Foram encontradas 1.425 questões.
Um paciente de 50 anos, trabalhador rural, com histórico de discopatia lombar degenerativa, deu entrada no serviço de emergência apresentando dor lombar agudizada e intensa, com limitação dos movimentos lombares, irradiação da dor para a face lateral da perna D, déficit de força e movimentos de dorsiflexão no pé D, parestesia no hálux D e preservação dos reflexos.
O disco vertebral acometido nesse caso é o:
Provas
Uma paciente de 45 anos deu entrada no pronto-socorro com quadro de dor torácica aguda, pleurítica, aliviada na posição sentada com inclinação corporal anterior e piora com inspiração profunda. Teve quadro de febre e mialgia 24 horas antes do início da dor torácica.
Foi realizado ECG representado na imagem abaixo.

Considerando os dados apresentados, o diagnóstico mais provável para o caso acima é:
Provas
O agente causador mais provável para a doença apresentada é:
Provas
Os derrames pleurais são acúmulos de líquido dentro do espaço pleural. Eles têm múltiplas causas e normalmente são classificados como transudatos ou exsudatos. A detecção é feita por exame físico, radiografia de tórax e ultrassonografia torácica à beira do leito. A toracentese e a análise do líquido pleural costumam ser necessárias para determinar a causa.
A principal causa de derrame pleural transudato é:
Provas
A hepatite B é um dos cinco tipos de hepatite existentes no Brasil. Entre 2000 e 2023, 36,8% dos casos confirmados de hepatites virais no Sinan são referentes à hepatite B. Trata-se da segunda maior causa de morte entre as hepatites virais, tendo sido responsável por 21,7% dos óbitos relacionados a essas doenças entre 2000 e 2022 (Boletim Epidemiológico, 2024).
Na maioria dos casos, a hepatite B não apresenta sintomas e muitas vezes é diagnosticada décadas após a infecção, com sinais relacionados a outras doenças do fígado, como cansaço, tontura, enjoo/vômitos, febre, dor abdominal e icterícia.
A principal forma de prevenção é a vacinação. A vacina para hepatite B está sendo indicada para todas as pessoas que ainda não tenham sido vacinadas, de todas as idades. O marcador laboratorial da hepatite B associado a infecção aguda ou crônica e indicativo de alta infectividade é:
Provas
Diversos fatores patogênicos interagem causando a formação de cálculos renais. Entre os fatores de risco, estão idade mais avançada, sexo masculino, obesidade e histórico familiar. Sua incidência depende de fatores geográficos, étnicos, alimentares e genéticos, além de associação com outras patologias sistêmicas.
A patologia elencada abaixo que representa uma doença considerada um fator de risco para urolitíase é:
Provas
“Quando na marcha de um processo um médico é nomeado para intervir na qualidade de perito, e quando a questão é de fato pacífica, mas apenas o mérito médico-legal é discutido, cabe-lhe, apenas, emitir suas impressões e responder aos quesitos formulados.”
O documento médico acima descrito é um:
Provas
Uma paciente de 42 anos deu entrada no hospital com queixa de dor tipo cólica no quadrante superior direito do abdome há 24 horas, icterícia, febre, náuseas e vômitos, tendo evoluído com alteração do nível de consciência, taquicardia, taquipneia e hipotensão, necessitando de internação em UTI por quadro de sepse.
O tratamento antimicrobiano de primeira linha para essa paciente é:
Provas
Uma paciente de 26 anos, durante prova de maratona de rua, após correr por mais de duas horas, começou a apresentar quadro de hipertermia (T Ax 39 °C), náuseas e cefaleia, evoluindo com vômitos e confusão mental. Interrompeu a prova e logo em seguida passou a apresentar rebaixamento do nível de consciência e sinais de edema pulmonar.
O diagnóstico mais provável para o caso é:
Provas
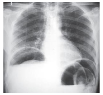
Um paciente de 65 anos, tabagista e etilista, apresentava dor epigástrica com irradiação para o dorso há três semanas, com período de exacerbação pós-prandial, principalmente noturno, e frequente despertar na madrugada com dor e com melhora no período da manhã. Passou a apresentar dor intensa e agitação na última hora, seguida de episódio de hematêmese, evoluindo com quadro de abdômen em tábua.
A radiografia captou a imagem abaixo.

O diagnóstico mais provável para o caso descrito é:
Provas
Caderno Container