Foram encontradas 490 questões.
O Código de Ética dos Profissionais das Técnicas Radiológicas denota que é responsabilidade do técnico ou tecnólogo em radiologia o uso seguro do equipamento emissor de radiação. Considerando a segurança e a proteção radiológica do paciente exposto ao feixe de radiação, podemos afirmar que o profissional deverá
Provas
Sobre a ética profissional, marque V para as afirmativas verdadeiras e F para as falsas.
( ) Também se aplica ao ambiente externo, fora da empresa, no momento em que o profissional não divulga informações sigilosas do trabalho.
( ) Pressupõe-se que todo profissional seja claro, transparente e honesto; o que configura uma atitude ética.
( ) Os princípios éticos são as normas básicas que norteiam o comportamento das pessoas na sociedade.
A sequência está correta em
Provas
- Legislação EspecialLei 11.340/2006: Lei Maria da PenhaDos ProcedimentosCapítulo II - Das Medidas Protetivas de Urgência
Letícia é casada a seis anos com Caio, e vive um relacionamento abusivo com agressões. Caio possui posse de armas e faz constantes ameaças. Foi constatada a prática de violência doméstica, e para garantir a proteção de Letícia o juiz concedeu medidas protetivas de urgência, sendo elas:
-
• Suspensão da posse de armas, com comunicação ao órgão competente.
• Afastamento do lar ou local de convivência com a ofendida.
• Proibição de determinadas condutas, dentre as quais: contato com a ofendida, seus familiares e testemunhas por qualquer meio de comunicação; e, frequentação de determinados lugares, a fim de preservar a integridade física e psicológica da ofendida.
-
De acordo com a Lei nº 11.340/2006 (Lei Maria da Penha), caso Caio venha a descumprir tais medidas protetivas de urgência, ele terá como pena:
Provas
Conforme a Lei nº 11.340/2006, conhecida como Lei Maria da Penha, em seu Art. 2º, “Toda mulher, independentemente de classe, raça, etnia, orientação sexual, renda, cultura, nível educacional, idade e religião, goza dos direitos fundamentais inerentes à pessoa humana, sendo-lhe asseguradas as oportunidades e facilidades para viver sem violência, preservar sua saúde física e mental e seu aperfeiçoamento moral, intelectual e social”.
-
(BRASIL, 2006.)
-
De acordo com a Lei nº 11.340/2006, sobre as formas de violência doméstica e familiar contra a mulher, analise as afirmativas a seguir.
-
I. A violência moral, entendida como qualquer conduta que lhe cause dano emocional e diminuição da autoestima ou que lhe prejudique e perturbe o pleno desenvolvimento ou que vise degradar ou controlar suas ações, comportamentos, crenças e decisões, mediante ameaça, constrangimento, humilhação, manipulação, isolamento, vigilância constante, perseguição contumaz, insulto, chantagem, violação de sua intimidade, ridicularização, exploração e limitação do direito de ir e vir, ou qualquer outro meio que lhe cause prejuízo à saúde psicológica e à autodeterminação.
II. A violência sexual, entendida como qualquer conduta que a constranja a presenciar, a manter ou a participar de relação sexual não desejada, mediante intimidação, ameaça, coação ou uso da força; que a induza a comercializar ou a utilizar, de qualquer modo, a sua sexualidade, que a impeça de usar qualquer método contraceptivo ou que a force ao matrimônio, à gravidez, ao aborto ou à prostituição, mediante coação, chantagem, suborno ou manipulação; ou que limite ou anule o exercício de seus direitos sexuais e reprodutivos.
III. A violência patrimonial, entendida como qualquer conduta que configure retenção, subtração, destruição parcial ou total de seus objetos, instrumentos de trabalho, documentos pessoais, bens, valores e direitos ou recursos econômicos, incluindo os destinados a satisfazer suas necessidades.
IV. A violência física, entendida como qualquer conduta que ofenda sua integridade ou saúde corporal mediante intimidação, ameaça, coação ou uso da força, ou que limite ou anule o exercício de seus direitos.
-
Está correto o que se afirma apenas em
Provas
Uma das incidências básicas para a radiografia de crânio é a AP axial – método de Towne. Com tal incidência, é possível visualizar as seguintes estruturas:
Provas
A imagem a seguir é uma radiografia de ossos da face:

A incidência e as principais estruturas visualizadas são, respectivamente:
Provas
A radiografia de membro superior é um exame importante para fraturas e luxações. Uma incidência básica para exame de cotovelo é a perfil. Corresponde ao correto posicionamento do paciente para tal exame em ambulatório:
Provas
Certos procedimentos requerem obtenções de imagens radiográficas durante a cirurgia; portanto, o profissional de radiologia precisa conhecer e saber operar o sistema de fluoroscopia móvel com arco em C. Neste tipo de procedimento, a exposição à radiação dos profissionais envolvidos é maior que a na rotina em radiologia ambulatorial. Considerando o uso do arco em C, bem como a exposição dos profissionais, assinale a alternativa em que a dose recebida em face, pescoço e tórax é maior.
Provas
A radiografia representa um exame específico de abdômen com utilização de contraste:

De acordo com as informações, assinale a afirmativa correta.
Provas
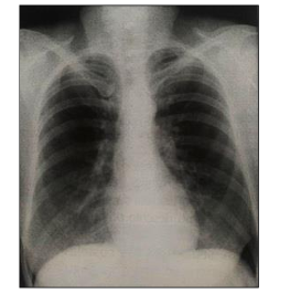
Na radiografia de tórax em PA é possível observar uma falha no posicionamento do paciente, o que causa uma distorção do tamanho de algumas estruturas no estudo:

Dessa forma, é possível afirmar que o critério não observado foi:
Provas
Caderno Container