Foram encontradas 1.000 questões.
Um novo índice derivado da análise eletroencefalográfica tem conquistado espaço na terapia intensiva para monitorização da sedação. Sobre o índice biespectral (BIS), assinale a afirmativa correta.
Provas
O registro dos potenciais elétricos excitatórios e inibitórios pós-sinápticos produzidos na camada piramidal do córtex cerebral constitui o traçado do eletroencefalograma (EEG). Sobre o EEG, assinale a afirmativa correta.
Provas
Paciente, sexo feminino, 44 anos, passou por consulta ginecológica devido a quadro de saída de secreção leitosa nas mamas. Após consulta médica, a ginecologista solicitou uma ressonância magnética de crânio e sela túrcica, bem como exames laboratoriais com dosagens hormonais. Após a realização de exames complementares de investigação do quadro, cujos resultados evidenciaram aumento acentuado do nível sérico de prolactina e presença de lesão expansiva na região selar, de bordas regulares e que capta contraste de forma homogênea, medindo cerca de 16 mm de diâmetro em seu maior eixo, foi aventada a hipótese de adenoma hipofisário. Considerando o caso clínico hipotético, assinale, a seguir, a classificação do adenoma hipofisário da paciente.
Provas
Paciente, sexo feminino, 8 anos, passou a apresentar quadro de parada abrupta de contactuação durante um período de poucos segundos, com melhora espontânea e rápida; porém, episódios aconteciam várias vezes ao longo do dia; por este motivo, passou a apresentar piora no rendimento escolar. Ao realizar exames complementares para investigação do quadro, o eletroencefalograma (EEG) evidenciou o achado de espícula- -onda 3 Hz, que era deflagrado após as manobras de hiperventilação. Considerando o caso clínico hipotético, qual o provável diagnóstico?
Provas
Paciente, sexo masculino, 50 anos, vítima de ferimento por arma branca na região torácica à direita passou a apresentar quadro de paralisia motora abaixo do nível da lesão à direita e ausência de percepção da vibração e toque fino abaixo do nível da lesão também à direita, além de ausência de percepção do estímulo álgico, de mudanças de temperatura e pressão à esquerda. Considerando o caso clínico hipotético, é correto afirmar que trata-se da síndrome de:
Provas
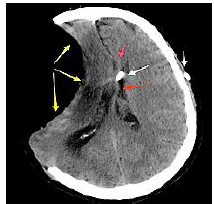
Paciente, sexo masculino, 65 anos, sofreu quadro de AVC isquêmico maligno em território de artéria cerebral média à direita há 1 ano, sendo necessária a realização de hemicraniectomia descompressiva extensa. Paciente evoluiu com recuperação parcial dos deficits neurológicos do AVC após muitas sessões de fisioterapia e terapia ocupacional. Estava aguardando cirurgia de cranioplastia, quando passou a apresentar quadro de sonolência excessiva, cefaleia e confusão mental. Realizou tomografia computadorizada de crânio que evidenciou o seguinte resultado:

Considerando o caso clínico hipotético, é correto afirmar que trata-se da síndrome:
Provas
A doença de Parkinson (DPi) é um transtorno neurodegenerativo decorrente da diminuição da produção de dopamina no corpo estriado e que pode se tornar incapacitante ao longo dos anos devido, principalmente, aos seus sintomas motores. Nas últimas décadas, a estimulação cerebral profunda (DBS), tratamento neurocirúrgico que utiliza um marcapasso cerebral que envia impulsos elétricos a determinada parte do encéfalo, tornou-se uma alternativa promissora e bastante eficaz no melhor controle dos sintomas da doença de Parkinson. São considerados locais em que o DBS pode ser implantado para doença de Parkinson, EXCETO:
Provas
Paciente, sexo feminino, 73 anos, previamente hígida, passou a apresentar quadro progressivo de alteração da marcha (instável, base alargada, sensação de pés “grudados no chão”), alteração do controle esfincteriano, necessitando do uso de fralda geriátrica e alteração da memória e concentração. Após consulta médica, foram realizados exames complementares para investigação do quadro, cujos resultados evidenciaram um índice de Evans > 0,3 e TAP Test positivo tanto para marcha quanto para os testes cognitivos. Assinale o provável diagnóstico e o tratamento da paciente, respectivamente.
Provas
Paciente, sexo masculino, 30 anos, vítima de acidente de moto, é levado pela equipe de resgate do SAMU para determinado hospital de referência em trauma mais próximo do local do acidente. Após avaliação inicial, bem como realização de exames complementares, foi concluído que o paciente sofreu um trauma raquimedular (TRM) e não apresentava nenhuma função motora ou sensitiva abaixo do nível da lesão, assim como não apresentava contração voluntária do esfíncter anal, não havia nenhuma sensibilidade nos segmentos sacrais S4-S5. De acordo com a classificação padronizada da American Spinal Injury Association (ASIA), o TRM do paciente é classificado como ASIA:
Provas
Paciente, sexo masculino, 60 anos, apresentou quadro súbito de rebaixamento do nível de consciência, associado a vômitos e crise convulsiva tônico-clônica generalizada, sendo levado por amigos ao hospital da cidade onde morava. Paciente admitido com os seguintes sinais vitais: PA 170 x 89 mmHg; SatO2 95%; Dextro 103 mg/dL; FC 89 bpm; e, Tax 36,8° C. Ao ser examinado pelo neurologista de plantão, notou-se que o paciente não conseguia movimentar nenhum dos quatro membros, bem como o tronco ou a cabeça; apresentava postura de descerebração ao estímulo álgico, além de parecer compreender o que era dito; porém, apenas conseguia movimentar os olhos no sentido vertical, não verbalizava, e nem realizava movimentos horizontais com os olhos. Foi realizada tomografia computadorizada de crânio e angiotomografia de vasos cervicais e intracranianos; os exames evidenciaram uma oclusão proximal no topo da artéria basilar. Considerando o caso clínico hipotético, é correto afirmar que trata-se da síndrome:
Provas
Caderno Container