes indica grau:
Provas
A infecção primária da TB pulmonar inicia quando gotículas contendo bacilos provenientes de doentes infecciosos são inaladas pelo indivíduo sadio. Geralmente, menos de 10% dessas gotículas atingem os alvéolos ou bronquíolos e são englobadas, inespecificamente, pelos:
Provas
A principal fonte de infecção da tuberculose (TB) é o indivíduo com a forma pulmonar da doença, que elimina bacilos para o exterior. Estima-se que a pessoa que apresenta esse quadro pode infectar de:
Provas
A membrana respiratória tem na sua constituição, o endotélio capilar, uma camada unicelular de células endoteliais e a sua membrana basal que a separa da membrana basal do epitélio alveolar pelo espaço intersticial, a camada epitelial de revestimento do alvéolo que é revestida por uma outra camada líquida que contém:
Provas
A capacidade residual funcional é a quantidade de ar que permanece nos pulmões ao final de uma expiração normal. Equivale a cerca de 2.300 ml e corresponde à soma do:
Provas
O líquido pleural pode manter-se encapsulado na cissura horizontal ou oblíqua, formando uma imagem compatível com uma massa na projeção em PA, mas, em geral, com conformação elíptica na projeção lateral na forma atípica de derrame pleural, denominado:
Provas
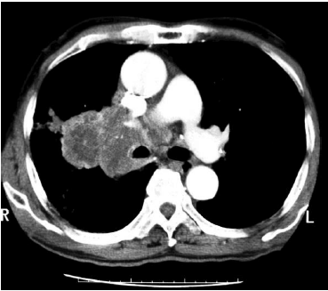
Considere a imagem que segue:

Fonte: http://rle.dainf.ct.utfpr.edu.br/hipermidia/images/documentos/Patologias_toracicas_achados_de_imagem.pdf
A figura acima representa um exame por tomografia computadorizada (janela para mediastino) demonstrando um carcinoma broncogênico. O exame indicou a lesão como inoperável devido à invasão da:
Provas
Leia:
“Nos de derrames de maior volume, pode ser notado abaulamento do hemitórax acometido e de seus espaços intercostais, que inicialmente perdem suas concavidades habituais, podendo passar a apresentar convexidade.”
O pneumologista identifica os sinais e sintomas apresentados, no trecho acima, por meio do método propedêutico da:
Provas
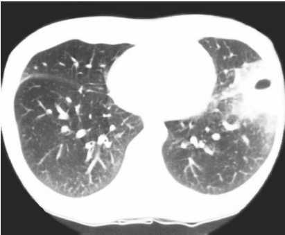
Considere a imagem, a seguir:

Fonte: http://rle.dainf.ct.utfpr.edu.br/hipermidia/images/documentos/Patologias_toracicas_achados_de_imagem.pdf
A figura, acima, representa um exame por tomografia computadorizada demonstrando consolidação do espaço aéreo com lesão escavada de permeio em língula, o que indica:
Provas
Caderno Container