Foram encontradas 1.000 questões.
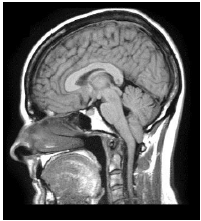
A ressonância magnética de crânio apresenta uma malformação, muitas vezes congênita, capaz de causar sintomas neurológicos como dor cervical; vertigem; perda de equilíbrio; e, disfagia.

Podemos afirmar que tal condição se refere à síndrome de:
Provas
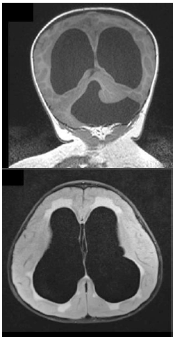
Existem diversos tipos de malformações congênitas do cérebro; muitas delas resultam em complicações motoras, sensoriais e intelectuais.

As imagens correspondem à síndrome de:
Provas
Cada hemisfério possui uma camada superficial de substância cinzenta, o córtex cerebral, que reveste um centro de substância branca – o centro medular do cérebro ou centro semioval. No interior dessa substância branca, há massas de substância cinzenta – os núcleos da base do cérebro. O centro branco medular do cérebro é formado por fibras mielínicas, que podem ser de dois tipos – de projeção ou de associação. As fibras de projeção se dispõem em dois feixes – o fórnix e a cápsula interna.

Assinale, a seguir, o número correspondente ao joelho da cápsula interna na imagem.
Provas
Saber a localização, bem como entender a função das estruturas encefálicas é fundamental para compreensão da circuitaria cerebral.

Assinale, a seguir, a nomenclatura da estrutura representada pelo número 1 na imagem.
Provas
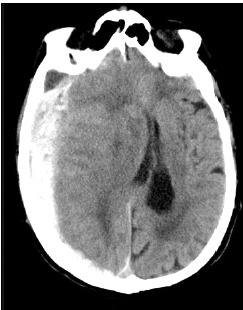
Paciente, sexo feminino, 82 anos, sofreu queda da própria altura após tropeçar no tapete da sala de sua casa. Após a queda, familiares notaram que a paciente apresentava lentificação psicomotora, sonolência excessiva e confusão mental, sendo, então, levada ao hospital local para atendimento médico. Na admissão hospitalar realizou tomografia computadorizada de crânio que evidenciou o seguinte resultado:

Qual o achado da tomografia de crânio realizada?
Provas
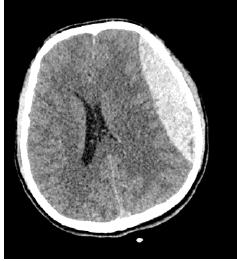
Paciente, sexo masculino, 23 anos, admitido em pronto-socorro do hospital de sua cidade após sofrer acidente automobilístico há cerca de 40 minutos. Segundo testemunhas do local, o paciente ficou desacordado por alguns minutos e, desde o momento que acordou, queixa-se de dor de cabeça intensa e constante. Realizada tomografia computadorizada de crânio que evidenciou o seguinte resultado:

Qual o achado da tomografia de crânio realizada?
Provas
A imagem a seguir evidencia um hematoma cerebral (indicado pela seta) e os principais tipos de herniação cerebral; observe:

Assinale, a seguir, o número correspondente à hérnia de uncus ou uncal.
Provas
A epilepsia é uma doença que se caracteriza por uma predisposição permanente do cérebro em originar crises epilépticas e pelas consequências neurobiológicas, cognitivas, psicológicas e sociais de tais crises. De acordo com as recomendações do Protocolo Clínico e Diretrizes Terapêuticas para Epilepsia do Ministério da Saúde, assinale a afirmativa INCORRETA.
Provas
Mulher, 55 anos, etilista, encontra-se em terceiro dia de internação em Unidade de Terapia Intensiva (UTI) devido à pancreatite aguda grave. Ao examiná-la, a paciente se queixa de adormecimento perioral e parestesia, além de câimbras nas extremidades. Sinais vitais no momento da aferição em 55 batimentos por minuto e pressão arterial de 100 x 60 mmHg. Considerando o caso clínico hipotético, qual a alteração laboratorial esperada e seu respectivo tratamento?
Provas
De acordo com o Consenso Brasileiro para o Diagnóstico e Tratamento do Hipertireoidismo da Sociedade Brasileira de Endocrinologia e Metabologia (SBEM), o termo “tireotoxicose” se refere à síndrome clínica decorrente do excesso de hormônios tireoidianos circulantes, secundário à hiperfunção da glândula tireoide ou não. Sobre o manejo da tireotoxicose, assinale a afirmativa INCORRETA.
Provas
Caderno Container