Magna Concursos

Foram encontradas 320 questões.

386259 Ano: 2018
Disciplina: Medicina
Banca: FCC
Orgão: PM-AP

Analisando-se o perfil hemodinâmico de um grupo específico de pacientes com insuficiência cardíaca aguda, observou-se que havia hipovolemia (provável abuso de diuréticos) e que a reposição volêmica, em geral, foi suficiente para tratamento. Nos casos em que não houve melhora, com sinais de baixo débito, usaram-se drogas inotrópicas. Os casos em questão apresentam, com maior probabilidade,

 

Provas

Questão presente nas seguintes provas
386258 Ano: 2018
Disciplina: Medicina
Banca: FCC
Orgão: PM-AP

As linhas B de Kerley relacionam-se à presença de

 

Provas

Questão presente nas seguintes provas
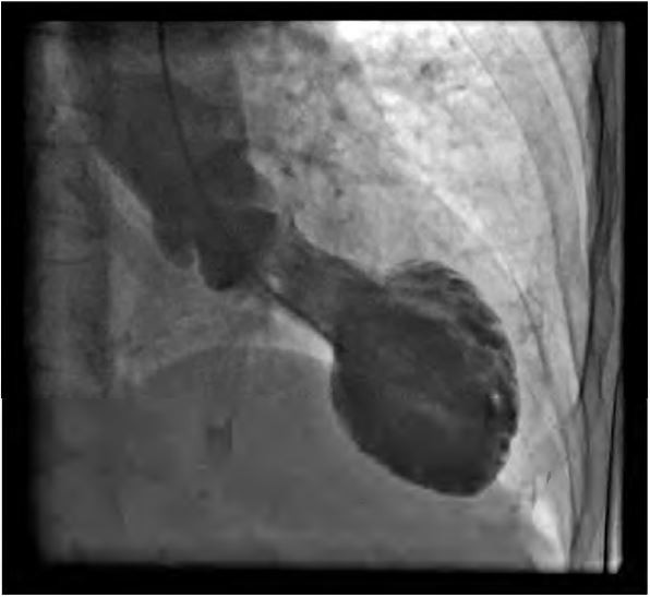
386257 Ano: 2018
Disciplina: Medicina
Banca: FCC
Orgão: PM-AP

Considere o aspecto de balonamento apical do ventrículo esquerdo, mostrado na ventriculografia abaixo.

enunciado 386257-1

Ele é encontrado caracteristicamente

 

Provas

Questão presente nas seguintes provas
386256 Ano: 2018
Disciplina: Medicina
Banca: FCC
Orgão: PM-AP

A tríade clássica de sintomas relacionados à presença de feocromocitoma consite em

 

Provas

Questão presente nas seguintes provas
386255 Ano: 2018
Disciplina: Medicina
Banca: FCC
Orgão: PM-AP

O uso de estatinas durante a gestação é classificado na categoria:

 

Provas

Questão presente nas seguintes provas
386254 Ano: 2018
Disciplina: Medicina
Banca: FCC
Orgão: PM-AP

Todos pacientes com infarto agudo do miocárdio com elevação do segmento ST, submetidos a intervenção percutânea com posicionamento de stent corononário, devem receber precocemente, a menos que haja contraindicação, dupla antiplaquetação com ácido acetilsalicílico e um bloqueador de receptor P2Y12, preferencialmente

 

Provas

Questão presente nas seguintes provas
383725 Ano: 2018
Disciplina: Medicina
Banca: FCC
Orgão: PM-AP

Considere os padrões eletrocardiográficos abaixo.

enunciado 383725-1

Eles são característicos de

 

Provas

Questão presente nas seguintes provas
383724 Ano: 2018
Disciplina: Medicina
Banca: FCC
Orgão: PM-AP

Um homem de 72 anos, acompanhado há 10 anos pelo mesmo cardiologista devido à presença de um sopro cardíaco significativo, queixa-se de dispneia progressiva, não mais tolerando totalmente a sua caminhada habitual em esteira e de ter apresentado um episódio de dor precordial em aperto durante esforço.

enunciado 383724-1

O médico, após exame clínico e análise de um novo ecodopplercardiograma, apresenta o gráfico acima para ilustrar a evolução da sua doença e a necessidade de troca de valva

 

Provas

Questão presente nas seguintes provas
383723 Ano: 2018
Disciplina: Medicina
Banca: FCC
Orgão: PM-AP

Mulher obesa, diabética segundo a filha, dá entrada no pronto-socorro arresponsiva, com respiração agônica, pressão arterial não obtida, sem pulso palpável. É iniciada oxigenação por máscara e obtido acesso venoso periférico. O monitor cardíaco mostra o traçado abaixo.

enunciado 383723-1

A conduta imediata mais adequada é

 

Provas

Questão presente nas seguintes provas
383722 Ano: 2018
Disciplina: Medicina
Banca: FCC
Orgão: PM-AP

Um homem de 62 anos, obeso, com antecedente de infarto agudo do miocárdio há 2 anos, fazendo uso de ácido acetilsalicílico e metformina, procura atendimento médico por dispneia a médios esforços. O exame físico sugere insuficiência cardíaca e o ecocardiograma mostra disfunção sistólica de ventrículo esquerdo às custas de hipocinesia moderada de parede inferior. No tratamento medicamentoso desse paciente deverá produzir efeito neutro ou adverso, o uso de

 

Provas

Questão presente nas seguintes provas