Foram encontradas 650 questões.
Um paciente de 51 anos de idade com angiografia de
radionuclídeos de equilíbrio pré-quimioterápica. A fração de
ejeção ventricular esquerda atual é de 48%. A fração de
ejeção ventricular esquerda anterior foi de 58%. Nesse
contexto, em relação à marcação com tecnécio-99 m dos
glóbulos vermelhos para varreduras de captação por
múltipla comporta, assinalar a alternativa CORRETA:
Provas
Questão presente nas seguintes provas
Por meio de uma avaliação cardíaca anatômica e
funcional dirigida, o ecocardiograma pode fornecer dados de
extrema importância para a compreensão dos mecanismos
subjacentes à instabilidade hemodinâmica de determinado
doente. Em contexto de urgência, são vários os métodos
disponíveis para avaliação da função sistólica do ventrículo
esquerdo, destacando-se, entre outros:
Provas
Questão presente nas seguintes provas
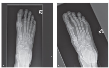
Um paciente de 46 anos compareceu ao setor de
emergência com trauma e dor no pé direito. Após a
realização do exame de imagem, representado abaixo, é
possível chegar à seguinte conclusão:


Provas
Questão presente nas seguintes provas
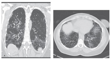
Certo paciente compareceu ao hospital apresentando
dispneia durante exercícios há 5 anos. Assinalar a alternativa
que se refere à categorização CORRETA da tomografia
computadorizada de doença pulmonar fibrótica para esse
paciente:


Provas
Questão presente nas seguintes provas
Na ressonância magnética, o tempo utilizado pelos spins
para se realinharem de acordo com o eixo magnético, ou
tempo de relaxamento longitudinal, é chamado de T1. Ele
depende da transferência de energia para o meio, sendo,
por isso, também chamado de tempo de relaxamento spinrede (lattice). A partir do gráfico abaixo, que representa a
curva do comportamento do T1 — tempo de relaxamento
longitudinal, que ocorre de forma exponencial, e a
intensidade do sinal processada a partir da bobina receptora
de RF, pode-se observar o comportamento craniano em
relação à intensidade de sinal. Sobre a identificação das
curvas do gráfico, assinalar a alternativa CORRETA:


Provas
Questão presente nas seguintes provas
Os parâmetros normatizados para a análise da
densidade óssea são definidos como “índice T” e “índice Z”
(T-score e Z-score). Os índices T e Z são baseados em uma
observação estatística que utiliza a média e o desvio padrão
por meio da análise de uma curva de Gauss, também
conhecida como “curva do sino”, e da distribuição da
população em função dessa curva. Segundo a Organização
Mundial de Saúde (OMS), dentro dos critérios para
diagnóstico da osteoporose de acordo com a densidade
mineral óssea (DMO), é considerado osteopenia quando:
Provas
Questão presente nas seguintes provas
Para a avaliação da função ventricular esquerda regional,
o ventrículo está dividido em segmentos. Esquemas de
segmentação devem refletir territórios de perfusão
coronária, resultar em segmentos com massa miocárdica
comparável e permitir a comunicação padronizada da
ecocardiografia com outras modalidades de imagem. O
modelo de 17 segmentos apresenta a seguinte disposição
(sequência):
Provas
Questão presente nas seguintes provas
A displasia do desenvolvimento do quadril (DDQ) é uma
alteração na formação da articulação do quadril em que a
cabeça do fêmur (esfera que fica na parte superior do
osso) não é mantida com firmeza em seu encaixe no osso da
bacia. Isso pode ocorrer porque os ligamentos e a cápsula da
articulação do quadril, devido a uma grande elasticidade,
não conseguem manter o quadril encaixado. Nesse contexto,
assinalar a alternativa que preenche as lacunas abaixo
CORRETAMENTE:
Um ângulo alfa _____ e cobertura da cabeça femoral ______ são normais para pacientes com ______ semanas de vida. Nas radiografias, o ângulo acetabular é o ângulo complementar para o ângulo alfa em ultrassonografia, portanto o ângulo normal acetabular deve ser _______.
Um ângulo alfa _____ e cobertura da cabeça femoral ______ são normais para pacientes com ______ semanas de vida. Nas radiografias, o ângulo acetabular é o ângulo complementar para o ângulo alfa em ultrassonografia, portanto o ângulo normal acetabular deve ser _______.
Provas
Questão presente nas seguintes provas
Todo o som incidente é refletido ou transmitido em uma
proporção determinada pela diferença de impedância entre
dois meios. Quando existe grande diferença de impedância
sonora entre os dois meios, a maior parte do som é refletida.
Assinalar a alternativa que se refere ao meio de maior
impedância acústica:
Provas
Questão presente nas seguintes provas
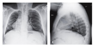
Paciente masculino de 25 anos de idade com achado
incidental em radiografia de tórax (CXR). Diante de tal caso,
o diagnóstico mais provável é:


Provas
Questão presente nas seguintes provas
Cadernos
Caderno Container