Foram encontradas 120 questões.
Em relação ao preparo e acondicionamento de peças anatômicas e ao registro de dados de autópsias, julgue os itens a seguir.
Uma das técnicas empregadas para a conservação de tecidos envolve a perfusão arterial com solução de Laskowski.
Provas

Com base no corte histológico mostrado na figura acima, julgue os itens que se seguem.
Todas as células desse tecido apresentam interações com glândulas, apesar de tais estruturas não serem exibidas na figura.
Provas

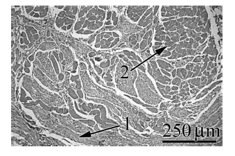
Com base no corte histológico mostrado na figura acima, julgue os itens que se seguem.
A seta 2 mostra células com núcleos periféricos.
Provas

Com base no corte histológico mostrado na figura acima, julgue os itens que se seguem.
A seta 1 indica a presença de tecido conjuntivo denso, rico em fibras colágenas.
Provas

Com base no corte histológico mostrado na figura acima, julgue os itens que se seguem.
Trata-se de uma região que apresenta, simultaneamente, musculatura lisa e estriada, compatível com o terço médio do esôfago.
Provas

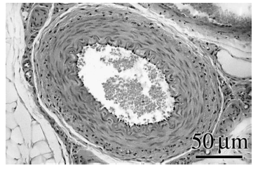
Com base no corte histológico mostrado na figura acima, julgue os itens a seguir.
No limite externo da estrutura encontram-se fibras colágenas e elásticas.
Provas

Com base no corte histológico mostrado na figura acima, julgue os itens a seguir.
Nessa figura, observa-se a presença de uma estrutura chamada túnica interna.
Provas

Com base no corte histológico mostrado na figura acima, julgue os itens a seguir.
esquerda na figura pode ser observado o corte longitudinal de tecido nervoso com aproximadamente 20 :m de diâmetro.
Provas

Com base no corte histológico mostrado na figura acima, julgue os itens a seguir.
A presença de núcleos centrais é característica da camada muscular presente nessa estrutura.
Provas

Com base no corte histológico mostrado na figura acima, julgue os itens a seguir.
Trata-se de um corte histológico transversal de artéria.
Provas
Caderno Container