Foram encontradas 435 questões.
Gestante, 35 anos, G3 A1 P1 (RN de 5 kg há sete anos). Apresenta diabetes gestacional com bom controle em terapia nutricional. Interna por trabalho de parto pré-termo de gestação gemelar dicoriônica/diamniótica de 34 semanas + 3 dias. US obstétrica mostra G1 com peso fetal estimado (PFE) no percentil 70 e G2 com PFE no percentil 5, ambos cefálicos e com bolsão de líquido amniótico ≥ 2 cm e eco-Doppler normal. Ao exame, apresenta sinais vitais estáveis, dinâmica uterina de 2/10 min, toque vaginal sem evolução há 2h: cefálico em -2 de DeLee, dilatação cervical de 7 cm com membranas íntegras. CTG contínua categoria 1. A conduta imediata mais adequada nesse momento é
Provas
Paciente, 25 anos, menarca aos 10 anos, nuligesta, relata ciclos menstruais irregulares longos (chega a fazer períodos de amenorreias) e hirsutismo desde a adolescência. A avaliação laboratorial evidencia prolactina, cortisol urinário e TSH normais, 17-OH-progesterona elevada. IMC = 34 Kg/m2. O provável diagnóstico para este caso é
Provas
Paciente, 67 anos, vem à consulta de revisão. Refere ter feito uso de TH, interrompido há vários anos. Nega fogachos. Nega fraturas prévias ou história familiar de fraturas. Ingere cerca de um litro de leite ao dia e expõe-se regularmente ao sol, sem uso de protetor solar (membros inferiores e superiores). Realiza pilates duas vezes por semana e faz esteira outras duas vezes. Uso crônico de pantoprazol há quatro anos. Ao exame físico: PA 125/80 mmHg, IMC 24 Kg/m2, mamas, abdômen e especular sem alterações. Traz exames recentes: mamografia normal e densitometria óssea com escore T na coluna = -3,1; escore T no colo = -2,3 e escore T do fêmur total = -2,9. Qual a indicação mais adequada para este caso?
Provas
Paciente, 18 anos, refere que nunca menstruou. Traz os seguintes resultados de exames: FSH de 42 UI/L, estradiol de 21 pg/dL e LH de 47 UI/L. Qual o exame complementar a ser solicitado?
Provas
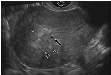
Paciente, 36 anos, relata ocorrência de sangramento aumentado nos últimos dois anos, desde a LT. Tem apresentado coágulos, cólicas e duração de 10 dias do sangramento. Nuligesta. É hipertensa, obesa e tem DM tipo I. Consultou um médico que indicou histerectomia, mas deseja uma segunda opinião, pois não deseja realizar cirurgia. Traz hemograma, mamografia e citopatológico cervical com ASCUS, e ultrassom com a imagem abaixo.

Qual a conduta mais adequada para este caso?
Provas
Paciente, 30 anos, G2P1, IG 28 semanas, é internada na enfermaria obstétrica com diagnóstico de restrição de crescimento fetal. Entre os exames para avaliação, foi realizada ecografia obstétrica com Doppler que evidenciou feto único, cefálico, líquido amniótico em quantidade reduzida, peso fetal estimado de 890 g (P2), artérias umbilicais com fluxo diastólico retrógrado (diástole reversa) e Doppler venoso conforme figura abaixo.

A conduta mais adequada para este caso é
Provas
Primigesta, 23 anos, IG 33 semanas, sem comorbidades e com adequado acompanhamento pré-natal, sem alergias, chega à emergência obstétrica referindo contrações uterinas regulares iniciadas há aproximadamente quatro horas. Nega perda de líquido e sangramento vaginal e refere boa movimentação fetal. Ao exame físico da chegada, há sinais vitais dentro da normalidade, dinâmica uterina de três contrações em 10 minutos, BCF 145 bpm e toque vaginal evidenciando colo médio, 80% apagado e dilatação de 4 cm. Quanto ao manejo dessa paciente, podemos afirmar que:
Provas
Puérpera, 36 horas após cesariana por desproporção cefalopélvica, apresenta pico febril de 39°C, associado a tremores e dor em baixo ventre. Internada com recém-nascido em alojamento conjunto, sem intercorrências em relação ao aleitamento. Ao exame, refere dor à mobilização do colo uterino durante o toque vaginal e hemograma com 19.000 leucócitos sem desvio à esquerda. Qual a conduta mais adequada para este caso?
Provas
Paciente, 30 anos, G2C1 (cesárea há quatro anos por apresentação pélvica), IG 40 semanas, IMC 36 Kg/m², com diagnóstico de diabete gestacional controlada com dieta, sem outras intercorrências no pré-natal, interna para indução do trabalho de parto com ocitocina endovenosa. Evolui para parto vaginal com episiotomia após 10 horas de indução, com nascimento de feto masculino, pesando 3595 g, Apgar 8/9. Após a dequitação, paciente evolui com sangramento aumentado, mal-estar e sudorese. Aferidos os sinais vitais: PA 90/50 mmHg, FC 110 bpm, Tax 36,3º C. Faz parte do manejo dessa paciente:
Provas
Paciente, 19 anos, secundigesta, IG 22 semanas, com diagnóstico de gestação gemelar monocoriônica e diamniótica, chega para realização de exame ecográfico de rotina no seu pré-natal. Durante o exame, é evidenciado maior bolsão vertical de 10 cm em um dos fetos e maior bolsão vertical de 1 cm no outro, não sendo visualizada a bexiga nesse último. Qual o diagnóstico mais provável e o tratamento mais eficaz para este caso?
Provas
Caderno Container