Foram encontradas 2.214 questões.
Em relação ao tronco arterial comum, analise as afirmativas a seguir.
I. É uma patologia que pode cursar tanto com hipofluxo quanto com hiperfluxo pulmonar, dependendo das variações anatômicas encontradas.
II. A valva semilunar única (valva truncal) é frequentemente displásica, com estenose, regurgitação ou ambos, o que contribui para a fisiopatologia da doença.
III. Anomalias do arco aórtico, das artérias coronárias, persistência de canal arterial e comunicação interventricular são associações comuns.
Está correto o que se afirma em
Provas
Leia o trecho a seguir.
Na transposição congenitamente corrigida dos grandes vasos, existe átrio-ventricular e ventrículoarterial. Estes pacientes evoluem a médio e longo prazo com disfunção do ventrículo (sistêmico) e é uma arritmia frequente.
Assinale a opção que apresenta os termos que completam corretamente as lacunas do trecho acima.
Provas
Recém-nascido com 36 horas de vida, com diagnóstico de transposição dos grandes vasos com septo interventricular íntegro, está evoluindo com piora da cianose e acidose metabólica grave. Já foi iniciada infusão de prostaglandina.
Assinale a opção que indica a melhor conduta imediata.
Provas
O exame de ressonância magnética abaixo é de uma paciente de 20 anos de idade com hemianopsia bitemporal e uma dosagem de prolactina de 50 ng/ml sem outras alterações hormonais.

O melhor tratamento para esta paciente é
Provas
Assinale a afirmativa correta.
Provas
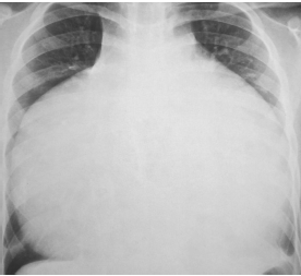
Um escolar de 10 anos tem história de cansaço aos esforços, que vem piorando progressivamente, e palpitações. Ao exame físico há hepatomegalia importante, turgência jugular e saturação de O2 de 89%. A ausculta cardíaca revela um sopro sistólico em borda paraesternal esquerda baixa. O eletrocardiograma mostra ondas P amplas e intervalo PR prolongado.
A radiografia de tórax está reproduzida abaixo.

Assinale a opção que mostra o diagnóstico mais provável.
Provas
Sobre a síndrome de Kawasaki, assinale a afirmativa incorreta.
Provas
No acesso retrosigmoide-transmeatal para o neurinoma vestibular, a localização do nervo facial, por ordem de maior frequência, é
Provas
Paciente de 38 anos com história de cardiopatia não corrigida é submetido a cateterismo cardíaco que mostrou os seguintes dados:
| Pressão (mmHg) | Saturação O2 | |
| AD | (10) | 65% |
| AE | (11) | 100% |
| VE | 100/12 | 100% |
| VD | 110/10 | 65% |
| AP | 110/40 (57) | 65% |
| Aorta ascendente | 100/50 (65) | 100% |
| Aorta descendente | 101/50 (66) | 88% |
Assinale a opção que indica o diagnóstico provável.
Provas
Em relação às técnicas de instrumentação para fixação C1-C2, assinale a afirmativa correta.
Provas
Caderno Container