Foram encontradas 1.119 questões.
Em relação ao conceito de “constipação intratável”, definido nas diretrizes das Sociedades Norte-americana e Europeia de Gastroenterologia, Hepatologia e Nutrição Pediátricas (NASPGHAN/ESPGHAN) de 2014, assinale a alternativa correta.
Provas
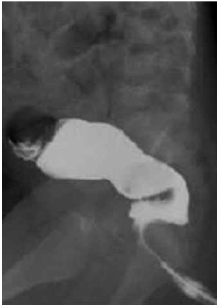
Recém-nascido a termo, sexo masculino, com 27 dias de vida, apresenta distensão abdominal desde o nascimento e vômitos há dois dias. A mãe do paciente relata que a primeira evacuação ocorreu aos três dias de vida e que, desde então, ele somente evacua após aplicação de supositório de glicerina, via retal, que vem sendo realizada a cada três dias, conforme orientação médica. Ao exame físico: irritado, pouco desidratado, abdome distendido, sem reação peritoneal. Toque retal com eliminação de fezes explosivas em grande quantidade. Após realização de lavagem intestinal com solução fisiológica, houve saída de grande quantidade de fezes e relevante melhora da distensão abdominal. O paciente realizou enema opaco, conforme imagem a seguir:

O próximo passo na condução desse caso deve ser
Provas
Em relação ao tratamento de recém-nascidos com enterocolite necrosante, assinale a alternativa correta.
Provas
Recém-nascido com 28 semanas de gestação, com peso ao nascimento de 1.200 g, apresentou boa evolução nos primeiros dias de vida. Eliminou mecônio no segundo dia de vida e recebeu dieta, via gástrica (fórmula láctea), do quinto ao oitavo dia de vida, quando subitamente apresentou distensão abdominal e piora clínica. Hoje, está com nove dias de vida e encontra-se hipoativo, taquicárdico, com pulsos finos, drenagem biliosa na sonda orogástrica, distensão abdominal com discreta dor à palpação e ruídos hidroaéreos abolidos. Há poucos instantes, teve uma evacuação com presença de sangue nas fezes. Exames laboratoriais sem acidose metabólica e sem plaquetopenia. Radiografias de abdome: dilatação de alças, pneumatose intestinal, sem sinais de ascite.
Frente à hipótese diagnóstica de enterocolite necrosante, qual é o estadiamento do paciente, de acordo com os critérios de Bell modificados (1986)?
Provas
Algumas manobras específicas podem ser realizadas durante o exame físico para auxiliar o diagnóstico de apendicite aguda na criança.
Assinale a alternativa que apresenta corretamente o nome do sinal clínico com sua respectiva descrição.
Provas
Menina de nove meses de idade apresenta dor abdominal intermitente há um dia. Hoje apresentou quatro episódios de vômitos: os dois primeiros com conteúdo alimentar e os dois mais recentes esverdeados. Não evacua há dois dias. Exame físico: regular estado geral, descorada +/4, desidratada +/4 e frequência cardíaca de 140 bpm. Abdome distendido, com ruídos hidroaéreos diminuídos, doloroso à palpação profunda, com massa móvel palpável em hipocôndrio direito e FID vazia, sem sinais de irritação peritoneal.
Considerando-se a principal hipótese diagnóstica, o exame subsidiário que deve ser solicitado e o tratamento de primeira linha que deve ser realizado após a confirmação diagnóstica são, respectivamente:
Provas
Em relação às duplicações intestinais, assinale a alternativa correta.
Provas
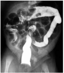
Recém-nascido, com três dias de vida, apresentou distensão abdominal com piora progressiva e dois episódios de vômitos amarelados. Eliminou pequena quantidade de mecônio algumas horas antes da avaliação clínica. AP: nascido a termo, filho de mãe diabética. Examefísico: bom estado geral, hidratado, abdome distendido globalmente, sem sinais de reatividade peritoneal.
Raio-X de abdome com distensão gasosa difusa em intestino delgado. Enema opaco com contraste hidrossolúvel, conforme imagem a seguir:

Após a realização do enema opaco, houve eliminação de grande quantidade de mecônio, com melhora da distensão abdominal. Não houve novos episódios de vômitos, e o paciente apresentou boa aceitação de dieta e evacuações diárias. Atualmente, com vinte dias de vida, o paciente mostra-se assintomático.
A principal hipótese diagnóstica para o quadro apresentado nos primeiros dias de vida é
Provas
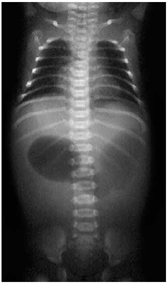
Recém-nascido, com um dia de vida, apresenta vômitos biliosos e distensão em epigástrio desde as primeiras horas de vida. O raio-X de abdome do paciente apresenta-se a seguir:

A principal hipótese diagnóstica e conduta cirúrgica são, respectivamente:
Provas
Em relação ao diagnóstico ultrassonográfico da estenose hipertrófica do piloro, assinale a alternativa correta.
Provas
Caderno Container