Magna Concursos

Foram encontradas 660 questões.

2667442 Ano: 2022
Disciplina: Medicina
Banca: FGV
Orgão: PM-SP

Os critérios para a inaptidão de candidatos a doadores de sangue são definidos em normas e portarias federais. A respeito desses critérios, analise as afirmativas a seguir.

I. Homens trans não podem ser aceitos para a doação de sangue.

II. Homens que tiveram relação sexual com outro(s) homem (ns) ficam inaptos para a doação por um período de três meses após a última relação sexual deste tipo.

III. Pessoas que fazem uso de cocaína intranasal ficam inaptos para a doação por um período de 12 meses, a contar da data do último uso da droga.

Está correto o que se afirma em

 

Provas

Questão presente nas seguintes provas
2667441 Ano: 2022
Disciplina: Medicina
Banca: FGV
Orgão: PM-SP

Um paciente portador de hemofilia A grave, 30 anos de idade, e 80 kg de peso, faz apenas tratamento de demanda, com fator VIII recombinante, sofreu um acidente automobilístico que resultou em fratura da bacia. A fratura precisará ser abordada cirurgicamente.

Assinale a opção que reflete a orientação do Ministério da Saúde para a reposição de fator VIII no pré-operatório imediato e nos 3 primeiros dias de pós-operatório.

 

Provas

Questão presente nas seguintes provas
2667440 Ano: 2022
Disciplina: Medicina
Banca: FGV
Orgão: PM-SP

Um paciente de 36 anos que apresentou trombose venosa profunda na perna, com embolia pulmonar, começou a receber, diariamente, anticoagulante de ação direta (Dabigratana). Após três meses de uso do medicamento, o paciente teve uma hemorragia digestiva de grande vulto, requerendo transfusão maciça.

Escolha, dentre as opções listadas a seguir, aquela que contém o antídoto para reversão imediata da anticoagulação desse paciente.

 

Provas

Questão presente nas seguintes provas
2667439 Ano: 2022
Disciplina: Medicina
Banca: FGV
Orgão: PM-SP

Relacione as características da Doença de von Willebrand ao respectivo tipo da doença.

1. Teor de fator de von Willebrand: antígeno muito baixo ou ausente e teor de fator VIII <5%.
2. Teor de fator de von Willebrand: antígeno normal e teor de cofator de ristocetina muito baixo.
3. Teor de fator de von Willebrand: antígeno e de cofator de ristocetina baixos.
4. Teor de cofator de ristocetina baixo e agregação plaquetária com ristocetina aumentada.
( ) Tipo 3
( ) Tipo 2B
( ) Tipo 2A
( ) Tipo 1

Assinale a opção que mostra a relação correta, na ordem apresentada.

 

Provas

Questão presente nas seguintes provas
2667438 Ano: 2022
Disciplina: Medicina
Banca: FGV
Orgão: PM-SP

Em relação à transfusão profilática de plaquetas no pré-operatório imediato de pacientes portadores de anemia aplástica, que serão submetidos à cirurgia para correção de deslocamento de retina, assinale a afirmativa correta.

 

Provas

Questão presente nas seguintes provas
2667437 Ano: 2022
Disciplina: Medicina
Banca: FGV
Orgão: PM-SP

Assinale a opção que corresponde ao tratamento da hemoglobinúria paroxística noturna (HPN).

 

Provas

Questão presente nas seguintes provas
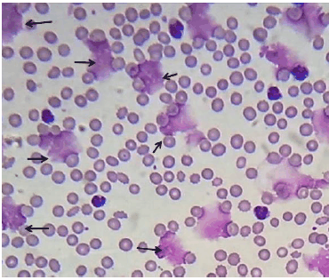
2667436 Ano: 2022
Disciplina: Medicina
Banca: FGV
Orgão: PM-SP

Observe atentamente o esfregaço sanguíneo a seguir.

Enunciado 3137088-1

Assinale a opção que corresponde aos artefatos assinalados pelas setas.

 

Provas

Questão presente nas seguintes provas
2667435 Ano: 2022
Disciplina: Medicina
Banca: FGV
Orgão: PM-SP

Em relação aos efeitos colaterais da terapia com imunoglobulina poliesespecífica intravenosa, relacione a reação adversa ao tipo de medida que pode prevenir o efeito adverso.

1. Meningite asséptica

2. Insuficiência renal aguda

3. Hemólise

4. Trombose

( ) Altas doses

( ) Teor excessivo de fator XI no produto

( ) Uso de imunoglobulinas contendo açúcar na sua formulação

( ) Teor excessivo de aglutininas anti-A e anti-B no produto

Assinale a opção que apresenta a relação correta, na ordem apresentada.

 

Provas

Questão presente nas seguintes provas
2667434 Ano: 2022
Disciplina: Medicina
Banca: FGV
Orgão: PM-SP

Após trauma abdominal fechado, um paciente dá entrada no Pronto Socorro com hemorragia maciça.

A ressuscitação hemoterápica foi imediatamente iniciada, com um pack composto por um concentrado de hemácias, um plasma fresco congelado e um concentrado de plaquetas. Após a transfusão de 6 packs, o paciente continua com sangramento importante e instabilidade hemodinâmica.

Foi realizada uma tromboelastografia, cujos resultados são mostrados na figura a seguir.

Enunciado 3137086-1

Com base nesse resultado, assinale a opção que apresenta a conduta imediata a ser adotada.

 

Provas

Questão presente nas seguintes provas
2667433 Ano: 2022
Disciplina: Medicina
Banca: FGV
Orgão: PM-SP

Em relação aos transplantes autólogos de medula óssea para pacientes com mieloma múltiplo, no que se refere à dose mínima ideal de células-tronco hematopoiéticas CD34+ a serem infundidas, assinale a afirmativa correta.

 

Provas

Questão presente nas seguintes provas