Foram encontradas 2.214 questões.
Em relação à comunicação interventricular (CIV), analise as afirmativas a seguir e assinale (V) para a verdadeira e (F) para a falsa.
( ) A CIV peri-membranosa pequena, mesmo sem hiperfluxo significativo, pode ter indicação cirúrgica se desencadear prolapso da cúspide aórtica.
( ) CIVs musculares pequenas, identificadas ao ecocardiograma fetal, não fecham espontaneamente.
( ) Um escolar com CIV peri-membranosa ampla não corrigida que vem progressivamente necessitando de doses menores de diuréticos e com melhora dos sinais de insuficiência cardíaca deve ser avaliado para hipertensão pulmonar.
As afirmativas são, na ordem apresentada, respectivamente,
Provas
Assinale a localização mais provável de um meningioma que provoca paresia de um membro superior seguida de paresia do membro inferior homolateral e paresia do membro inferior contralateral.
Provas
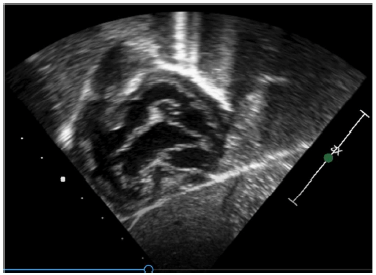
Assinale a opção que contém a afirmação que pode ser seguramente obtida, a partir da imagem ecocardiográfica a seguir.

Provas
Um lactente de 4 meses chega à emergência apresentando irritabilidade e cianose central, com saturação de oxigênio de 48%. A mãe relata que a criança é portadora de cardiopatia e está aguardando cirurgia. Estava bem, porém apresentou quadro viral acompanhado de vômitos e diarreia nas últimas 48 horas.
Sobre este caso, analise as afirmativas a seguir.
I. Provavelmente trata-se de Tetralogia de Fallot e a criança apresenta no momento crise hipóxica desencadeada por desidratação. Deve ser tratado com reposição volumétrica, além de medidas específicas.
II. Provavelmente trata-se de Tetralogia de Fallot e, no momento, a criança está em insuficiência cardíaca descompensada. Deve ser tratado com restrição hídrica e diuréticos.
III. O tratamento imediato inclui, entre outras medidas, colocar a criança em posição genupeitoral.
Está correto o que se afirma em
Provas
Em relação aos segmentos da artéria cerebral posterior, assinale a afirmativa correta.
Provas
Em relação à endocardite infecciosa, assinale a afirmativa incorreta.
Provas
Assinale a melhor indicação de implante de diversor de fluxo, para um aneurisma não roto.
Provas
Com a qualidade das imagens de angiografia por tomografia (“angiotomografia”), a angiografia digital diagnóstica nos aneurismas cerebrais teve sua indicação reduzida. Dentre as situações abaixo, assinale a que ainda constituiu vantagem da angiografia sobre a angiotomografia.
Provas
Considerando o comportamento biológico dos meningiomas intracranianos, assinale a opção que indica o que tem comportamento mais benigno.
Provas
Paciente masculino, 59 anos, internado por Covid-19 grave, submetido a intubação orotraqueal no 2º dia de internação, em unidade de terapia intensiva. Nos 7 dias anteriores à internação hospitalar fez uso combinado de ivermectina e hidroxicloroquina em altas doses.
No momento, recebendo infusão de sedoanalgesia com midazolam e fentanil, além de bloqueio neuromuscular com rocurônio. Eletrocardiograma solicitado pela rotina médica demonstra prolongamento importante do intervalo QT, gernado preocupação com o risco de arritmias ventriculares do tipo Torsade de Pointes.
Sobre este tema, assinale a afirmativa correta.
Provas
Caderno Container