Foram encontradas 531 questões.
Paciente de 42 anos, portador de megaesôfago
chagásico grau 3 de Rezende, foi submetido a
cardiomiotomia por vídeo com fundoplicatura
parcial de 180 graus. Refere não ter tido melhora
significativa da disfagia mesmo após 60 dias do
procedimento. Assinale a alternativa correta em
relação à provável causa.
Provas
Questão presente nas seguintes provas
Qual destes sinais/sintomas pode ocorrer na
hérnia de hiato mista que raramente se
apresentam na hérnia de hiato por deslizamento?
Provas
Questão presente nas seguintes provas
Quanto à diverticulite de cólon qual destes
fatores não representa maior risco?
Provas
Questão presente nas seguintes provas
Paciente de 62 anos em pré-operatório para
gastrectomia subtotal (adenocarcinoma de antro)
por vídeo. Dos exames pré-operatório relevante
tem albumina de 2,5 mg/dl, creatinina de 0,9
mg/dl, proteína C reativa normal. Hemoglobina
de 9,8 g/d e tomografia sem metástase ou
linfonodos suspeitos. Em relação ao suporte
nutricional, assinale a alternativa correta.
Provas
Questão presente nas seguintes provas
Observe este esquema de uma cirurgia de correção de hérnia:

As duas setas representam uma incisão relaxadora sobre:
Provas
Questão presente nas seguintes provas
A utilização de ampicilina em esquema terapêutico empírico para tratamento de peritonite tem como
principal objetivo cobertura para:
Provas
Questão presente nas seguintes provas
Qual técnica cirúrgica de correção de hérnia não utiliza prótese?
Provas
Questão presente nas seguintes provas
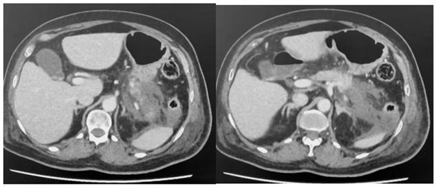
Paciente com pancreatite aguda que necessitou durante 36 h de droga vasoativa no início de tratamento,
realizou a tomografia com contraste endovenoso no quinto dia de internação, conforme abaixo.
De acordo com as informações e tomografia acima, assinale a alternativa correta.
De acordo com as informações e tomografia acima, assinale a alternativa correta.
Provas
Questão presente nas seguintes provas
Paciente de 78 anos, masculino, operado em urgência com neoplasia cólon sincrônica, realizado
colectomia total com ileostomia terminal. IMC:20, albumina de 3,0 g perda de peso 5% em 15 dias.
No 2 PO com dose baixa de noradrenalina, entubado, SNG débito de 1200 ml e ileostomia não
funcionante. Assinale a alternativa que indica a conduta correta.
Provas
Questão presente nas seguintes provas
Paciente apresentou perfuração iatrogênica
durante dilatação de esôfago (para tratamento de
acalasia). Foi submetido a reparo cirúrgico que
encontrou muita dificuldade devido ao processo
inflamatório e hematoma. O cirurgião optou por
rafia do esôfago na transição (4 pontos) e uma
válvula total cobrindo a sutura. No 7 pós-operatório apresentava vômitos com restos
alimentares e distensão epigástrica. Qual é a
principal hipótese?
Provas
Questão presente nas seguintes provas
Cadernos
Caderno Container