Foram encontradas 1.120 questões.
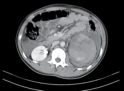
Paciente, vítima de acidente de moto, atendido pelo SAMU, chegou ao pronto-socorro de hospital terciário, consciente, queixando-se de dor na região lombar e flanco esquerdo. Tinha recebido previamente 1 000 mL de Ringer-lactato. Ao exame, mucosas pouco descoradas, sem cianose, PA: 130/80 mm/Hg, FC: 96/min., rítmico. Abdome não distendido, doloroso no flanco e região lombar esquerda com hematoma superficial e escoriações no local. A sondagem vesical realizada sem dificuldades apresentou 150 mL de urina “concentrada”. Permaneceu em observação e, devido às condições hemodinâmicas estáveis foi submetido à tomografia computorizada abdominal.

Diante da imagem apresentada e do contexto anterior, pode- se afirmar que se trata de:
Provas
Mulher de 40 anos, vítima de queimadura por álcool, chegou ao hospital com flictenas e lesões translúcidas na face, couro cabeludo, pescoço, tronco anterior em toda extensão, tronco posterior em 50%, membros superiores em toda extensão e região genital. A estimativa da área lesada, a classificação em graus das lesões e a reposição volêmica pela fórmula de Parkland implicam:
Provas
Paciente de 67 anos, hipertenso, fumante e diabético foi operado de hérnia inguinal, segundo técnica de Lichtenstein, com bloqueio anestésico. No segundo dia de pós-operatório, apresentou febre e sensação de calafrios. Temperatura aferida de 38,5 ºC. Incisão sem secreção, dolorosa, pouco tumefeita e com discreto hematoma local. Escroto pouco doloroso e não edemaciado. Refere estar urinando sem dificuldade. Não foi usado antibiótico devido à cirurgia ser classificada como limpa. Suspeita-se de
Provas
O quadro apresentado a seguir deverá ser considerado para responder às questões de números 35 e 36.
Paciente de 72 anos, com antecedentes de hipertensão arterial, em tratamento médico com vasartana, hidroclorotiazida e ácido acetil salicílico infantil, deu entrada no P.S com quadro de dor abdominal aguda, de localização difusa, mal caracterizado e acompanhado de náuseas. Negava epigastralgia, diabetes e cirurgia abdominal pregressa. Ao exame físico, apresentava “fácies dolorosa”, taquipneia, PA: 130/110 mm/Hg e arritmia cardíaca com frequência de 124/min. O abdome estava difusamente doloroso, distendido +/4 e a ausculta com presença de ruídos hidroaéreos escassos e ausência de sopros. Ausência de hérnia inguinal e descompressão brusca questionável. A radiografia simples de abdome em três posições não evidenciava pneumoperitôneo e apresentava gases no estômago, delgado e reto. Hemograma com 18 000 leucócitos e sem desvio à esquerda. Ureia de 76 mg/dL e creatinina, 1,5 mg/dL. A dosagem da amilase foi de 298U/L.
Considerando esse quadro clínico, assinale a alternativa que contém a conduta correta.
Provas
O quadro apresentado a seguir deverá ser considerado para responder às questões de números 35 e 36.
Paciente de 72 anos, com antecedentes de hipertensão arterial, em tratamento médico com vasartana, hidroclorotiazida e ácido acetil salicílico infantil, deu entrada no P.S com quadro de dor abdominal aguda, de localização difusa, mal caracterizado e acompanhado de náuseas. Negava epigastralgia, diabetes e cirurgia abdominal pregressa. Ao exame físico, apresentava “fácies dolorosa”, taquipneia, PA: 130/110 mm/Hg e arritmia cardíaca com frequência de 124/min. O abdome estava difusamente doloroso, distendido +/4 e a ausculta com presença de ruídos hidroaéreos escassos e ausência de sopros. Ausência de hérnia inguinal e descompressão brusca questionável. A radiografia simples de abdome em três posições não evidenciava pneumoperitôneo e apresentava gases no estômago, delgado e reto. Hemograma com 18 000 leucócitos e sem desvio à esquerda. Ureia de 76 mg/dL e creatinina, 1,5 mg/dL. A dosagem da amilase foi de 298U/L.
O quadro descrito é sugestivo de
Provas
Mulher de 56 anos foi submetida à laparotomia exploradora devido a quadro de obstrução intestinal de delgado associado à presença de aerobilia na radiografia simples de abdome. O diagnóstico intraoperatório é de bloqueio na região sub-hepática e cálculo impactado no íleo terminal sem sofrimento intestinal. A conduta intraoperatória cirúrgica deve ser:
Provas
A dosagem urinária do ácido 5-hidroxi-indolacético (5-HIAA) de 25mg/24 horas (normal de 2.0mg a 8.0mg/24 horas) está associada ao seguinte diagnóstico:
Provas
A sonda ou balão de Fogarty é utilizado no seguinte procedimento cirúrgico:
Provas
Na suspeita de atresia do esôfago do “neonato”, assinale a proposição indevida quanto à abordagem do problema.
Provas
A condição anatomopatológica da apendicite, cujo tratamento não é cirúrgico de imediato, é apendicite
Provas
Caderno Container