Foram encontradas 2.275 questões.
A duplicação ureteropélvica completa pode ser relacionada à regra de Weigert-Meyer.

Correlacionando com a imagem disponibilizada, marque a relação verdadeira.
Provas
Paciente de 32 anos, do sexo masculino, praticante de natação, corrida e ciclismo, com dor em ambas as pernas há 3 semanas.

Baseado na imagem disponibilizada, qual o seu diagnóstico?
Provas
A presença de fragmentos osteocondrais (corpos livres) de base sinovial com baixo sinal na ponderação em T2, como representado na figura disponibilizada, refere-se a um diagnóstico.

Baseado na imagem disponibilizada, qual o seu diagnóstico?
Provas
Baseado na imagem disponibilizada, devemos, além dos achados, buscar a coexistência de lipoma, hidromielia, lipomielomeningocele, escoliose e hipertricose.
Qual o seu diagnóstico?

Provas
Criança levada a emergência por trauma na tíbia em jogo de futebol.

Baseado na imagem disponibilizada, qual o seu diagnóstico?
Provas
Paciente de 45 anos, feminina, com fraqueza muscular, perda de apetite, fadiga, formigamentos, constipação e dor abdominal. Relata estar em uma fase difícil da vida e muito estressada, o que está promovendo dificuldade de concentração e confusão mental.

Baseado na imagem disponibilizada, qual o seu diagnóstico?
Provas
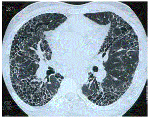
Dilatação da via aérea distal, com bronquiolectasias e bronquiolomucoceles, é a tradução de um padrão identifcado pela alta resolução no tórax.

Baseado na imagem disponibilizada, qual o seu diagnóstico?
Provas
Cistos pulmonares podem ter diversas formas de apresentação, além de poderem aparecer de forma isolada ou um conjunto.

Baseado na imagem disponibilizada, qual o seu diagnóstico?
Provas
Num US transfontanela, a imagem de hemorragia aguda da matriz germinal no recém-nascido é de lesão
Provas
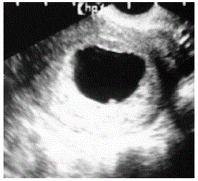
A definição de aborto é expulsão prematura do útero de produtos embrionários da concepção ou de um feto inviável.
Paciente GII PI com 15 semanas de acompanhamento.

Baseado na imagem disponibilizada, qual o seu diagnóstico?
Provas
Caderno Container