Foram encontradas 120 questões.

A figura acima foi obtida a partir de um corte histológico de pele. Considerando as estruturas exibidas, julgue os itens subseqüentes.
Na parte superior da figura, na região correspondente à hipoderme, evidencia-se a presença de adipócitos.
Provas

A figura acima foi obtida a partir de um corte histológico de pele. Considerando as estruturas exibidas, julgue os itens subseqüentes.
O fibrócito é a célula mais abundante do tecido conjuntivo, apesar de produzir uma quantidade de fibras maior que os fibroblastos.
Provas

A figura acima foi obtida a partir de um corte histológico de pele. Considerando as estruturas exibidas, julgue os itens subseqüentes.
A região correspondente à metade inferior da figura estaria corada predominantemente em azul, caso a técnica de coloração utilizada fosse a de Masson.
Provas

A figura acima mostra um corte histológico de uretra masculina. Acerca das características histológicas representadas, julgue os seguintes itens.
A seta indica um macrófago após fagocitose de um microrganismo.
Provas

A figura acima mostra um corte histológico de uretra masculina. Acerca das características histológicas representadas, julgue os seguintes itens.
As células que circundam o tecido epitelial correspondem à camada muscular e são responsáveis pela oclusão da uretra.
Provas

A figura acima mostra um corte histológico de uretra masculina. Acerca das características histológicas representadas, julgue os seguintes itens.
O epitélio predominante na figura é do tipo estratificado.
Provas

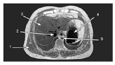
A figura acima mostra a fotografia de um corte anatômico realizado em cadáver. Considerando os dados mostrados na figura, julgue os itens a seguir.
A seta 5 indica a aorta descendente.
Provas

A figura acima mostra a fotografia de um corte anatômico realizado em cadáver. Considerando os dados mostrados na figura, julgue os itens a seguir.
A seta 4 indica a cavidade interna de um órgão.
Provas

A figura acima mostra a fotografia de um corte anatômico realizado em cadáver. Considerando os dados mostrados na figura, julgue os itens a seguir.
A seta 3 indica um órgão capaz de realizar trocas gasosas.
Provas

A figura acima mostra a fotografia de um corte anatômico realizado em cadáver. Considerando os dados mostrados na figura, julgue os itens a seguir.
A seta 2 indica a traquéia.
Provas
Caderno Container