Foram encontradas 502 questões.
Provas
RN do sexo feminino, filha de mãe com diabetes gestacional controlada com dieta, nasceu com 39 semanas, pesando 3 850 g, Apgar 9/10, sem necessidade de manobras de reanimação e amamentada já em sala de parto. Devido ao risco de hipoglicemia, foi instituído controle de dextro com 1, 3, 6, 12 e 24 horas de vida, com valores de 49, 52, 56, 54 e 59 mg/dL, respectivamente. No momento (30 horas de vida), apresenta-se sem alterações ao exame físico e amamentação efetiva.
A conduta adequada nesse momento é
Provas
RN do sexo masculino, filho de mãe hipertensa grave, nascido de 36 semanas. Peso: 2 450 g, Apgar 9/10, sem necessidade de manobras de reanimação, amamentado já em sala de parto. Apresenta boa sucção, sem vômitos, eliminações satisfatórias. Ao exame físico com 36 horas de vida, pesava 2 350 g e apresentava icterícia zona II; foi realizado BTC com valor de 9,5 mg/dL. (Normograma de Buthani para 36 horas de vida: P40 = 7 / P75 = 8,9 / P95 = 11,1)
A conduta adequada nesse momento é
Provas
Provas
Criança de 3 anos de idade é trazida à unidade de pronto atendimento com queixa de febre de 39 graus e prostração há 2 dias. Ao exame, apresentava-se em regular estado geral, hidratada, corada, acianótica, anictérica, eupneica, com linfonodo cervical anterior de 3 cm móvel, indolor e fibroelástico, e o achado mostrado na imagem a seguir. Ausculta cardiorrespiratória sem alterações.

(Arquivo pessoal; imagem usada com autorização)
Recebe alta com prescrição de amoxicilina por 10 dias, porém retorna em 72h com persistência da febre e demais achados clínicos, e surgimento de exantema maculopapular difuso, vômitos e edema e hiperemia de mãos e pés.
A conduta adequada é:
Provas
Lactente de 3 meses de idade, previamente hígido, é admitido no setor de emergência com história de tosse e coriza há 4 dias, evoluindo com desconforto respiratório hoje. Ao exame, apresenta regular estado geral, hidratado, corado, FC = 157 bpm, FR = 68 ipm, SatO2 87% em ar ambiente, retração subcostal e tiragem de fúrcula, murmúrios vesiculares universalmente audíveis com sibilos e estertores difusos, ritmo cardíaco regular em 2 tempos.
Em relação ao tratamento mais adequado, assinale a alternativa correta.
Provas
Adolescente de 12 anos de idade comparece à primeira consulta de hebiatria. Sem acompanhamento regular e sem cartão vacinal. Nega doenças crônicas ou uso de medicações.
Assinale a opção que contém apenas vacinas que devem ser administradas para atualização de cartão vacinal de acordo com o Programa Nacional de Imunizações do Ministério da Saúde.
Provas
(Arquivo pessoal; imagens usadas com autorização)
Em relação à conduta, assinale a alternativa mais correta.
Provas
(Arquivo pessoal; imagem usada com autorização)
Considerando a hipótese diagnóstica e agente etiológico mais provável, a conduta mais adequada é:
Provas
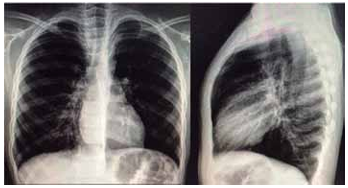
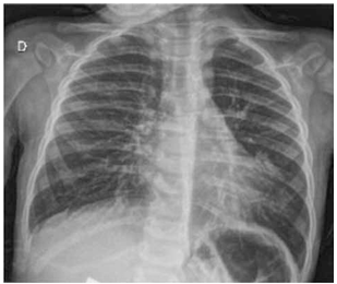
Paciente de 8 anos com asma mal controlada e trazido para avaliação em pronto-atendimento por sintomas de tosse seca e desconforto respiratório há um dia. À admissão, encontra-se em regular estado geral, taquidispneico, com FR = 48 ipm, SatO2 = 86% em ar ambiente; presença de tiragens intercostal e de fúrcula e ausculta pulmonar com sibilos inspiratórios e expiratórios, com tempo expiratório prolongado. Não há prejuízo do nível de consciência. Realizadas três inalações com salbutamol e ipratrópio nas doses adequadas, além de corticoide sistêmico; mantido em máscara não reinalante.
Após todas essas medidas, paciente segue com desconforto respiratório, FR = 44 ipm, SatO2 = 94% em máscara; ausculta pulmonar com o mesmo padrão inicial. Realizada radiografia de tórax a seguir.

(Arquivo pessoal; imagem usada com autorização)
Qual das alternativas a seguir contém a conduta mais adequada a ser realizada no momento?
Provas
Caderno Container