Magna Concursos

Foram encontradas 99 questões.

enunciado 1626100-1
Segundo a classificação de Rutherford, o caso descrito é classificado como
 

Provas

Questão presente nas seguintes provas

Mulher, 52 anos de idade, tabagista há 30 anos, diabética em uso de metformina 850 mg, três vezes ao dia, procurou atendimento médico com o objetivo de realizar um check-up. A paciente não tem sintomas que possam direcionar qualquer diagnóstico. O médico indicou uma tomografia de tórax. A imagem contém uma alteração própria de câncer de pulmão.

Com relação às condutas quanto ao câncer de pulmão, assinale a alternativa correta.

 

Provas

Questão presente nas seguintes provas

J. F. G., 70 anos de idade, apresenta quadro de perda de peso e episódios de vômitos que se intensificaram nos últimos dois meses. O paciente apresentava histórico pregresso de úlcera péptica perfurada corrigida com rafia simples e reforço de patch. Ao iniciar investigação por tomografia, nota-se a presença de megagastria, com ponto de estenose em região de duodeno, que exigia correção cirúrgica, com intuito de restituir a via alimentar.

Com relação à opção cirúrgica por técnica de Jaboulay, assinale a alternativa que caracteriza corretamente essa técnica.

 

Provas

Questão presente nas seguintes provas
enunciado 1626097-1
São úlceras gástricas com comportamento e tratamento semelhante aos das úlceras duodenais a(s) do(s) tipo(s)
 

Provas

Questão presente nas seguintes provas
enunciado 1626096-1
Em relação ao caso descrito, considerando a hipótese de hérnias de hiato, a úlcera promovida pela compressão da parede gástrica é denominada úlcera
 

Provas

Questão presente nas seguintes provas

enunciado 1626095-1

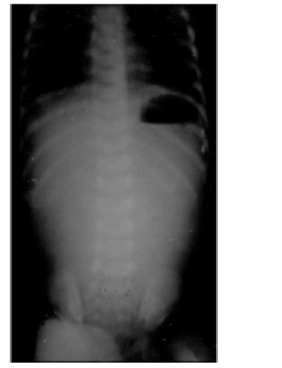
Considerando a imagem apresentada, da radiografia do abdome em incidência anteroposterior de um lactente com ausência de conteúdo gasoso em intestino delgado e intestino grosso, além de ectasia gástrica com considerável nível hidroaéreo, é correto presumir que o diagnóstico da seguinte malformação gastrintestinal é

 

Provas

Questão presente nas seguintes provas
enunciado 1626094-1
Considerando o caso apresentado, o tratamento mais utilizado atualmente é a
 

Provas

Questão presente nas seguintes provas
enunciado 1626093-1
Para a paciente desse caso clínico, se o sinal da dupla bolha estiver presente no exame radiológico, pode-se inferir o diagnóstico de
 

Provas

Questão presente nas seguintes provas
A atual política de saúde mental brasileira é resultado da mobilização de usuários, de familiares e de trabalhadores da saúde, iniciada nos anos de 1980, que tinha por objetivo a mudança da realidade dos manicômios. O movimento de luta antimanicomial foi impulsionado por diversas forças no sentido de promover a desinstitucionalização por meio da criação de serviços com forte inserção no território. Quanto às práticas em saúde mental e ao respectivo arcabouço legal, assinale a alternativa correta.A atual política de saúde mental brasileira é resultado da mobilização de usuários, de familiares e de trabalhadores da saúde, iniciada nos anos de 1980, que tinha por objetivo a mudança da realidade dos manicômios. O movimento de luta antimanicomial foi impulsionado por diversas forças no sentido de promover a desinstitucionalização por meio da criação de serviços com forte inserção no território. Quanto às práticas em saúde mental e ao respectivo arcabouço legal, assinale a alternativa correta.
 

Provas

Questão presente nas seguintes provas
O maior desafio que se enfrenta na construção de um sistema público de saúde é a desfragmentação do sistema existente para que se atenda a população de forma adequada nas respectivas necessidades em saúde. Em relação às informações expostas, assinale a alternativa que apresenta somente as características das Redes de Atenção à Saúde.
 

Provas

Questão presente nas seguintes provas