Magna Concursos

Foram encontradas 270 questões.

2532325 Ano: 2016
Disciplina: Fisioterapia
Banca: FADESP
Orgão: PM-PA
A ventilação mecânica não invasiva (VNI) refere-se à pressão positiva ofertada para o sistema respiratório através de interfaces nasais, faciais ou totais. Tem como objetivo reduzir o trabalho respiratório, melhorar a troca gasosa e evitar a necessidade de intubação. Porém, existem contraindicações absolutas, como
 

Provas

Questão presente nas seguintes provas
2532324 Ano: 2016
Disciplina: Fisioterapia
Banca: FADESP
Orgão: PM-PA
Classifique a gasometria arterial abaixo:
pH = 7,31; PaO2 = 65mmHg; ; PaCO2 = 49mmHg; SatO2 = 88%; HCO3- = 16 mmol/L e BE = - 4
Trata-se de
 

Provas

Questão presente nas seguintes provas
2532323 Ano: 2016
Disciplina: Odontologia
Banca: FADESP
Orgão: PM-PA
Um paciente chega à clínica odontológica queixando-se de um dente que radiograficamente apresenta cárie profunda e espessamento da lâmina dura. Clinicamente, responde aos testes de vitalidade pulpar e apresenta dor espontânea e intermitente. A terapia a ser empregada nesta situação é
 

Provas

Questão presente nas seguintes provas
2532322 Ano: 2016
Disciplina: Odontologia
Banca: FADESP
Orgão: PM-PA
Os analgésicos e anti-inflamatórios não esteroides derivados pirazolônicos possuem efeito analgésico, anti-inflamatório e antipirético. No entanto, um deles apresenta apenas ação analgésica e antipirética e não depende da ação da COX, que é a(o)
 

Provas

Questão presente nas seguintes provas
2532321 Ano: 2016
Disciplina: Odontologia
Banca: FADESP
Orgão: PM-PA
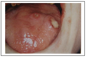
Enunciado 3286664-1
(Fonte: Universidade de Aveiro- www.sapo.pt)
Paciente apresenta várias úlceras sem halo inflamatório no dorso da língua, recobertas por pseudomembrana esbranquiçada devido a infecção secundária por Cândida. Relata o uso de medicamentos antibióticos à base de cloranfenicol e ácido acetilsalisílico há algum tempo. O hemograma apresentou leucopenia, diminuição de granulócitos (neutrófilos, basófilos e eosinófilos) e linfócitos. Diante deste quadro, o provável diagnóstico é
 

Provas

Questão presente nas seguintes provas
2532320 Ano: 2016
Disciplina: Serviço Social
Banca: FADESP
Orgão: PM-PA
“A liberdade é a capacidade para darmos um sentido novo ao que parecia fatalidade, transformando a situação de fato numa realidade nova, criada por nossa ação. Essa força transformadora, que torna real o que era somente possível e que se achava apenas latente como possibilidade, é o que faz surgir um movimento antirracista, uma luta contra a discriminação sexual ou de classe social, uma resistência à tirania e a vitória contra ela”.
A leitura cuidadosa do texto permite considerar verdadeiras as seguintes afirmações:
I A liberdade se constitui princípio do código de ética de 1993.
II A liberdade é somente um assunto teórico, pois a compreensão da necessidade basta para que o homem seja livre.
III A liberdade se apresenta como um dado da experiência imediata ou como uma convicção inquebrantável que não pode ser destruída pela existência da causalidade.
Estão corretos os itens
 

Provas

Questão presente nas seguintes provas
2532319 Ano: 2016
Disciplina: Serviço Social
Banca: FADESP
Orgão: PM-PA
A questão social é central para o profissional de Serviço Social e, para entendê-la, deve-se considerar a exploração do trabalho pelo capital, assim como as lutas sociais protagonizadas pelos trabalhadores organizados, em face desta premissa central à produção e reprodução do capitalismo. No processo de consolidação do capitalismo brasileiro, um momento histórico tem destaque por duas ordens de fatores: primeiro, porque é nesse período que se completa o processo do capitalismo retardatário e, em segundo lugar, se indicam as marcas deixadas no mercado de trabalho brasileiro, a partir deste período, com a “reforma trabalhista da ditadura”. Esse período é denominado de
 

Provas

Questão presente nas seguintes provas
De acordo com a Lei nº 8.069/90, o Estatuto da Criança e do Adolescente (ECA), é correto afirmar que
 

Provas

Questão presente nas seguintes provas
2532317 Ano: 2016
Disciplina: Legislação Militar
Banca: FADESP
Orgão: PM-PA
Conforme mandamentos da Lei Estadual 5251/85, a licença para tratamento de interesse particular é a autorização para afastamento total do serviço, concedida ao policial militar que contar mais de anos de efetivo serviço e que a requerer com essa finalidade. O numeral que completa a lacuna do enunciado é
 

Provas

Questão presente nas seguintes provas
2532316 Ano: 2016
Disciplina: Português
Banca: FADESP
Orgão: PM-PA
Contra a mera “tolerância” das diferenças
Renan Quinalha
É preciso tolerar a diversidade”. Sempre que me defronto com esse tipo de colocação, aparentemente progressista e bem-intencionada, fico indignado. Não, não é preciso tolerar.
“Tolerar”, segundo qualquer dicionário, significa algo como “suportar com indulgência”, ou seja, deixar passar com resignação, ainda que sem consentir expressamente com aquela conduta.
“Tolerar” o que é diferente consiste, antes de qualquer coisa, em atribuir a “quem tolera” um poder sobre “o que tolera”. Como se este dependesse do consentimento daquele para poder existir. “Quem tolera” acaba visto, ainda, como generoso e benevolente, por dar uma “permissão” como se fosse um favor ou um ato de bondade extrema.
Esse tipo de discurso, no fundo, nega o direito à existência autônoma do que é diferente dos padrões construídos socialmente. Mais: funciona como um expediente do desejo de estigmatizar o diferente e manter este às margens da cultura hegemônica, que traça a tênue linha divisória entre o normal e o anormal.
Tolerar não deve ser algo celebrado e buscado como ideal político e tampouco como virtude individual. Ainda que o argumento liberal enxergue, na tolerância, uma manifestação legítima e até necessária da igualdade moral básica entre os indivíduos, não é esse o seu sentido recorrente nos discursos da política.
Com efeito, ainda que a defesa liberal-igualitária da tolerância, diante de discussões controversas, postule que se trata de um respeito mútuo em um cenário de imparcialidade das instituições frente a concepções morais mais gerais, isso não pode funcionar em um mundo marcado por graves desigualdades estruturais.
Marcuse identificava dois tipos de tolerância: a passiva e a ativa. No primeiro caso, a tolerância é vista como uma resignação e uma omissão diante de uma sociedade marcadamente injusta em suas diversas dimensões. Por sua vez, no segundo caso, ele trata da tolerância enquanto uma disposição efetiva de construção de uma sociedade igualitária. Não é este, no entanto, o discurso mais recorrente da tolerância em nossos tempos.
Assim, quando alguém te disser que é preciso “tolerar” a liberdade das mulheres, a busca por melhores condições de vida das pessoas pobres, as reivindicações por igualdade material das pessoas negras, entre outros segmentos vulneráveis, simplesmente não problematize esse discurso.
Admitir a existência do outro não significa aceitá-lo em sua particularidade como integrante da comunidade política. É preciso valorizar os laços mais profundos de reciprocidade e respeito pelas diferenças, o que só o reconhecimento, estágio superior da tolerância, pode ajudar a promover, como ensinou Axel Honneth.
Diversidade é um valor em si mesmo e não depende da concordância dos que ocupam posições de privilégios. Direitos e liberdades não se “toleram”. Devem ser respeitados e promovidos, por serem conquistas jurídicas e políticas antecedidas de muitas lutas.
O que não se pode tolerar é o discurso aparentemente “benevolente” e “generoso” – mas na verdade bem perverso – da “tolerância das diferenças”. Ninguém precisa da licença de ninguém pra existir.
Disponível em:<http://revistacult.uol.com.br/home/2016/02/contra-a-mera-tolerancia-das-diferencas/> Acesso em: 10 mar. 2016.
O único excerto em que não há menção à proposição defendida pelo autor é
 

Provas

Questão presente nas seguintes provas