Foram encontradas 1.269 questões.
O recém-nascido recebe na sua primeira hora de vida a administração da vitamina K, que é a forma de prevenção de qual patologia do neonato?
Provas
A elucidação dos diferentes tipos celulares, bem como suas organelas e demais componentes intra e extracelulares, teve grande auxílio devido à invenção da microscopia eletrônica pelo físico alemão Ernst Ruska (1931). Considerando o limite de resolução do olho humano (0,2 mm), do microscópio óptico (200 nm) e microscopia eletrônica de transmissão (0,2 nm), relacione a Coluna 1 à Coluna 2.
Coluna 1
1. Olho nu.
2. Microscopia de luz.
3. Microscopia eletrônica de varredura.
Coluna 2
( ) Óvulo humano maduro.
( ) Coronavírus (Covid-19). ( ) Yersinia pestis, bactéria causadora da peste negra.
( ) Vírus do sarampo.
( ) Complexo de Golgi.
A ordem correta de preenchimento de parênteses, de cima para baixo, é:
Provas
Sobre a detecção de antígeno do vírus da dengue, assinale a alternativa correta.
Provas
Uma vítima de queda de 10m de altura é admitida no pronto-socorro. A equipe do pré-hospitalar relata que o paciente estava inconsciente na cena, onde foi intubado, e, durante o transporte, evoluiu com dessaturação e hipotensão. Na avaliação inicial na chegada ao hospital, também se identifica estase jugular. Enquanto ocorre o atendimento inicial, um membro da equipe de atendimento se adianta e realiza o e-FAST (extended-FAST) e sinaliza que não há líquido livre na cavidade peritoneal nem hemopericárdio. Ele solicita ajuda para interpretar as imagens torácicas obtidas na região paraesternal em modo M (vide figuras). Diante apenas das imagens apresentadas, e das orientações propostas pelo ATLS, deve-se realizar:

Provas
De acordo com o Art. 65 da Lei nº 8.666/1993, em caso de alteração unilateral do contrato, através de termo aditivo que aumente os encargos, a Administração Pública deverá:
Provas
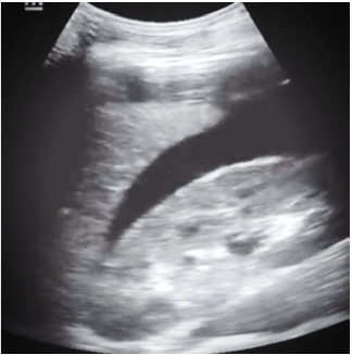
Paciente masculino de 18 anos com história de agressão física com chutes na região abdominal. Na avaliação inicial, observa-se pulsos cheios e rítmicos, e boa perfusão periférica, sem sudorese ou palidez, frequência cardíaca de 78bpm e saturação de O2 de 97% em ar ambiente. O esfigmomanômetro não está disponível. Realizado um FAST (focused assessment with sonography for trauma), que identifica a imagem abaixo. Qual alternativa contempla a conduta mais adequada nesse momento?

Provas
Retalhos cirúrgicos são feitos para conseguir acesso cirúrgico a uma área ou para mover o tecido de um local para outro. Vários princípios básicos de projeto de retalho devem ser seguidos para prevenir as complicações da cirurgia de retalho. Sobre o assunto, analise as assertivas abaixo e assinale V, se verdadeiras, ou F, se falsas.
( ) A necrose no retalho pode ser evitada se o cume do retalho não for menor que a base.
( ) A necrose também pode ser evitada se a base dos retalhos não for excessivamente torcida, esticada ou apertada com qualquer coisa que possa danificar os vasos, pois essas manobras podem comprometer a alimentação de suprimento de sangue e drenar o retalho, assim como os delicados linfáticos.
( ) A deiscência da margem do retalho é prevenida pela aproximação das bordas do retalho sobre o osso saudável, ao manusear gentilmente as bordas do retalho, e não colocando o retalho sobre pressão.
( ) Se um retalho de envelope não oferecer acesso suficiente, outra incisão não deve ser realizada, pois teremos dilaceração do retalho.
A ordem correta de preenchimento dos parênteses, de cima para baixo, é:
Provas
Em relação ao Transtorno de Déficit de Atenção/Hiperatividade (TDAH), assinale a alternativa INCORRETA.
Provas
Na diferenciação entre choque neurogênico e hipovolêmico na avaliação do trauma na coluna, temos:
Provas
A infecção do trato urinário, associada ao cateter vesical (ITU- AC), é uma das causas prevalentes de Infecção Relacionada à Assistência à Saúde. Conforme a Agência Nacional de Vigilância Sanitária – ANVISA, são medidas para prevenção de ITU- AC, EXCETO:
Provas
Caderno Container