Foram encontradas 650 questões.
Considerando-se uma criança com fratura da ulna no terço proximal e luxação da cabeça do rádio, assinalar a alternativa que define esse tipo de fratura CORRETAMENTE:
Provas
Um paciente de 30 anos é trazido ao pronto-socorro após um acidente de carro. Ele está consciente, mas confuso, com uma pontuação de 13 na Glasgow Coma Scale (GCS). Há evidências de trauma cranioencefálico e suspeita de lesão na coluna cervical.
Assim, qual é a primeira abordagem mais apropriada para o manejo deste paciente?
Provas
NÃO faz parte da síndrome clínica encontrada em pacientes com Doença de Parkinson:
Provas
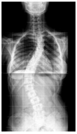
M., 23 anos, apresentou o raio-X abaixo para o seu médico:

É CORRETO afirmar que ele tem:
Provas
A., 70 anos, foi examinada, e o médico constatou suspeita de osteoartrose.
Qual o exame responsável por efetuar o diagnóstico?
Provas
J., 20 anos, sofreu uma lesão ligamentar de 1º grau.
Sendo assim, é CORRETO afirmar que ela sofreu uma:
Provas
A respeito da embriologia do sistema musculoesquelético, assinalar a alternativa INCORRETA:
Provas
M., 46 anos, foi diagnosticada com osteonecrose após uma lesão.
Assinalar a alternativa que NÃO corresponde a um possível tratamento para ela:
Provas
Assinalar a alternativa que preenche a lacuna abaixo CORRETAMENTE:
é uma doença contagiosa aguda causada por vírus que pode infectar crianças e adultos e em casos graves pode acarretar paralisia nos membros inferiores. A vacinação é a única forma de prevenção. Todas as crianças menores de cinco anos devem ser vacinadas. As principais sequelas são: problemas e dores nas articulações, pé torto, crescimento diferente das pernas, entre outros.
Provas
Qual o nome da cobertura indicada nos casos de úlceras venosas de perna?
Provas
Caderno Container