Foram encontradas 80 questões.
Milhares de indivíduos de certa espécie de mosquito reproduziam-se somente em água limpa. Depois de algumas gerações, foram encontrados indivíduos dessa mesma espécie sobrevivendo e se reproduzindo em água poluída. Foi constatado que esses indivíduos apresentavam algumas vantagens adaptativas que lhes permitiam a reprodução nesse ambiente poluído, diferentemente do que ocorria com aqueles que só se reproduziam em água limpa. O cruzamento entre esses diferentes mosquitos sempre gerava descendentes férteis. O fato descrito exemplifica um caso de
Provas
Questão presente nas seguintes provas
É correto afirmar que a divisão parassimpática do sistema nervoso autônomo está relacionada
Provas
Questão presente nas seguintes provas
No caminho de ida de sua casa (C) para a escola (E), Laura passa pela farmácia (F), pela padaria (P), e depois segue para a escola, como indica a figura 1.

Na volta da escola para casa, Laura passa pelo mercado (M), pela padaria (P), e depois segue para casa (C), como indica a figura 2.

Os caminhos de ida e de volta são formados por segmentos de retas, sendo que a farmácia, a padaria e o mercado estão em uma mesma avenida reta e plana. Considerando CF = FP = 4 km, PE = 2 km, !$ \sqrt{2}=1,4 !$ e !$ \sqrt{3}=1,7 !$, o caminho de Laura de casa à escola na ida superou o de volta em
Provas
Questão presente nas seguintes provas
Uma carga puntiforme Q1, positiva, encontra-se fixa no plano cartesiano indicado na figura. Ela gera um campo elétrico ao seu redor, representado pelos vetores !$ \vec{E}_F !$ e !$ \vec{E}_G !$, nos pontos F e G, respectivamente.

Uma segunda carga puntiforme Q2, também positiva, com Q1 = Q2, deve ser fixa no mesmo plano, de maneira que o campo elétrico resultante no ponto P, devido às presenças de Q1 e Q2, seja nulo. Para que se consiga esse efeito, a carga Q2 deve ser fixa no ponto
Provas
Questão presente nas seguintes provas
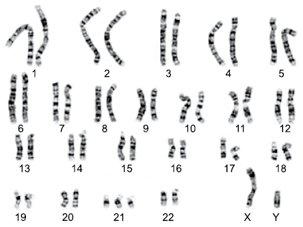
Analise a figura, que mostra o cariótipo de uma pessoa.

(www.downsyndromeaction.org)
Considerando apenas o cariótipo obtido, é correto afirmar que a análise corresponde a
Provas
Questão presente nas seguintes provas
O cladograma apresenta uma hipótese simplificada sobre as prováveis relações evolutivas entre anfíbios, répteis e mamíferos. Os números indicam possíveis características adaptativas que surgiram durante a evolução desses grupos de animais.

Os números 1, 2 e 3 correspondem, respectivamente, a
Provas
Questão presente nas seguintes provas
A Grã-Bretanha havia perdido 40% de sua frota mercante e os investimentos estrangeiros haviam diminuído drasticamente; enquanto a produção industrial britânica diminuiu durante a Primeira Guerra Mundial, a dos Estados Unidos aumentou em torno de 22% e a do Japão, que se revelou um temível rival da indústria têxtil do pós-guerra, teve um crescimento estimado de 76% entre 1913 e 1920.
(Asa Briggs. História social da Inglaterra, 1994. Adaptado.)
As modificações apontadas pelo excerto, ocorridas nas economias desenvolvidas, revelam
Provas
Questão presente nas seguintes provas
A figura representa o desenho da arcada dentária de um animal, feito no plano cartesiano ortogonal em escala linear.

Sabendo que as posições dos centros dos dentes destacados em cinza nessa arcada são modeladas nesse plano por meio da função quadrática !$ y = ax^2 + b !$, então !$ a + b !$ é igual a
Provas
Questão presente nas seguintes provas
Artur e Roberto pretendem iniciar um curso de inglês. Antes da escolha de uma escola de línguas, eles listaram 10 escolas diferentes, sendo que cada uma será visitada por apenas um deles e, em seguida, os dois pretendem trocar suas impressões pessoais sobre as respectivas escolas visitadas. Um deles ficará responsável por visitar 6 das escolas, e o outro pelas demais 4 escolas, podendo qualquer um visitar 6 ou 4 escolas. O total de maneiras diferentes que Artur e Roberto podem se organizar para cumprir o planejamento de visitas às 10 escolas é igual a
Provas
Questão presente nas seguintes provas
Bancos chineses negociam a concessão de um empréstimo de US$ 7 bilhões para a construção de uma refinaria que poderia fazer do Equador um importante produtor de gasolina, diesel e outros derivados do petróleo. Em todo o país, o dinheiro chinês está construindo estradas, pontes e hospitais. Os bancos estatais chineses já destinaram quase US$ 11 bilhões ao país, e o governo equatoriano quer mais.
(Folha de S.Paulo, 08.08.2015.)
A partir da notícia, é correto concluir que
Provas
Questão presente nas seguintes provas
Cadernos
Caderno Container