Foram encontradas 320 questões.
Homem de 75 anos previamente hígido vem ao pronto-socorro por tosse seca, secreção nasal e dor de garganta há 36 horas, com 3 picos de febre de aproximadamente 38,5 °C. Sinais vitais e exame físico normais. A conduta correta deverá ser:
Provas
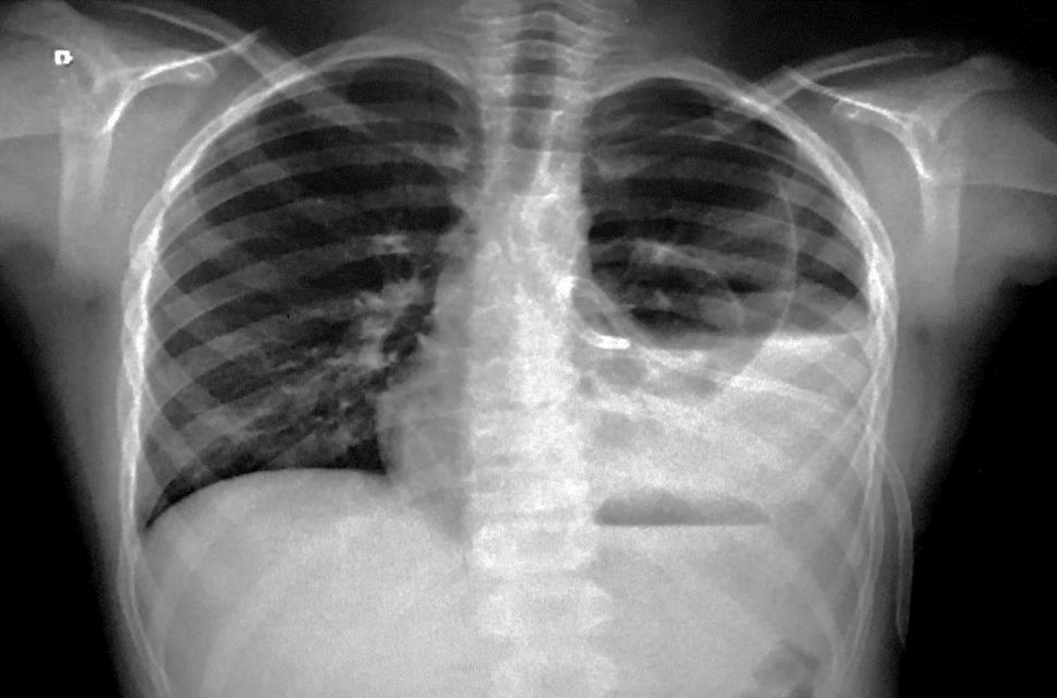
Considere a radiografia de tórax abaixo.

O diagnóstico mais provável é:
Provas
Em relação à investigação dignóstica das anemias macrocíticas:
Provas
Homem de 25 anos procura atendimento médico com queixa de episódios paroxísticos de sudorese e palpitações nos últimos 6 meses com piora progressiva e pequena perda de peso. Nega comorbidades. Nega uso de medicações ou drogas ilícitas. É sedentário e está obeso. Ao exame, pressão arterial aferida adequadamente em 156 × 88 mmHg. A conduta adequada deve ser:
Provas
Mulher de 58 anos, vem em consulta ambulatorial com queixas de cansaço, mal-estar e indisposição. Os exames abaixo foram repetidos e confirmados.
TSH | 2,3 uIU/mL (VR: 0,5-5,5) |
T4 livre | 0,4 ng/dL (VR: 0,6-1,4) |
O próximo passo diagnóstico deve ser:
Provas
Homem de 50 anos, assintomático, sem comorbidades e sem uso de medicações, sem história de doença cardiovascular e com exame físico normal traz, eletrocardiograma abaixo.

Nesse caso,
Provas
Homem de 48 anos dá entrada no pronto atendimento com queixa de palpitação há algumas horas. Nega dor torácica. Ao exame: pálido, desconfortável, consciente, PA: 84 × 60 mmHg, taquicárdico, FR: 26 ipm com SatO2 de 95%. Realizado o eletrocardiograma abaixo.

A conduta imediata deve ser:
Provas
Um trabalhador rural de 32 anos é admitido na sala de emergência com quadro de vômitos, sudorese intensa e incontinência fecal há 20 minutos. Não há relato de comorbidades. Colega de trabalho relata que há cerca de 30 minutos estavam manipulando inseticidas na fazenda. Ao exame físico, o paciente encontra-se confuso e pouco colaborativo. Observam-se fasciculações, miose, sialorreia e bradicardia (FC: 45 bpm). PA: 80 × 40 mmHg. Ausculta cardíaca com sibilos e roncos difusos. Taquipneico, FR: 30 ipm. Saturando 86% em máscara de oxigênio a 100%. Sem outros achados ao exame físico.
Sobre o manejo terapêutico deste caso, é INCORRETO afirmar que:
Provas
Mulher de 62 anos trazida ao pronto atendimento por confusão mental há 40 minutos. Associado ao quadro apresenta fraqueza muscular em membro inferior direito. Comorbidades: hipertensão arterial, dislipidemia, tabagismo e diabetes melitus controladas com medicações orais. Ao exame físico, apresenta força muscular preservada em membros superiores bilateralmente. Há comprometimento da força muscular (Grau 1) em membro inferior direito. Membro inferior esquerdo com força muscular normal contra resistência (Grau 5). Observa-se hipoestesia em membro inferior direito. Não há comprometimento da motricidade ou sensibilidade facial. Não há desvio da língua ou da úvula. Reflexo de tosse preservado e não há comprometimento da motricidade ocular. Glicemia capilar 78 mg/dL.
A artéria mais provavelmente acometida é:
Provas
Mulher de 48 anos apresentou estridor, prurido generalizado e desconforto respiratório imediatamente após infusão de contraste endovenoso para realização de tomografia de abdome. Faz uso de propranolol para enxaqueca e levotiroxina para hipotireoidismo. Ao exame físico, estava agitada, taquidispneica e com estridor laríngeo. Havia edema de lábios e rubor facial. Ausculta pulmonar com sibilos difusos bilateralmente. Não foram identificadas lesões cutâneas. PA: 100 × 60 mmHg. FC: 122bpm. FR: 31 ipm. SatO2 de 96% em ambiente.
Sobre o manejo deste caso, é INCORRETO afirmar:
Provas
Caderno Container