Magna Concursos

Foram encontradas 502 questões.

3809193 Ano: 2024
Disciplina: Medicina
Banca: VUNESP
Orgão: FICSAE

Paciente de 8 anos estava brincando em mata fechada quando referiu ter “pisado em um espinho”. Sentiu uma dor leve-moderada no local, mas continuou brincando. Cerca de 3 horas depois, foi levado as pressas ao pronto-socorro com muita dor no pé, urina avermelhada e sangramento gengival. Ao exame físico, sinais inflamatórios importantes em pé direito (edema, bolhas e equimoses).

Frente a essa história e achados clínicos, qual é o agente peçonhento mais provável nesse caso?

 

Provas

Questão presente nas seguintes provas
3809192 Ano: 2024
Disciplina: Medicina
Banca: VUNESP
Orgão: FICSAE
Em um serviço de emergência, lactente de 6 meses e admitido com sinais rebaixamento do nível de consciência, sudorese e palidez cutânea há, aproximadamente, 2 horas. Mãe refere que notou início dos sintomas após realizar inalação com salbutamol, prescrita por suposta bronquiolite (sic). Ao exame físico, criança em mau estado geral, pálida, FC = 220 bpm, pulsos finos, tempo de enchimento capilar de 5 segundos, PA = 64 x 33 (43) mmHg, FR = 60 ipm, sem alterações na ausculta pulmonar. Ao ser monitorizado obtém-se o ritmo cardíaco a seguir.

Enunciado 4584206-1
 (Arquivo pessoal; imagem usada com autorização) 

Assinale a alternativa que contenha a conduta mais adequada para o caso, de acordo com as melhores práticas segundo o PALS (Pediatric Advanced Life Support).
 

Provas

Questão presente nas seguintes provas
3809191 Ano: 2024
Disciplina: Medicina
Banca: VUNESP
Orgão: FICSAE
Menino de 10 anos, com antecedente de encefalopatia crônica não evolutiva e epilepsia de difícil controle, dá entrada no pronto-socorro com convulsão tônico-clônica generalizada, sem outros sintomas. Mãe refere que a criança está convulsionando há cerca de 30 minutos, tempo que demorou para chegar ao hospital. Admitido na sala de emergência, precisou de duas doses de midazolam intramuscular (0,3 mg/kg cada) para resolução das crises. Cerca de 30 minutos depois, paciente mantém--se sonolento (estimada escala de coma de Glasgow de 10), com pupilas mióticas, sem nistagmo, sialorreico, FR = 14 ipm, SatO2 = 98% em máscara de Venturi a 50%, sem sinais de desconforto respiratório, FC = 82 bpm, PA = 90 x 42 (65) mmHg.

 Considerando o quadro atual, assinale a alternativa que descreve a conduta mais adequada para esse paciente.
 

Provas

Questão presente nas seguintes provas
3809190 Ano: 2024
Disciplina: Medicina
Banca: VUNESP
Orgão: FICSAE
Lactente de 1 ano com diagnóstico de bronquiolite com sinais evidentes de desconforto respiratório. Apesar das medidas de suporte, ausência de melhora clínica e necessidade de intubação (IOT); logo após o procedimento, apresentou melhora da saturação de oxigênio e do padrão respiratório e foi acoplado à ventilação mecânica com parâmetros elevados. Aproximadamente 1 hora depois, iniciou com piora progressiva da saturação (queda sustentada até 78%), diminuição da ausculta pulmonar e da expansibilidade à esquerda, com respiração assincrônica. Averiguada posição da cânula, adequada e não obstruída. Exame físico com aparente piora hemodinâmica, FC = 174 bpm, PA = 64 x 32 (40) mmHg e pulsos finos. Realizada radiografia de tórax a seguir.

Enunciado 4584204-1
 (Arquivo pessoal; imagem usada com autorização) 


Considerando os dados apresentados, assinale a alternativa que descreve a melhor conduta para a condição atual do paciente.
 

Provas

Questão presente nas seguintes provas
3809189 Ano: 2024
Disciplina: Medicina
Banca: VUNESP
Orgão: FICSAE
Criança de 4 anos, sexo feminino, apresenta queixas de dor abdominal, perda de peso e distensão abdominal. Relatos parentais de cansaço e febre ocasional nas ultimas duas semanas. A palpação do abdome revela massa de cerca de 5 cm em hipocôndrio esquerdo, firme e indolor, confirmada por meio de ultrassonografia de abdome.

Considerando as principais causas de neoplasia abdominal sólida, qual destas alternativas é verdadeira na diferenciação entre elas?
 

Provas

Questão presente nas seguintes provas
3809188 Ano: 2024
Disciplina: Medicina
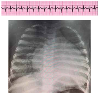
Banca: VUNESP
Orgão: FICSAE
Lactente de 6 meses com tosse, coriza e desconforto respiratório progressivo há 2 dias (chega a ficar “roxinho” nos lábios quando mama, segundo a mãe). Nega internações ou problemas de saúde prévios. Foi trazido ao pronto-socorro devido a piora do desconforto, palidez cutânea e inapetência, com importante comprometimento do estado geral. Ao exame físico, está em mau estado geral, descorado +++/4+, extremidades frias, tempo de enchimento capilar de 5 segundos, pulsos finos, FC = 200 bpm, PA = 62 x 33 (43) mmHg, SatO2 = 87% em ar ambiente, FR = 68 ipm, ausculta pulmonar com estertores crepitantes em bases e ausculta cardíaca com bulhas rítmicas normofonéticas com sopro sistólico +/6+ em borda esternal esquerda. Obtido ritmo cardíaco e radiografia de tórax a seguir.

Enunciado 4584195-1
(Arquivo pessoal; imagens usadas com autorização)

Com base nos dados apresentados, assinale a alternativa que contenha a hipótese diagnóstica mais provável e a conduta mais adequada para o caso.
 

Provas

Questão presente nas seguintes provas
3809187 Ano: 2024
Disciplina: Medicina
Banca: VUNESP
Orgão: FICSAE
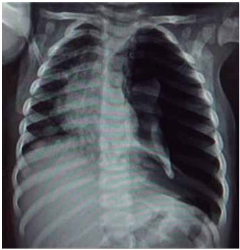
Paciente de 6 anos com quadro de febre alta há 1 semana (máximo de 40 ºC), tosse produtiva, dor torácica e desconforto respiratório progressivo. Ao exame físico, apresentava ausculta reduzida em todo hemitórax direito, com percussão hipertimpânica em terços médio e superior e maciça em terço inferior. Hemitórax esquerdo sem alterações de propedêutica pulmonar. Solicitada radiografia de tórax a seguir.

Enunciado 4584181-1
(Arquivo pessoal; imagem usada com autorização)

Com base nos dados apresentados, assinale a alternativa que descreve o diagnóstico mais provável para o caso.
 

Provas

Questão presente nas seguintes provas
3809186 Ano: 2024
Disciplina: Medicina
Banca: VUNESP
Orgão: FICSAE

Adolescente de 13 anos previamente hígido, com queixa de dor abdominal recorrente e diarreia crônica há, aproximadamente, 4 meses. A dor é persistente e acompanhada por distensão abdominal e inapetência na maior parte do tempo. As evacuações ocorrem cerca de 4 a 6 vezes por dia, sempre semilíquidas, por vezes com a presença de sangue. O paciente perdeu 6 kg neste período e se mantém com a mesma estatura de 6 meses atrás; refere fadiga persistente e dores articulares em tornozelos e joelhos. Ao exame físico, observa-se palidez cutânea e sensibilidade à palpação abdominal difusa. Sem referencias de doenças semelhantes em familiares ou contatos próximos. Carteira de vacinação completa e atualizada.

Considerando a principal hipótese diagnóstica, espera-se encontrar na investigação laboratorial e/ou de imagens:

 

Provas

Questão presente nas seguintes provas
3809185 Ano: 2024
Disciplina: Medicina
Banca: VUNESP
Orgão: FICSAE

Criança de 5 anos, sexo masculino, com sintomas de cansaço excessivo, palidez progressiva e febre intermitente nas últimas semanas. Os pais relatam que ele tem estado mais irritado e menos ativo do que o habitual, e recentemente notaram pequenas manchas roxas na pele. Ao exame físico, apresenta petéquias dispersas por todo o corpo, hepatomegalia a 3 cm do rebordo costal direito, esplenomegalia a 2 cm do rebordo costal esquerda, palidez mucocutânea e irritabilidade.

Qual dos seguintes achados mais provavelmente confirma o diagnóstico nessa criança?

 

Provas

Questão presente nas seguintes provas
3809184 Ano: 2024
Disciplina: Medicina
Banca: VUNESP
Orgão: FICSAE

A síndrome torácica aguda (STA) é uma das principais causas de morte em pacientes com doença falciforme. Definida como uma nova opacidade pulmonar na radiografia de tórax acompanhada de febre e/ou sintomas respiratórios, a STA em adultos requer tratamento imediato para prevenir deterioração clínica e morte.

Em face do exposto, assinale a alternativa correta a respeito da STA.

 

Provas

Questão presente nas seguintes provas