Foram encontradas 1.120 questões.
Leia o enunciado a seguir e responda às questões de números 09 e 10.
Paciente do sexo masculino, 67 anos de idade, com antecedentes de hipertensão arterial sistêmica, dislipidemia e neoplasia de próstata, submetido a tratamento cirúrgico com prostatectomia radical há 4 anos. Há cerca de 2 dias, relatou início de dor torácica ventilatório-dependente, tosse seca e dispneia limitante em repouso, associada a sudorese e mal-estar. Refere intensificação dos sintomas nas últimas horas, motivando sua procura pelo atendimento médico. O exame físico da admissão mostra o paciente em regular estado geral, taquidispneico em ar ambiente, queixando-se de dor em região retroesternal e base de ambos os pulmões, sudoreico e com extremidades frias, com SO2 = 84%, FR = 36 ipm, PA 80x40 mmHg, FC = 108 bpm. Ausculta cardíaca evidencia apenas ritmo regular taquicárdico. Ausculta pulmonar sem ruídos adventícios. Os exames laboratoriais evidenciaram: Hb = 10,9 g/dL, Ht = 29%, leucócitos = 8 200, plaquetas = 190 mil, ureia = 32 mg/dL, creatinina = 1,01 mg/dL, troponina I = 2,80 ng/dL (VN < 0,16), CKMB = 4,8 mg/dL (VN < 5,0), INR = 1,0, relação de tempos do TTPA = 1,10.
Foram solicitados eletrocardiograma de repouso e tomografia computadorizada de tórax, que se encontram ilustrados a seguir.

Em relação aos achados eletrocardiográficos do caso em questão, é correto afirmar que
Provas
Paciente do sexo masculino, 38 anos, pedreiro, morador da favela do Moinho, em São Paulo, apresenta história de tosse há dois meses, ora seca, ora com expectoração clara. Associado ao quadro de tosse, apresenta emagrecimento de cerca de 5 kg no período. O exame físico não evidencia anormalidades e o paciente encontra-se eupneico em ar ambiente.
O exame que deverá ser solicitado, tendo em vista a melhor relação custo-efetividade para solução do caso em questão, é:
Provas
Um paciente de 28 anos de idade, com antecedente de asma brônquica, é atendido em pronto-atendimento em crise de broncoespasmo agudo.
Assinale a alternativa correta.
Provas
Paciente do sexo masculino, branco, 50 anos, sem antecedentes mórbidos; em avaliação clínica, constata-se PA = 170x110 mmHg, sem outras anormalidades detectadas no exame físico. Foram realizadas medidas em condições adequadas, em três consultas diferentes. O paciente é assintomático do ponto de vista cardiovascular e nunca fez uso de medicamentos.
A abordagem ideal será
Provas
Leia o enunciado a seguir e responda às questões de números 04 e 05.
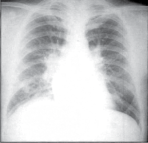
Paciente do sexo feminino, 39 anos, asmática, tem antecedente de valvopatia mitral reumática e estava assintomática até aproximadamente há 1 mês, quando passou a apresentar sintomas de dispneia em repouso e sensação de palpitação taquicárdica arrítmica. Procura atendimento médico por conta do cansaço intenso e o exame físico evidencia: taquidispneia em repouso, FC=pulso=120 bpm, PA = 120x80 mmHg, estertores crepitantes em 1/2 inferior de ambos os pulmões, associados a sibilos expiratórios, bulhas arrítmicas em 2 tempos, com sopro diastólico em foco mitral (ausculta dificultada pela alta frequência cardíaca). A radiografia de tórax e o eletrocardiograma dessa paciente encontram-se ilustrados a seguir.


O mecanismo fisiopatológico que melhor explica a descompensação clínica dessa paciente é
Provas
Leia o enunciado a seguir e responda às questões de números 04 e 05.
Paciente do sexo feminino, 39 anos, asmática, tem antecedente de valvopatia mitral reumática e estava assintomática até aproximadamente há 1 mês, quando passou a apresentar sintomas de dispneia em repouso e sensação de palpitação taquicárdica arrítmica. Procura atendimento médico por conta do cansaço intenso e o exame físico evidencia: taquidispneia em repouso, FC=pulso=120 bpm, PA = 120x80 mmHg, estertores crepitantes em 1/2 inferior de ambos os pulmões, associados a sibilos expiratórios, bulhas arrítmicas em 2 tempos, com sopro diastólico em foco mitral (ausculta dificultada pela alta frequência cardíaca). A radiografia de tórax e o eletrocardiograma dessa paciente encontram-se ilustrados a seguir.


A melhor abordagem terapêutica inicial consiste em administrar
Provas
Leia o enunciado a seguir e responda às questões de números 01 a 03.
Paciente do sexo masculino, 52 anos, antecedentes de hipertensão arterial sistêmica, em tratamento com amlodipina 5 mg, e de tabagismo, procura atendimento médico com queixa de desconforto retroesternal tipo “pressão”, iniciado após grandes esforços há cerca de 2 meses. Refere que há 1 mês notou que o sintoma passou a ocorrer após refeições e tensão emocional. Há cerca de 24 horas apresenta o mesmo desconforto, em repouso, com duração de cerca de 20 minutos, intermitente e reentrante, associado a dispneia, náuseas e sudorese fria. No momento de sua chegada, encontra-se em bom estado geral, assintomático, PA = 140 x 90 mmHg, FC = pulso = 82 bpm, FR = 12 ipm, exame físico normal. Realizado ECG de repouso, que se encontra ilustrado a seguir. Os exames laboratoriais colhidos à admissão foram normais, com exceção da troponina I que foi igual a 1,35 ng/mL (valor normal < 0,16 ng/mL).

Em relação à investigação diagnóstica complementar, é correto afirmar que
Provas
Leia o enunciado a seguir e responda às questões de números 01 a 03.
Paciente do sexo masculino, 52 anos, antecedentes de hipertensão arterial sistêmica, em tratamento com amlodipina 5 mg, e de tabagismo, procura atendimento médico com queixa de desconforto retroesternal tipo “pressão”, iniciado após grandes esforços há cerca de 2 meses. Refere que há 1 mês notou que o sintoma passou a ocorrer após refeições e tensão emocional. Há cerca de 24 horas apresenta o mesmo desconforto, em repouso, com duração de cerca de 20 minutos, intermitente e reentrante, associado a dispneia, náuseas e sudorese fria. No momento de sua chegada, encontra-se em bom estado geral, assintomático, PA = 140 x 90 mmHg, FC = pulso = 82 bpm, FR = 12 ipm, exame físico normal. Realizado ECG de repouso, que se encontra ilustrado a seguir. Os exames laboratoriais colhidos à admissão foram normais, com exceção da troponina I que foi igual a 1,35 ng/mL (valor normal < 0,16 ng/mL).

A terapêutica inicial apropriada ao caso em questão deverá incluir
Provas
Leia o enunciado a seguir e responda às questões de números 01 a 03.
Paciente do sexo masculino, 52 anos, antecedentes de hipertensão arterial sistêmica, em tratamento com amlodipina 5 mg, e de tabagismo, procura atendimento médico com queixa de desconforto retroesternal tipo “pressão”, iniciado após grandes esforços há cerca de 2 meses. Refere que há 1 mês notou que o sintoma passou a ocorrer após refeições e tensão emocional. Há cerca de 24 horas apresenta o mesmo desconforto, em repouso, com duração de cerca de 20 minutos, intermitente e reentrante, associado a dispneia, náuseas e sudorese fria. No momento de sua chegada, encontra-se em bom estado geral, assintomático, PA = 140 x 90 mmHg, FC = pulso = 82 bpm, FR = 12 ipm, exame físico normal. Realizado ECG de repouso, que se encontra ilustrado a seguir. Os exames laboratoriais colhidos à admissão foram normais, com exceção da troponina I que foi igual a 1,35 ng/mL (valor normal < 0,16 ng/mL).

É correto afirmar, em relação à fisiopatologia do quadro apresentado, que
Provas
A célula mais importante no processo de reparação tecidual da pele é o
Provas
Caderno Container