Foram encontradas 37 questões.
Primeiro escore a ser utilizado em larga escala para estratificar a gravidade de uma pancreatite aguda, ainda hoje é de grande valia na prática clínica. Estes são os critérios de Ranson, os quais possuem a intenção de estimar prognóstico dos pacientes admitidos com pancreatite aguda. Considere os critérios de Ranson na admissão e após 48h. Assim, relacione a Coluna 1 à Coluna 2.
Coluna 1
1. Critério avaliado na admissão.
2. Critério avaliado às 48h.
Coluna 2
(_) Aumento do BUN (ureia nitrogenada no sangue) >2 mg/dl.
(_) Idade >70 anos.
(_) Déficit de bases >5 mEq/l.
(_) Glicemia >220 mg/dl.
(_) Queda do hematócrito >10%.
(_) AST >250 U/I.
(_) GB (glóbulos brancos) >18.000/mm3 .
(_) Cálcio <8 mg/dl.
(_) pO2 <60 mmHg.
(_) LDH >250 U/I.
(_) Perda de fluidos >4L.
A ordem correta de preenchimento dos parênteses, de cima para baixo, é:
Provas
Um paciente de 25 anos, sem histórico prévio de doenças crônicas, chega ao pronto atendimento com queixa de palpitações, dor torácica ventilatório-dependente, tosse produtiva e prostração. O plantonista iniciou o atendimento com os seguintes sinais vitais: TA 110x74, FR 23, Tax. 39,2ºC e Sat. O2 98%. Foi realizado um ECG, apresentado abaixo.

Com base nesses dados, assinale a alternativa correta.
Provas
O conhecimento dos princípios básicos do ECG é de fundamental importância na prática clínica. Analise a imagem abaixo e, logo após, as assertivas feitas.

I. O traçado do ECG acima é de ritmo sinusal.
II. O complexo QRS é estreito.
III. A seta assinala o traçado elétrico correspondente à repolarização ventricular.
IV. A frequência cardíaca estimada é de 75 bpm.
Quais estão corretas?
Provas
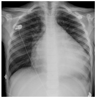
No raciocínio clínico, é importante o conjunto da anamnese, exame físico e exames complementares, eventualmente solicitados. Considere uma pessoa assintomática, em avaliação de rotina, para a qual foram solicitados exames gerais. A radiografia de tórax trazida é a disposta abaixo. Analise-a.

Com base, unicamente, na radiografia acima, podemos inferir que:
Provas
Considerando a Resolução CFM nº 2.217/2018, isto é, o Código de Ética Médica atual, analise as assertivas abaixo:
I. O médico pode realizar pesquisas em comunidade, mesmo sem informá-la previamente sobre a natureza da investigação, desde que seja vinculado à rede pública de saúde. Nesse caso, está autorizada, igualmente, a pesquisa que não atenda ao objetivo de proteção à saúde pública.
II. O médico pode expedir documento sem ter praticado ato profissional que o justifique, desde que não seja tendencioso e que corresponda à verdade.
III. O médico poderá utilizar formulários do SUS para atestar, prescrever e solicitar exames ou procedimentos na sua clínica particular, pois a rede de saúde do SUS é universal.
IV. O médico não deve atestar o óbito quando não o tenha verificado pessoalmente, ou quando não tenha prestado assistência ao paciente, salvo, no último caso, se o fizer como plantonista, médico substituto ou em caso de necropsia e verificação médico-legal.
V. O médico deve dar ao paciente ou, na sua impossibilidade, a seu representante legal, acesso a seu prontuário. Igualmente, deve lhe fornecer cópia quando solicitada, bem como fornecer explicações necessárias à sua compreensão, salvo quando ocasionarem riscos ao próprio paciente ou a terceiros.
Quais estão corretas?
Provas
De acordo com a Portaria de Consolidação nº 3/2017, a qual contém a consolidação das normas sobre as redes do Sistema Único de Saúde, as quais podem ser “Temáticas de Atenção à Saúde”, “Serviços de Saúde” e “Pesquisa em Saúde”, relacione a Coluna 1 à Coluna 2.
Coluna 1
1. Redes Temáticas de Atenção à Saúde.
2. Redes de Serviço de Saúde.
3. Redes de Pesquisa em Saúde.
Coluna 2
(_) Redes Estaduais de Assistência à Saúde do Idoso.
(_) Rede de Atenção Psicossocial.
(_) Rede Interagencial de Informações para a Saúde (RIPSA).
(_) Rede Nacional de Terapia Celular (RNTC).
(_) Rede Cegonha.
(_) Rede de Ensino para a Gestão Estratégica do Sistema Único de Saúde (REGESUS).
(_) Rede de Atenção às Urgências e Emergências (RUE).
(_) Rede Nacional de Atenção Integral à Saúde do Trabalhador (RENAST).
A ordem correta de preenchimento dos parênteses, de cima para baixo, é:
Provas
Um certo estudo foi desenvolvido numa população, para determinar a prevalência e os fatores sociodemográficos associados à depressão. A coleta de dados foi a partir de um questionário aplicado à população escolhida, para identificar os indivíduos com depressão em uma amostra representativa, conforme critérios de delineamento definidos pelos pesquisadores. Verificou-se que os episódios depressivos atuais estavam associados ao sexo (maior prevalência no sexo feminino, em comparação ao sexo masculino), à idade (maior prevalência nos mais velhos, em comparação aos mais jovens) e à condição atual de trabalho (maior prevalência entre aqueles que não estavam trabalhando, em comparação aos que estavam). As determinações do episódio depressivo atual e da ocupação foram feitas simultaneamente, ou seja, não foi possível saber se a ausência de trabalho foi anterior ou posterior ao surgimento do episódio depressivo. Com base no enunciado, analise as assertivas abaixo:
I. A descrição é de um estudo de coorte, pois analisa de modo prospectivo a população estudada.
II. Nesse estudo não é possível saber se a exposição antecede ou é consequência da doença/condição relacionada à saúde. Portanto, esse delineamento é fraco para determinar associações do tipo causa-efeito.
III. O estudo narrado pode identificar pessoas e características passíveis de intervenção e gerar hipóteses de causas de doenças.
Quais estão corretas?
Provas
Caderno Container