Foram encontradas 1.269 questões.
Analise as assertivas sobre colesteatoma:
I. O colesteatoma congênito apresenta-se como uma massa esbranquiçada medial a uma membrana timpânica sempre íntegra.
II. A maioria dos colesteatomas adquiridos primários se desenvolvem na pars flácida da membrana timpânica.
III. O colesteatoma adquirido secundário se origina a partir de uma bolsa de retração, normalmente no quadrante posterossuperior.
Quais estão corretas?
Provas
A curva de magnetização mostra a densidade de fluxo B em decorrência do aumento da intensidade do campo magnético H. A razão entre B e H define a:
Provas
A infecção é a causa mais comum de morte no recém-nascido de extremo baixo peso no nascimento. A sepse neonatal pode ser classificada em sepse precoce e sepse tardia. Em relação a isso, analise as assertivas abaixo:
I. Com a progressão da sepse, podemos encontrar como sinais clínicos: alterações gastrointestinais, instabilidade térmica, taquicardia, dispneia, respiração acidótica.
II. São fatores de risco para sepse neonatal: febre materna durante o trabalho de parto, sexo masculino, pois tem 2 a 6 vezes maior chance de desenvolver sepse do que o sexo feminino.
III. Asfixia perinatal: a hipóxia e acidose diminuem o mecanismo de defesa do hospedeiro, podendo contribuir para a ocorrência da sepse.
IV. São medidas de tratamento: controle da glicemia, controle da temperatura, início precoce de antibioticoterapia, balanço hídrico e aporte adequado de oxigenoterapia.
Quais estão corretas?
Provas
A mutação germinativa em TP53 que causa carcinoma adrenocortical de mau prognóstico em crianças e é mais comum nas regiões Sul e sudeste do Brasil é:
Provas
Sobre a esclerose múltipla na criança, analise as assertivas abaixo:
I. Não acomete pessoas com menos de 10 anos de idade.
II. Diferentemente do que no adulto, a pleocitose e bandas oligoclonais no líquor não ocorrem.
III. É uma doença desmielinizante crônica do encéfalo, caracterizada por curso remitente-recorrente de eventos neurológicos e com encefalopatia intensa e grave.
Quais estão INCORRETAS?
Provas
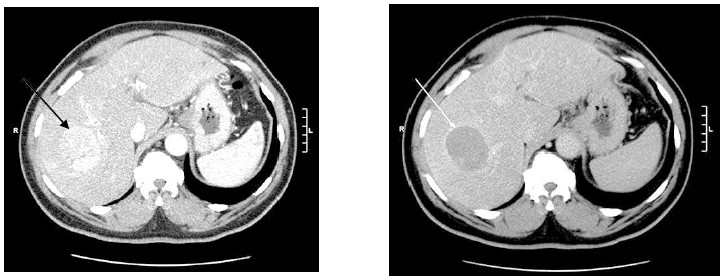
Homem de 63 anos, com história de cirrose por hepatite viral C, apresenta em exame de rotina três nódulos hepáticos que têm as mesmas características de realce à tomografia de abdome trifásica, dois deles no lobo esquerdo e um no direito. Essas lesões medem 2,1 cm, 2,3 cm e 4,7 cm, estando esta última representada no exame abaixo. Não há sinais tomográficos de trombose portal ou acometimento extra-hepático. Seu escore de Child é A (6 pontos), e seu Performance Status é 0. Sobre esse caso clínico, assinale a alternativa correta entre as abaixo.

Provas
Muito se fala em gerência de projetos, administração de etapas, controle de trabalho. Dentro destes itens também é mencionado muitas vezes no Scrum o termo Burndown da Sprint. Sobre esse termo, é correto afirmar que:
Provas
A Comunicação interatrial tipo “seio venoso” ocorre em aproximadamente 10% dos casos de comunicação interatrial. Assinale a alternativa que apresenta a lesão que acompanha esta patologia mais frequentemente.
Provas
“Promover e proteger a saúde da criança e o aleitamento materno, mediante a atenção e cuidados integrais e integrados, da gestação aos 9 (nove) anos de vida, com especial atenção à primeira infância e às populações de maior vulnerabilidade, visando à redução da morbimortalidade e um ambiente facilitador à vida com condições dignas de existência e pleno desenvolvimento” é o objetivo da:
Provas
Conforme a Lei Federal nº 12.305/2010, na gestão e gerenciamento de resíduos sólidos, deve ser observada a seguinte ordem de prioridade, EXCETO:
Provas
Caderno Container