Foram encontradas 1.670 questões.
A respeito dos temas relacionados a epilepsia, facomatoses, protocolo de morte encefálica, craniossinostose, nervos cranianos e neurofisiologia, julgue os itens a seguir.
A sinostose metópica, também conhecida como trigonocefalia, pode estar relacionada com uma anomalia no cromossomo 19.
Provas
A respeito dos temas relacionados a epilepsia, facomatoses, protocolo de morte encefálica, craniossinostose, nervos cranianos e neurofisiologia, julgue os itens a seguir.
A prova calórica realizada durante o protocolo de morte encefálica consiste em instilar 60 mL - 100 mL de água gelada no ouvido, desde que não se apresente lesão da membrana timpânica. Deve-se esperar pelo menos um minuto pela resposta e aproximadamente cinco minutos antes de se testar o lado oposto.
Provas
A respeito dos temas relacionados a epilepsia, facomatoses, protocolo de morte encefálica, craniossinostose, nervos cranianos e neurofisiologia, julgue os itens a seguir.
A neuralgia do trigêmeo é a síndrome de compressão neurovascular mais comum.
Provas
A respeito dos temas relacionados a epilepsia, facomatoses, protocolo de morte encefálica, craniossinostose, nervos cranianos e neurofisiologia, julgue os itens a seguir.
O espasmo hemifacial e o mioclônus palatal são os únicos distúrbios motores involuntários que persistem durante o sono.
Provas
A respeito dos temas relacionados a epilepsia, facomatoses, protocolo de morte encefálica, craniossinostose, nervos cranianos e neurofisiologia, julgue os itens a seguir.
Pacientes epilépticos cujas crises possuem origem temporal não possuem indicação de tratamento cirúrgico em caso de refratariedade ao tratamento medicamentoso.
Provas
Uma paciente de 19 anos de idade procura atendimento em razão de febre, cefaleia e cervicalgia. Relata estar em tratamento para otite com Clavulin® bd há cinco dias. Ao exame físico, observam-se Glasgow 15; prostração; sem deficits focais; meningismo; temperatura axilar = 38,5 °C; AC = RC2T com BNF; FC = 100 bpm; AP = MVF; roncos de transmissão; FR = 18 irpm; SatO2 = 98%; e hipoacusia à direita. Realizou-se tomografia cumputadorizada (TC) de crânio (com contraste) com urgência, que evidenciou velamento das células aéreas da mastoide à direita e um leve realce pelo contraste na região temporal direita.
Com relação a esse caso clínico e tendo em vistas conhecimentos médicos correlatos, julgue os itens a seguir.
Em uma fase mais tardia, a paciente pode evoluir para abscesso cerebral ou trombose venosa cerebral por causa da progressão da infecção.
Provas
Uma paciente de 19 anos de idade procura atendimento em razão de febre, cefaleia e cervicalgia. Relata estar em tratamento para otite com Clavulin® bd há cinco dias. Ao exame físico, observam-se Glasgow 15; prostração; sem deficits focais; meningismo; temperatura axilar = 38,5 °C; AC = RC2T com BNF; FC = 100 bpm; AP = MVF; roncos de transmissão; FR = 18 irpm; SatO2 = 98%; e hipoacusia à direita. Realizou-se tomografia cumputadorizada (TC) de crânio (com contraste) com urgência, que evidenciou velamento das células aéreas da mastoide à direita e um leve realce pelo contraste na região temporal direita.
Com relação a esse caso clínico e tendo em vistas conhecimentos médicos correlatos, julgue os itens a seguir.
Após a coleta dos exames culturais, deve-se realizar o escalonamento da antibioticoterapia em uso, em razão do comprometimento do sistema nervoso central.
Provas
Uma paciente de 19 anos de idade procura atendimento em razão de febre, cefaleia e cervicalgia. Relata estar em tratamento para otite com Clavulin® bd há cinco dias. Ao exame físico, observam-se Glasgow 15; prostração; sem deficits focais; meningismo; temperatura axilar = 38,5 °C; AC = RC2T com BNF; FC = 100 bpm; AP = MVF; roncos de transmissão; FR = 18 irpm; SatO2 = 98%; e hipoacusia à direita. Realizou-se tomografia cumputadorizada (TC) de crânio (com contraste) com urgência, que evidenciou velamento das células aéreas da mastoide à direita e um leve realce pelo contraste na região temporal direita.
Com relação a esse caso clínico e tendo em vistas conhecimentos médicos correlatos, julgue os itens a seguir.
A coleta de líquor para análises de rotina e culturais não está indicada, visto que se trata de uma mastoidite complicada.
Provas

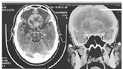
Acervo pessoal.
Considere um paciente de 59 anos de idade, com 90 kg, hipertenso e tabagista. Ele é levado ao hospital por familiares em razão de cefaleia persistente e progressiva. Os familiares relatam, ainda, alteração de comportamento há aproximadamente dois meses, associada à diminuição global de força. Ao exame, o paciente está pouco colaborativo, irritado, com fala inapropriada e hiposmia, sem deficits focais ao exame. Constatam-se AC = RC2T com BNF; FC = 82 bpm; AP = MVF sem RA; FR = 18 irpm; PA = 150 mmHg x 85 mmHg; e SatO2 = 97%. É realizada a tomografia computadorizada (TC) de crânio, conforme a imagem apresentada.
Com base nesse caso clínico e nos conhecimentos médicos correlatos, julgue os itens a seguir.
Lesões com o volume semelhante ao da lesão do caso clínico tendem a evoluir com maior morbimortalidade e dificuldade cirúrgica de ressecção completa.
Provas

Acervo pessoal.
Considere um paciente de 59 anos de idade, com 90 kg, hipertenso e tabagista. Ele é levado ao hospital por familiares em razão de cefaleia persistente e progressiva. Os familiares relatam, ainda, alteração de comportamento há aproximadamente dois meses, associada à diminuição global de força. Ao exame, o paciente está pouco colaborativo, irritado, com fala inapropriada e hiposmia, sem deficits focais ao exame. Constatam-se AC = RC2T com BNF; FC = 82 bpm; AP = MVF sem RA; FR = 18 irpm; PA = 150 mmHg x 85 mmHg; e SatO2 = 97%. É realizada a tomografia computadorizada (TC) de crânio, conforme a imagem apresentada.
Com base nesse caso clínico e nos conhecimentos médicos correlatos, julgue os itens a seguir.
A tomografia evidencia importante edema citotóxico adjacente à lesão, motivo pelo qual se deve iniciar com altas doses de corticoide.
Provas
Caderno Container