Foram encontradas 2.275 questões.
Protrusão do intestino em direção ao cordão umbilical, formando uma herniação fisiológica. De grande importância, pois é responsável pela rotação de 90° no sentido anti-horário que determina a correta topografia do estômago.

Baseado nas imagens disponibilizadas, quando ocorre a rotação adicional completando a rotação da porção medial do intestino?
Provas
Paciente do sexo feminino com dor importante e incapacitante no baixo ventre de início súbito. Realizou exame ultrassonográfico que demonstrou:

Baseado nas imagens disponibilizadas, qual o seu diagnóstico?
Provas
Paciente do sexo masculino, 35 anos, praticante de vôlei de praia.

Baseado nas imagens disponibilizadas, qual o seu diagnóstico?
Provas
A cardiopatia congênita pode ser diagnosticada na idade adulta e em alguns casos pode estar associada a shunts direito-esquerda (Eisenmenger). No entanto, é necessário investir no diagnóstico precoce para que se consiga êxito na correção quando o shunt ainda é esquerdo-direita.
Qual o tipo de comunicação cavitária de difícil diagnóstico pelo ecocardiograma transtorácico e que a tomografia multislice ou a ressonância magnética podem auxiliar no diagnóstico precoce?
Provas
Paciente do sexo feminino, 55 anos, com cianose perilabial e baqueteamento dos dedos realizou estudo com esôfago contrastado para avaliação de disfagia e compressão esofágica.

Baseado nas imagens disponibilizadas, qual o seu diagnóstico?
Provas
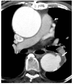
Paciente do sexo masculino, 68 anos, com quadro de cansaço e dispneia importantes realizou exames de tórax no serviço de imagem.

Baseado nas imagens disponibilizadas, qual o seu diagnóstico e qual a prótese valvar identificada?
Provas
Paciente do sexo feminino, 32 anos, em uso de anticoncepcional com baixa dose hormonal deu entrada no serviço de imagem para realização de tomografia computadorizada do tórax devido à discreta dor torácica na base direita que piorava a ventilação. Na tomografia de tórax foi achada a imagem de consolidação em contato com a pleura associada a discreto derrame pleural em correspondência.

Baseado nas imagens disponibilizadas, qual a sua conduta como radiologista e o seu diagnóstico?
Provas
Paciente do sexo feminino, 21 anos, chegou ao serviço de imagem para realização de exame não sabendo descrever ao certo o que estava acontecendo. Sabemos pelas descrições médicas que a paciente já foi atendida por um oftalmologista e por um ortopedista.

Baseado nas imagens disponibilizadas, qual o seu diagnóstico?
Provas
Paciente masculino, com doença aterosclerótica sabida associada a aneurisma da aorta ascendente dá entrada na emergência com dor torácica importante e interescapular.

Baseado na imagem disponibilizada, qual o seu diagnóstico?
Provas
Paciente de 55 anos, do sexo feminino, que apresentava episódios de palpitações e dispneia associados a sinais de insuficiência cardíaca direita. A ausculta cardíaca demonstrava um sopro protodiastólico sugerindo obstrução ao fluxo tricúspide. A radiografia simples do tórax em PA e perfil mostrou aumento das cavidades cardíacas direitas.

Baseado nas imagens disponibilizadas, qual o seu diagnóstico?
Provas
Caderno Container