Foram encontradas 1.670 questões.

Acervo pessoal.
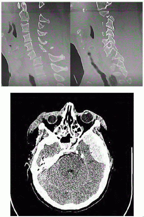
Uma paciente de 27 anos de idade, com 63 kg, previamente hígida, é levada ao hospital pelos bombeiros, em imobilização padrão, após colisão do próprio carro em uma árvore. Queixa-se de cefaleia, cervicalgia e desconforto em ombros/membros superiores. Ao exame inicial, constatam-se AC = RC2T com BNF; FC = 110 bpm; AP = MVF sem RA; FR = 18 irpm; PA = 140 mmHg x 90 mmHg; e SatO2 = 99%. Na avaliação inicial, apresenta abertura ocular espontânea, pupilas isofotorreagentes, com colar cervical, fala confusa, amnésia lacunar e dor à palpação da coluna cervical, obedecendo a comandos, porém com dificuldade de mobilizar braços (força distal 1 e força proximal 4, em ombro e braço direito, e grau 3 à esquerda), com força aparentemente preservada em pernas. É realizada a tomografia computadorizada (TC) de crânio e coluna cervical, segundo as imagens apresentadas.
A respeito desse caso clínico e com base nos conhecimentos médicos correlatos, julgue os itens a seguir.
Após redução facetária e (ou) fixação 360°, espera-se que a paciente tenha alívio parcial da cervicobraquialgia, porém sem apresentar melhora motora, já que o deficit neurológico já está estabelecido.
Provas

Acervo pessoal.
Uma paciente de 27 anos de idade, com 63 kg, previamente hígida, é levada ao hospital pelos bombeiros, em imobilização padrão, após colisão do próprio carro em uma árvore. Queixa-se de cefaleia, cervicalgia e desconforto em ombros/membros superiores. Ao exame inicial, constatam-se AC = RC2T com BNF; FC = 110 bpm; AP = MVF sem RA; FR = 18 irpm; PA = 140 mmHg x 90 mmHg; e SatO2 = 99%. Na avaliação inicial, apresenta abertura ocular espontânea, pupilas isofotorreagentes, com colar cervical, fala confusa, amnésia lacunar e dor à palpação da coluna cervical, obedecendo a comandos, porém com dificuldade de mobilizar braços (força distal 1 e força proximal 4, em ombro e braço direito, e grau 3 à esquerda), com força aparentemente preservada em pernas. É realizada a tomografia computadorizada (TC) de crânio e coluna cervical, segundo as imagens apresentadas.
A respeito desse caso clínico e com base nos conhecimentos médicos correlatos, julgue os itens a seguir.
A TC de controle pós-operatório deverá ser classificada como Marshall V.
Provas

Acervo pessoal.
Uma paciente de 27 anos de idade, com 63 kg, previamente hígida, é levada ao hospital pelos bombeiros, em imobilização padrão, após colisão do próprio carro em uma árvore. Queixa-se de cefaleia, cervicalgia e desconforto em ombros/membros superiores. Ao exame inicial, constatam-se AC = RC2T com BNF; FC = 110 bpm; AP = MVF sem RA; FR = 18 irpm; PA = 140 mmHg x 90 mmHg; e SatO2 = 99%. Na avaliação inicial, apresenta abertura ocular espontânea, pupilas isofotorreagentes, com colar cervical, fala confusa, amnésia lacunar e dor à palpação da coluna cervical, obedecendo a comandos, porém com dificuldade de mobilizar braços (força distal 1 e força proximal 4, em ombro e braço direito, e grau 3 à esquerda), com força aparentemente preservada em pernas. É realizada a tomografia computadorizada (TC) de crânio e coluna cervical, segundo as imagens apresentadas.
A respeito desse caso clínico e com base nos conhecimentos médicos correlatos, julgue os itens a seguir.
A colocação de peso na tração cervical deve ser realizada de forma paulatina e controlada, a fim de se evitarem distração excessiva, instabilidade occipitocervical e (ou) piora do deficit neurológico.
Provas

Acervo pessoal.
Uma paciente de 27 anos de idade, com 63 kg, previamente hígida, é levada ao hospital pelos bombeiros, em imobilização padrão, após colisão do próprio carro em uma árvore. Queixa-se de cefaleia, cervicalgia e desconforto em ombros/membros superiores. Ao exame inicial, constatam-se AC = RC2T com BNF; FC = 110 bpm; AP = MVF sem RA; FR = 18 irpm; PA = 140 mmHg x 90 mmHg; e SatO2 = 99%. Na avaliação inicial, apresenta abertura ocular espontânea, pupilas isofotorreagentes, com colar cervical, fala confusa, amnésia lacunar e dor à palpação da coluna cervical, obedecendo a comandos, porém com dificuldade de mobilizar braços (força distal 1 e força proximal 4, em ombro e braço direito, e grau 3 à esquerda), com força aparentemente preservada em pernas. É realizada a tomografia computadorizada (TC) de crânio e coluna cervical, segundo as imagens apresentadas.
A respeito desse caso clínico e com base nos conhecimentos médicos correlatos, julgue os itens a seguir.
Durante o procedimento cirúrgico craniano, é provável que se observe a artéria meníngea média como causadora do hematoma.
Provas

Acervo pessoal.
Uma paciente de 27 anos de idade, com 63 kg, previamente hígida, é levada ao hospital pelos bombeiros, em imobilização padrão, após colisão do próprio carro em uma árvore. Queixa-se de cefaleia, cervicalgia e desconforto em ombros/membros superiores. Ao exame inicial, constatam-se AC = RC2T com BNF; FC = 110 bpm; AP = MVF sem RA; FR = 18 irpm; PA = 140 mmHg x 90 mmHg; e SatO2 = 99%. Na avaliação inicial, apresenta abertura ocular espontânea, pupilas isofotorreagentes, com colar cervical, fala confusa, amnésia lacunar e dor à palpação da coluna cervical, obedecendo a comandos, porém com dificuldade de mobilizar braços (força distal 1 e força proximal 4, em ombro e braço direito, e grau 3 à esquerda), com força aparentemente preservada em pernas. É realizada a tomografia computadorizada (TC) de crânio e coluna cervical, segundo as imagens apresentadas.
A respeito desse caso clínico e com base nos conhecimentos médicos correlatos, julgue os itens a seguir.
A TC de coluna cervical evidencia uma fratura-luxação C6-C7 classificada como tipo B2-F2, de acordo com a AOSpine.
Provas

Acervo pessoal.
Uma paciente de 27 anos de idade, com 63 kg, previamente hígida, é levada ao hospital pelos bombeiros, em imobilização padrão, após colisão do próprio carro em uma árvore. Queixa-se de cefaleia, cervicalgia e desconforto em ombros/membros superiores. Ao exame inicial, constatam-se AC = RC2T com BNF; FC = 110 bpm; AP = MVF sem RA; FR = 18 irpm; PA = 140 mmHg x 90 mmHg; e SatO2 = 99%. Na avaliação inicial, apresenta abertura ocular espontânea, pupilas isofotorreagentes, com colar cervical, fala confusa, amnésia lacunar e dor à palpação da coluna cervical, obedecendo a comandos, porém com dificuldade de mobilizar braços (força distal 1 e força proximal 4, em ombro e braço direito, e grau 3 à esquerda), com força aparentemente preservada em pernas. É realizada a tomografia computadorizada (TC) de crânio e coluna cervical, segundo as imagens apresentadas.
A respeito desse caso clínico e com base nos conhecimentos médicos correlatos, julgue os itens a seguir.
A paciente possui indicação de neurocirurgia de urgência para drenagem do hematoma temporal e colocação de tração cervical.
Provas

Acervo pessoal.
Uma paciente de 27 anos de idade, com 63 kg, previamente hígida, é levada ao hospital pelos bombeiros, em imobilização padrão, após colisão do próprio carro em uma árvore. Queixa-se de cefaleia, cervicalgia e desconforto em ombros/membros superiores. Ao exame inicial, constatam-se AC = RC2T com BNF; FC = 110 bpm; AP = MVF sem RA; FR = 18 irpm; PA = 140 mmHg x 90 mmHg; e SatO2 = 99%. Na avaliação inicial, apresenta abertura ocular espontânea, pupilas isofotorreagentes, com colar cervical, fala confusa, amnésia lacunar e dor à palpação da coluna cervical, obedecendo a comandos, porém com dificuldade de mobilizar braços (força distal 1 e força proximal 4, em ombro e braço direito, e grau 3 à esquerda), com força aparentemente preservada em pernas. É realizada a tomografia computadorizada (TC) de crânio e coluna cervical, segundo as imagens apresentadas.
A respeito desse caso clínico e com base nos conhecimentos médicos correlatos, julgue os itens a seguir.
A paciente encontra-se em Glasgow 14 e Frankel B.
Provas

Acervo pessoal.
Um paciente de 46 anos de idade, com 82 kg, procura atendimento de urgência por causa de lombociatalgia à esquerda, iniciada pela manhã após esforço físico (o paciente é trabalhador braçal). Relata dificuldade para deambular desde então, principalmente em razão de dor em perna e calcâneo esquerdos. Nega alteração de sensibilidade ou de controle de esfíncteres. Relata lombalgia crônica, porém nega episódios de crises como o atual. Nega outras queixas e alergias. Ao exame neurológico, verificaram-se motricidade, sensibilidade e reflexos aparentemente preservados – limitação da mobilização em MIE pelo quadro álgico, Lasegue positivo a 15 graus à esquerda. O paciente refere dor discreta à palpação da musculatura paravertebral e realizou a ressonância magnética (RM) da coluna lombossacra, conforme se observa na imagem.
Acerca desse caso clínico e tendo em vista os conhecimentos médicos correlatos, julgue os itens a seguir.
Uma radiografia funcional/dinâmica da coluna lombossacra pode ajudar a decidir o plano cirúrgico desse paciente, caso seja indicado cirurgia.
Provas

Acervo pessoal.
Um paciente de 46 anos de idade, com 82 kg, procura atendimento de urgência por causa de lombociatalgia à esquerda, iniciada pela manhã após esforço físico (o paciente é trabalhador braçal). Relata dificuldade para deambular desde então, principalmente em razão de dor em perna e calcâneo esquerdos. Nega alteração de sensibilidade ou de controle de esfíncteres. Relata lombalgia crônica, porém nega episódios de crises como o atual. Nega outras queixas e alergias. Ao exame neurológico, verificaram-se motricidade, sensibilidade e reflexos aparentemente preservados – limitação da mobilização em MIE pelo quadro álgico, Lasegue positivo a 15 graus à esquerda. O paciente refere dor discreta à palpação da musculatura paravertebral e realizou a ressonância magnética (RM) da coluna lombossacra, conforme se observa na imagem.
Acerca desse caso clínico e tendo em vista os conhecimentos médicos correlatos, julgue os itens a seguir.
O tratamento conservador pode ser uma opção, visto que o paciente não possui sinais de alarme, e a patologia em si tende a evoluir, em longo prazo, de forma semelhante, independentemente do tratamento escolhido.
Provas

Acervo pessoal.
Um paciente de 46 anos de idade, com 82 kg, procura atendimento de urgência por causa de lombociatalgia à esquerda, iniciada pela manhã após esforço físico (o paciente é trabalhador braçal). Relata dificuldade para deambular desde então, principalmente em razão de dor em perna e calcâneo esquerdos. Nega alteração de sensibilidade ou de controle de esfíncteres. Relata lombalgia crônica, porém nega episódios de crises como o atual. Nega outras queixas e alergias. Ao exame neurológico, verificaram-se motricidade, sensibilidade e reflexos aparentemente preservados – limitação da mobilização em MIE pelo quadro álgico, Lasegue positivo a 15 graus à esquerda. O paciente refere dor discreta à palpação da musculatura paravertebral e realizou a ressonância magnética (RM) da coluna lombossacra, conforme se observa na imagem.
Acerca desse caso clínico e tendo em vista os conhecimentos médicos correlatos, julgue os itens a seguir.
O paciente apresenta, a nível de L5-S1, uma volumosa hérnia de disco, predominantemente foraminal à esquerda.
Provas
Caderno Container