Foram encontradas 50 questões.

Sometimes, it is the very ordinariness of a scene that makes it terrifying. So it was with a clip from a recent BBC documentary on facial recognition technology. A man tries to avoid the cameras, covering his face by pulling up his jacket. He is stopped by the police and forced to have his photo taken. He is then fined £90 for “disorderly behavior”. “What’s your suspicion?” someone asks the police. “The fact that he’s walked past clearly masking his face from recognition,” replies one of the officers. If you want to protect your privacy, it must be because you have something to hide.
There is considerable concern in the west about Chinese tech firms acting as Trojan horses for Beijing. But perhaps we should worry less about the tech companies than about the social use of technology. Because it’s not just in China that “algorithmic governance” is beginning to take hold. As the tech entrepreneur Maciej Ceglowski pointed out before the US Senate, “Until recently, even people living in a police state could count on the fact that the authorities didn’t have enough equipment or manpower to observe everyone, everywhere, and so enjoyed more freedom from monitoring than we do living in a free society today.”
Surveillance is at the heart, too, of “smart cities”. From Amsterdam to Dubai to Toronto, cities are embracing technology to collect data on citizens, ostensibly to make public services and urban spaces function better. But what smart cities also enable is a new form of policing. As the mayor of Rio de Janeiro said of the “integrated urban command centre” built for the 2016 Olympics, the system “allows us to have people looking into every corner of the city, 24 hours a day, seven days a week”.
Buses that run on time and rubbish that is efficiently cleared are good things (in most smart cities, and in Rio as well, neither actually happens). There is, however, more to the good life than an ordered city. Human flourishing requires the existence of a sphere of life outside public scrutiny; not only within the intimacy of the home but also in semi-private spaces such as the workplace or the church or the pub. It’s that kind of space shielded from scrutiny that increasingly is vanishing. As Ceglowski observed, one of the features of the “new world of ambient surveillance” is that “we cannot opt out of it, any more than we might opt out of automobile culture by refusing to drive”. And that is possibly the most disturbing thought of all.
(Kenan Malik. www.theguardian.com, 19.05.2019. Adaptado.)
The second paragraph mentions a contradiction, which is the fact that
Provas

Sometimes, it is the very ordinariness of a scene that makes it terrifying. So it was with a clip from a recent BBC documentary on facial recognition technology. A man tries to avoid the cameras, covering his face by pulling up his jacket. He is stopped by the police and forced to have his photo taken. He is then fined £90 for “disorderly behavior”. “What’s your suspicion?” someone asks the police. “The fact that he’s walked past clearly masking his face from recognition,” replies one of the officers. If you want to protect your privacy, it must be because you have something to hide.
There is considerable concern in the west about Chinese tech firms acting as Trojan horses for Beijing. But perhaps we should worry less about the tech companies than about the social use of technology. Because it’s not just in China that “algorithmic governance” is beginning to take hold. As the tech entrepreneur Maciej Ceglowski pointed out before the US Senate, “Until recently, even people living in a police state could count on the fact that the authorities didn’t have enough equipment or manpower to observe everyone, everywhere, and so enjoyed more freedom from monitoring than we do living in a free society today.”
Surveillance is at the heart, too, of “smart cities”. From Amsterdam to Dubai to Toronto, cities are embracing technology to collect data on citizens, ostensibly to make public services and urban spaces function better. But what smart cities also enable is a new form of policing. As the mayor of Rio de Janeiro said of the “integrated urban command centre” built for the 2016 Olympics, the system “allows us to have people looking into every corner of the city, 24 hours a day, seven days a week”.
Buses that run on time and rubbish that is efficiently cleared are good things (in most smart cities, and in Rio as well, neither actually happens). There is, however, more to the good life than an ordered city. Human flourishing requires the existence of a sphere of life outside public scrutiny; not only within the intimacy of the home but also in semi-private spaces such as the workplace or the church or the pub. It’s that kind of space shielded from scrutiny that increasingly is vanishing. As Ceglowski observed, one of the features of the “new world of ambient surveillance” is that “we cannot opt out of it, any more than we might opt out of automobile culture by refusing to drive”. And that is possibly the most disturbing thought of all.
(Kenan Malik. www.theguardian.com, 19.05.2019. Adaptado.)
In the first paragraph, the word “terrifying” is being used to refer to
Provas

Sometimes, it is the very ordinariness of a scene that makes it terrifying. So it was with a clip from a recent BBC documentary on facial recognition technology. A man tries to avoid the cameras, covering his face by pulling up his jacket. He is stopped by the police and forced to have his photo taken. He is then fined £90 for “disorderly behavior”. “What’s your suspicion?” someone asks the police. “The fact that he’s walked past clearly masking his face from recognition,” replies one of the officers. If you want to protect your privacy, it must be because you have something to hide.
There is considerable concern in the west about Chinese tech firms acting as Trojan horses for Beijing. But perhaps we should worry less about the tech companies than about the social use of technology. Because it’s not just in China that “algorithmic governance” is beginning to take hold. As the tech entrepreneur Maciej Ceglowski pointed out before the US Senate, “Until recently, even people living in a police state could count on the fact that the authorities didn’t have enough equipment or manpower to observe everyone, everywhere, and so enjoyed more freedom from monitoring than we do living in a free society today.”
Surveillance is at the heart, too, of “smart cities”. From Amsterdam to Dubai to Toronto, cities are embracing technology to collect data on citizens, ostensibly to make public services and urban spaces function better. But what smart cities also enable is a new form of policing. As the mayor of Rio de Janeiro said of the “integrated urban command centre” built for the 2016 Olympics, the system “allows us to have people looking into every corner of the city, 24 hours a day, seven days a week”.
Buses that run on time and rubbish that is efficiently cleared are good things (in most smart cities, and in Rio as well, neither actually happens). There is, however, more to the good life than an ordered city. Human flourishing requires the existence of a sphere of life outside public scrutiny; not only within the intimacy of the home but also in semi-private spaces such as the workplace or the church or the pub. It’s that kind of space shielded from scrutiny that increasingly is vanishing. As Ceglowski observed, one of the features of the “new world of ambient surveillance” is that “we cannot opt out of it, any more than we might opt out of automobile culture by refusing to drive”. And that is possibly the most disturbing thought of all.
(Kenan Malik. www.theguardian.com, 19.05.2019. Adaptado.)
The text discusses an issue of worldwide concern in the present days, namely,
Provas
O esquema a seguir é uma representação simplificada de um raio X usado em um aparelho de tomografia computadorizada axial para compor imagens de objetos.

No plano cartesiano com origem no centro do objeto, indicado na figura, a reta do raio X tem equação 3x + 4y – 12 = 0. A distância d, entre o centro do objeto e a reta do raio X, na unidade do plano cartesiano, é igual a
Provas
Uma faixa retangular de 30 cm por 3,14 m deverá ser pintada com um rolo cilíndrico de espuma de largura igual a 10 cm e raio igual a 3 cm.

O número mínimo de giros completos do cilindro para que o rolo passe por toda a área da faixa é, aproximadamente,
Provas
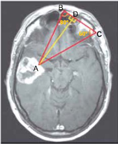
A imagem, obtida por tomografia computadorizada, revela a presença de um tumor cerebral no ponto A. O método de triangulação sobre essa imagem indica que as medidas dos ângulos A!$ \widehat{B} !$C e A!$ \widehat{C} !$B são, respectivamente, 80° e 60°.

(https://drbraindrop.wordpress.com)
Adotando-se tg 60º = m, tg 80º = n e utilizando-se a medida !$ \overline{BC} !$ de igual a !$ \mathcal{l} !$, a distância do ponto A ao segmento de reta !$ \overline{BC} !$ , indicada na figura por !$ \overline{AD} !$ , será igual a
Provas
Considere o gráfico da função f(x) = x5 para os cálculos desta questão.

A cafeína é eliminada da corrente sanguínea de um adulto a uma taxa de, aproximadamente, 15% por hora. Cinco horas após o consumo de um café expresso, que contém 200 mg de cafeína, um adulto ainda terá em sua corrente sanguínea a quantidade aproximada de cafeína de
Provas
Uma peça retangular ABCD, de 10 cm por 12 cm, será dividida em cinco peças, como indica a figura, em que segmentos com as mesmas marcações têm comprimentos iguais. P1 , P2 , P3 , P4 e P5 indicam os perímetros das cinco peças, em centímetros.

Sabendo-se que as cinco peças têm áreas iguais, a soma dos seus perímetros é igual a
Provas
Utilize o texto para responder à questão.
As regras de Clark e Young são muito utilizadas para estabelecer a dosagem pediátrica de uma medicação a partir da dosagem padrão do adulto. Por exemplo, para a dosagem padrão do adulto de 1 grama de certa medicação, a dosagem pediátrica (DP) correspondente será dada de acordo com a seguinte tabela:

(www.toledo.pr.gov.br. Adaptado.)
Para o exemplo da tabela, o gráfico que indica valores iguais de DP nas duas fórmulas está representado pela linha vermelha a seguir, sendo P e i, respectivamente, o peso e a idade da criança:

O domínio da função representada no gráfico é
Provas
Utilize o texto para responder à questão.
As regras de Clark e Young são muito utilizadas para estabelecer a dosagem pediátrica de uma medicação a partir da dosagem padrão do adulto. Por exemplo, para a dosagem padrão do adulto de 1 grama de certa medicação, a dosagem pediátrica (DP) correspondente será dada de acordo com a seguinte tabela:

(www.toledo.pr.gov.br. Adaptado.)
Para o exemplo da tabela, o gráfico que indica valores iguais de DP nas duas fórmulas está representado pela linha vermelha a seguir, sendo P e i, respectivamente, o peso e a idade da criança:

A fórmula da função descrita no gráfico é dada por
Provas
Caderno Container